














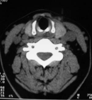
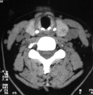
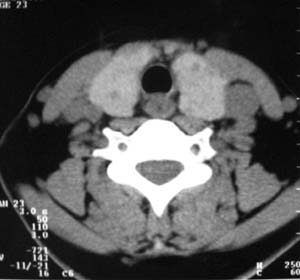
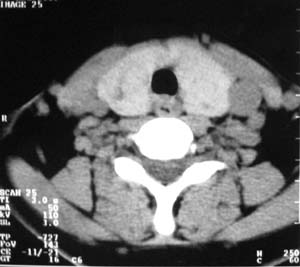
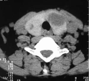
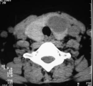
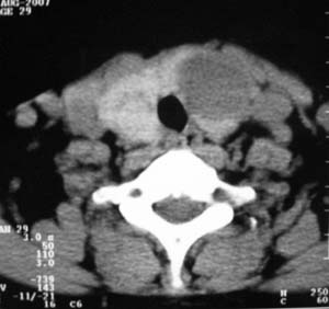
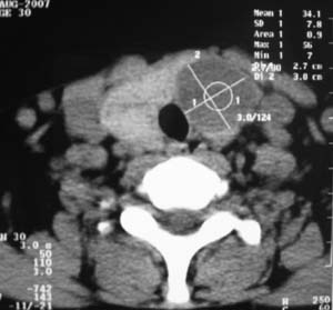
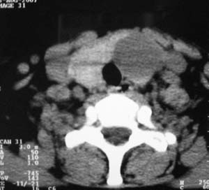
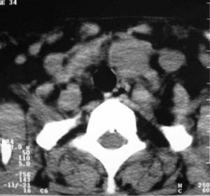
以下是引用zsl6918在2007-8-27 14:40:00的发言:[br]双侧甲状腺多发性低密度占位,边界清晰,密度欠均匀,尤以左侧明显,与周围组织分解清,考虑多发性腺瘤可能性大,不除外结节性甲状腺肿
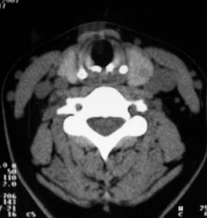
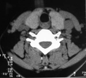
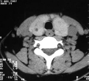
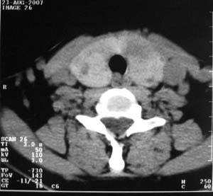
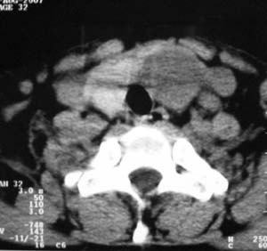
以下是引用liaizhi在2007-8-27 15:20:00的发言:[br]双侧甲状腺散在多个囊性第密度影,左侧最大一个病灶与正常甲状腺分界尚可,气管受压稍右移。考虑甲状腺瘤的可能性大。
以下是引用zsl6918在2007-8-27 14:40:00的发言:[br]双侧甲状腺多发性低密度占位,边界清晰,密度欠均匀,尤以左侧明显,与周围组织分解清,考虑多发性腺瘤可能性大
| 欢迎光临 医影在线 (http://bbs.radida.com/bbs/) | Powered by Discuz! X3.2 |