




























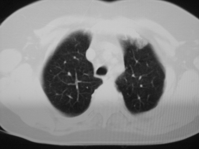
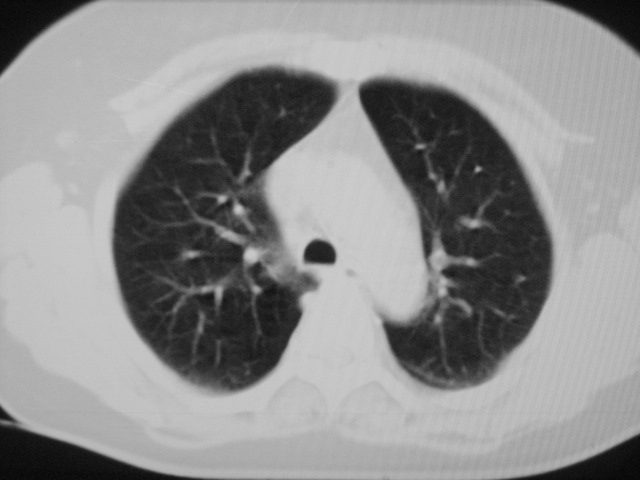
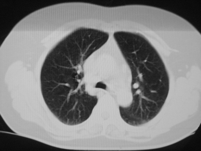
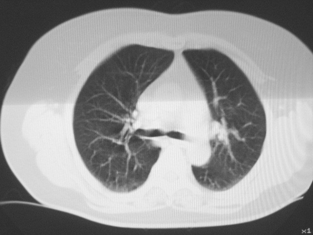
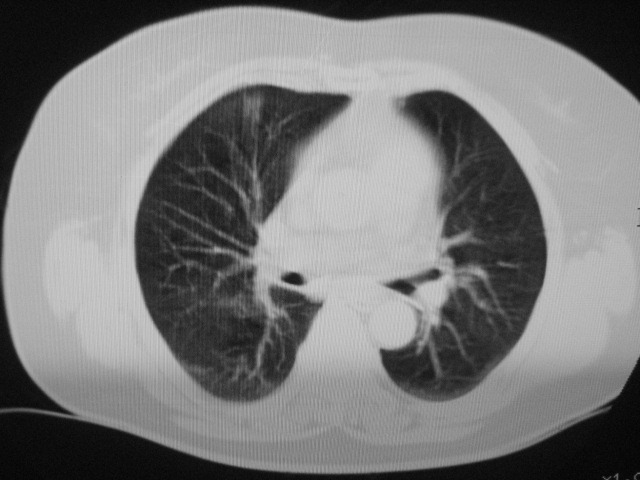
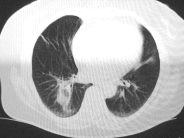
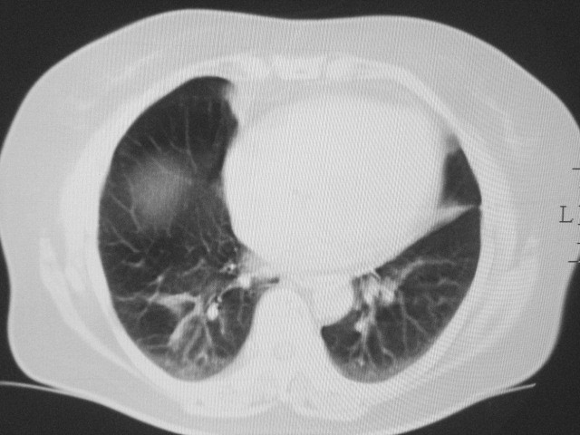
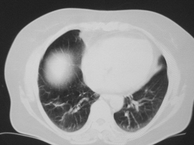
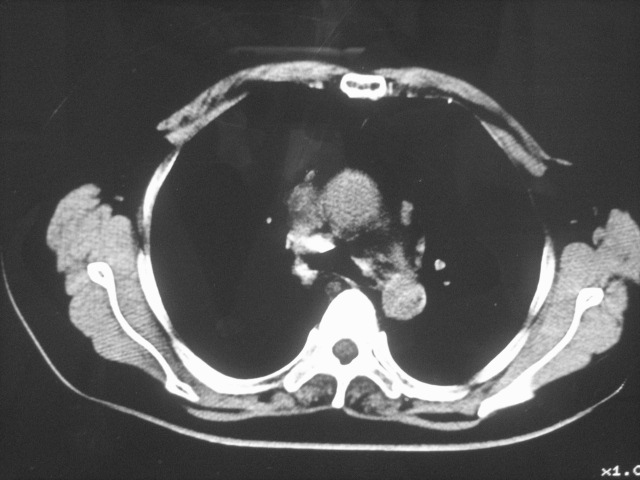
