医影在线

标题: CT9522:F49Y,脑垂体肿瘤 [打印本页]

作者: 曼一拍    时间: 2007-8-28 04:54
标题: CT9522:F49Y,脑垂体肿瘤























[本贴已被 jiajie 于 2007-8-27 21:17:15 修改过]

作者: ZHANGZHONGSHOU    时间: 2007-8-28 04:59
支持脑垂体肿瘤,肢端肥大症,可以做手术呀
作者: 余辉    时间: 2007-8-28 04:59
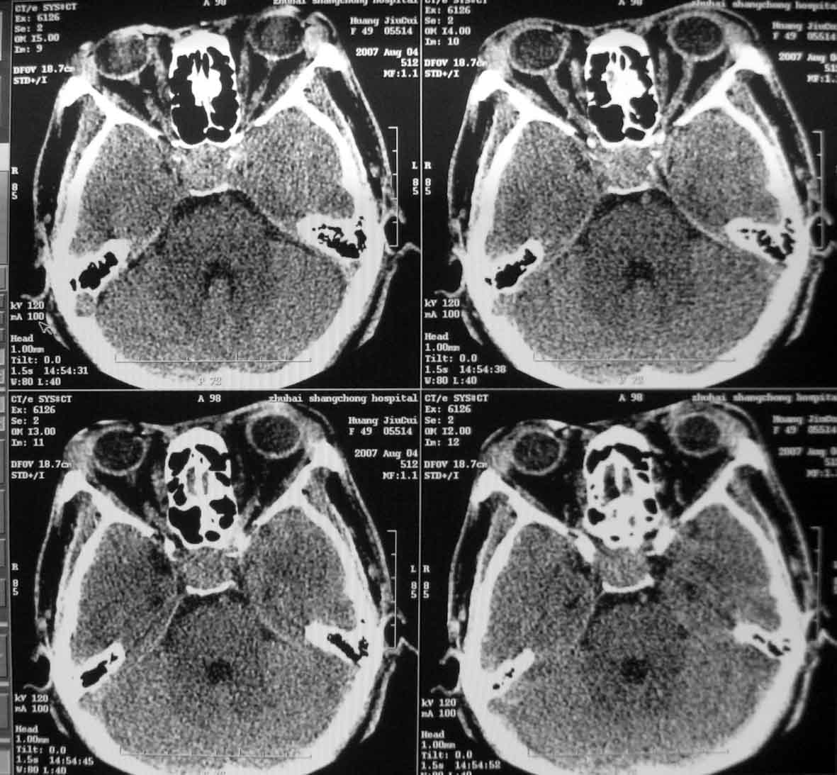
结合病史,典型的垂体大腺瘤,建议做个磁共振,可能有海绵窦受侵,尤其是右侧
作者: xinhai18    时间: 2007-8-28 05:29
垂体瘤
作者: mzh123    时间: 2007-8-28 05:30
垂体腺瘤
作者: kbzyycm    时间: 2007-8-28 05:40
支持脑垂体肿瘤,肢端肥大症
作者: jsgdoctor    时间: 2007-8-28 05:47
支持脑垂体肿瘤,肢端肥大症。这位同行工作仔细,值得我们学习。
作者: zjzjr    时间: 2007-8-28 06:03
典型垂体腺瘤
作者: 拾荒者    时间: 2007-8-28 06:18
垂体窝内均匀软组织密度肿块,前后床突及左侧鞍底受压,无明显骨质破坏,结合临床有指端肥大病史,支持考虑垂体腺瘤。
作者: wuyiyunwu    时间: 2007-8-28 07:03
标题: 回复:ct9522:f49y,脑垂体肿瘤
以下是引用zjzjr在2007-8-27 22:03:00的发言:[br]典型垂体腺瘤

作者: weijing    时间: 2007-8-28 07:05
垂体窝内均匀软组织密度肿块,前后床突及左侧鞍底受压,无明显骨质破坏,结合临床有指端肥大病史,支持考虑垂体腺瘤。
作者: 天南地北    时间: 2007-8-28 07:33
典型垂体腺瘤
作者: 袁张锋    时间: 2007-8-28 07:39
垂体腺瘤建议mri检查,海绵窦受侵犯.
作者: 尹定尧    时间: 2007-8-28 08:53
垂体窝内均匀软组织密度肿块,前后床突及左侧鞍底受压,无明显骨质破坏,结合临床有指端肥大病史,支持考虑垂体腺瘤。
作者: 随缘的人    时间: 2007-8-28 13:54
支持垂体腺瘤
作者: 清清楚楚    时间: 2007-8-28 14:54
垂体瘤
作者: 宝天曼    时间: 2007-8-28 15:16
支持脑垂体肿瘤,肢端肥大症
作者: gaoshengjiang    时间: 2007-8-28 17:46
支持脑垂体肿瘤,肢端肥大症
作者: dyqct    时间: 2007-8-28 17:56
支持 垂体瘤。
作者: LIAOQIANG    时间: 2007-8-28 23:17
垂体腺瘤。
作者: 南沙    时间: 2007-8-28 23:29
垂体瘤
作者: 52YINGXIANG    时间: 2007-8-28 23:36
垂体腺瘤
作者: jinguoji    时间: 2007-8-28 23:52
支持脑垂体肿瘤,肢端肥大症。
作者: 新页    时间: 2007-8-29 00:27
注意患者肖像!!
作者: jw-830    时间: 2007-8-29 01:55
考虑垂体瘤可能
作者: jiangjing    时间: 2007-8-29 01:56
结合病史,典型的垂体大腺瘤------垂体增大,蝶鞍扩大,鞍底下陷,鞍背变薄,前床突骨质又吸收
作者: zydct    时间: 2007-8-29 01:58
结合病史,典型的垂体大腺瘤------垂体增大,蝶鞍扩大,鞍底下陷,鞍背变薄,前床突骨质又吸收
作者: wqs571018    时间: 2007-8-29 03:49
支持:垂体腺瘤
作者: cxj00    时间: 2007-8-29 05:38
典型的垂体瘤
作者: xulianj    时间: 2007-8-29 05:41
支持脑垂体肿瘤,肢端肥大症。
作者: 当当涛涛    时间: 2007-8-29 07:04
垂体瘤,蝶鞍骨质已经破坏
作者: jssqcdm    时间: 2007-8-29 07:15
垂体腺瘤。
作者: tao772    时间: 2007-8-29 18:26
垂体瘤,典型.
作者: zyx168    时间: 2007-8-30 03:14
垂体腺瘤
作者: 青莲居士    时间: 2007-8-30 03:52
脑垂体肿瘤
作者: dr.yang    时间: 2011-3-21 21:58
垂体窝内均匀软组织密度肿块,前后床突及左侧鞍底受压,无明显骨质破坏,结合临床有指端肥大病史,支持考虑垂体大腺瘤。




欢迎光临 医影在线 (http://bbs.radida.com/bbs/) Powered by Discuz! X3.2