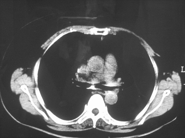
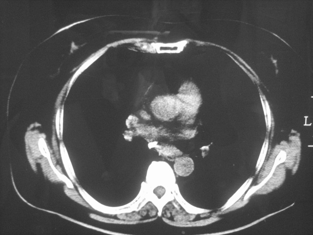
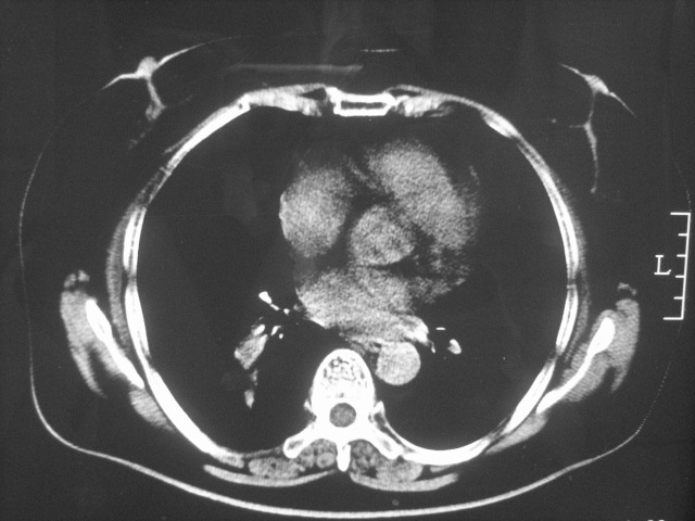
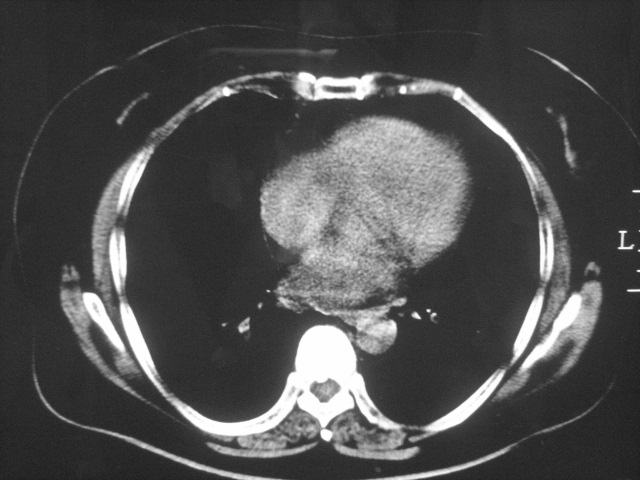
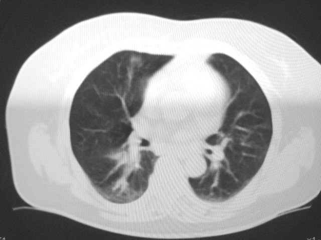
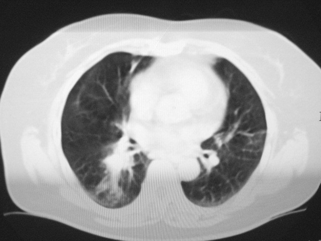
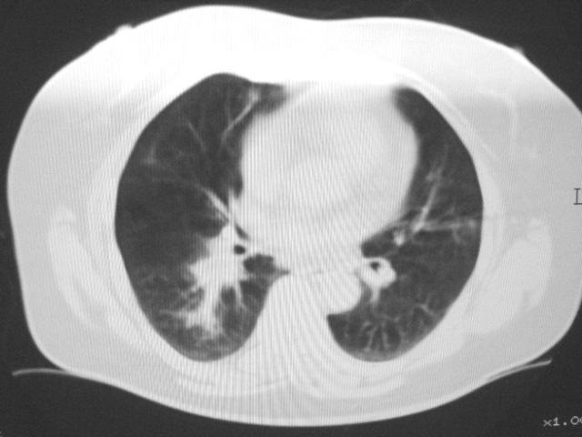
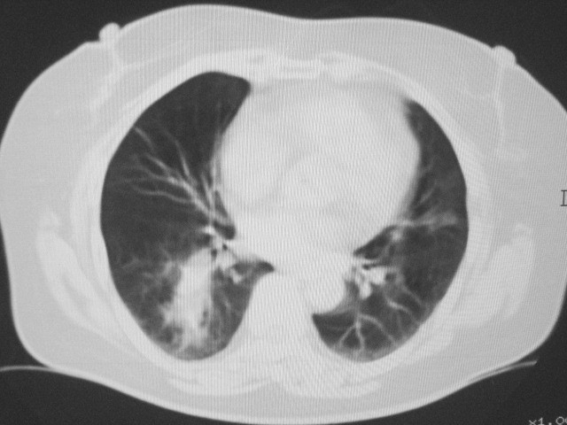
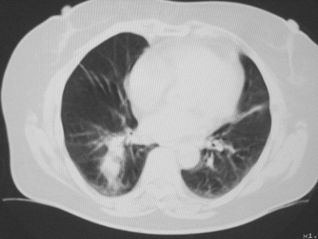
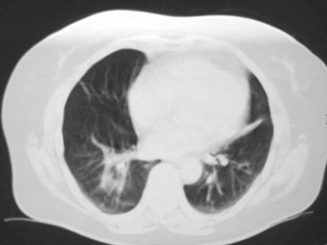
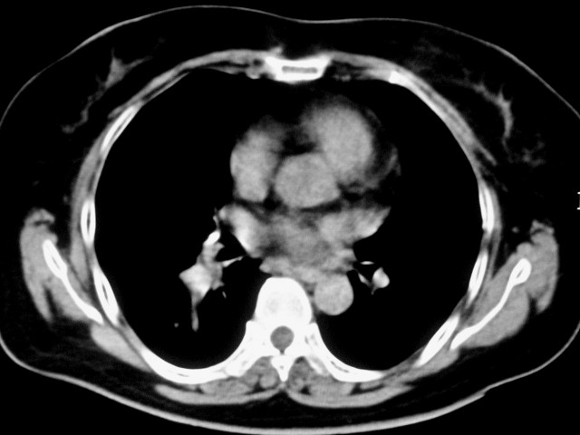
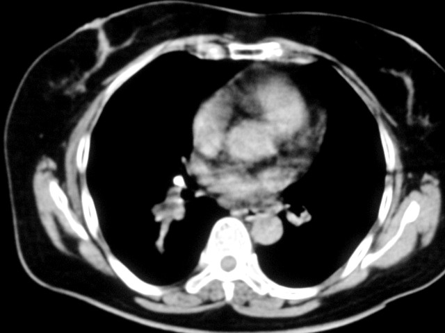
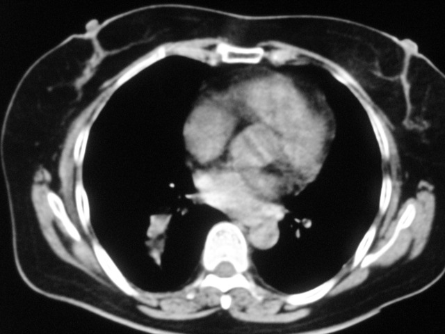
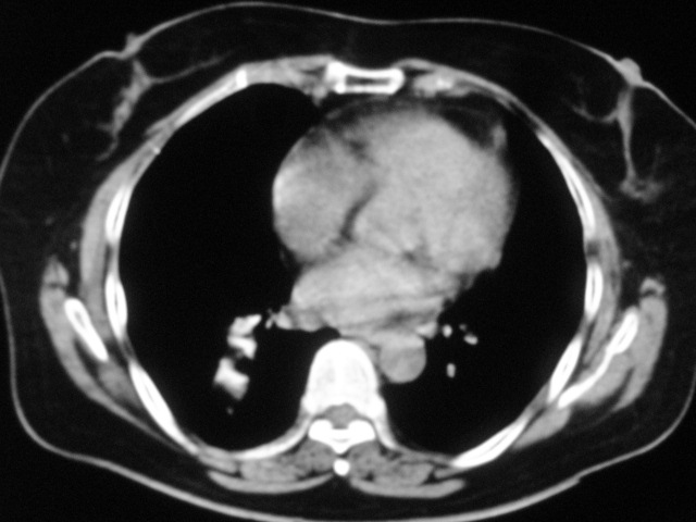
以下是引用清清楚楚在2007-8-28 7:13:00的发言:[br]右肺下叶可见斑片状高密度影,边缘模糊;右肺中叶内侧段及左肺舌段亦可见小斑片状模糊影。[br]考虑双肺感染,建议抗炎治疗后复查。
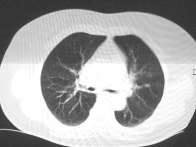
以下是引用天南地北在2007-8-27 23:49:00的发言:[br]右肺下叶可见斑片状高密度影,边缘模糊;右肺中叶内侧段及左肺舌段亦可见小斑片状模糊影。[br]考虑双肺感染,建议积极抗炎治疗后复查。
以下是引用天南地北在2007-8-27 23:49:00的发言:[br]右肺下叶可见斑片状高密度影,边缘模糊;右肺中叶内侧段及左肺舌段亦可见小斑片状模糊影。[br]考虑双肺感染,建议抗炎治疗后复查。
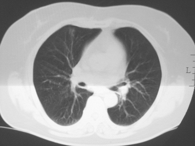
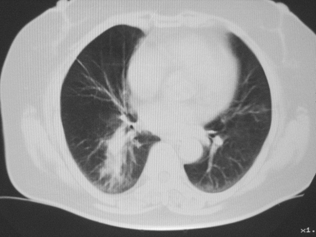
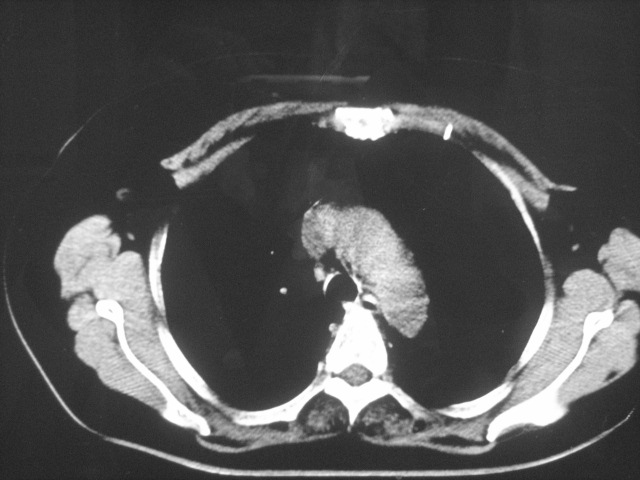
以下是引用难听在2007-8-28 13:17:00的发言:[br]右肺下叶背段支气管狭窄,是否可以考虑新生物伴阻塞性肺炎.请大家帮帮忙,这个病人是卫生局长的丈母娘.惹不起啊.
| 欢迎光临 医影在线 (http://bbs.radida.com/bbs/) | Powered by Discuz! X3.2 |