医影在线

标题: CT9530:男,50岁,上腹部隐痛,腹部CT。 [打印本页]

作者: li7hua    时间: 2007-8-29 01:00
标题: CT9530:男,50岁,上腹部隐痛,腹部CT。
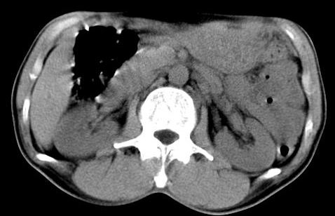
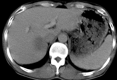
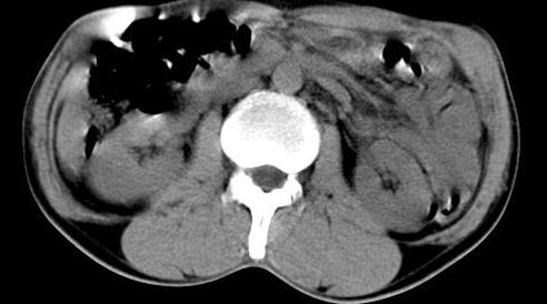
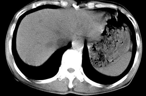
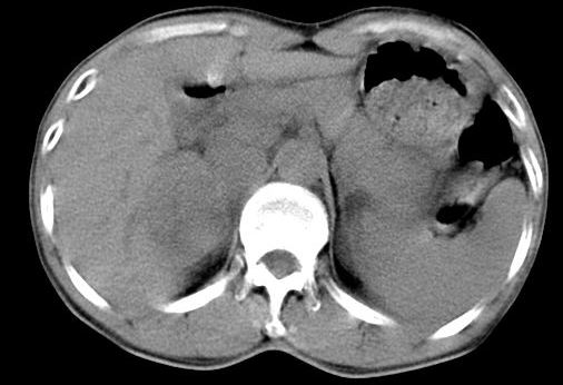
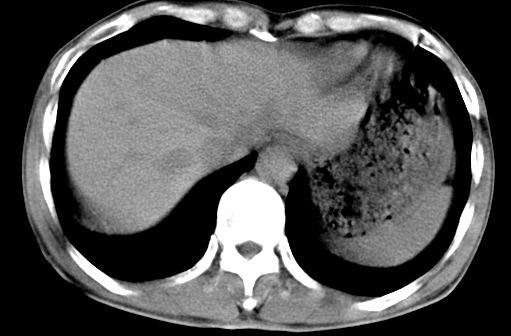
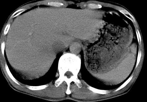
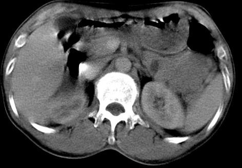
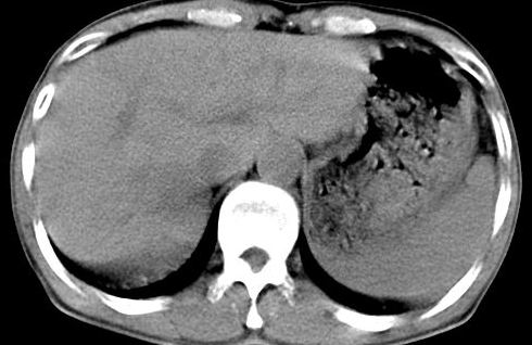
病人资料:男,50岁,上腹部隐痛,消瘦乏力,有乙肝病史二十余年,b超提示肝内内占位。
由于是基层医院,机器速度跟不上,增强效果差,请各位老师也看看!






























[本贴已被 jiajie 于 2007-8-28 18:32:36 修改过]

作者: 龙在野    时间: 2007-8-29 01:29
肾上肾上腺病变
作者: jinning    时间: 2007-8-29 01:40
支持肾上腺占位
作者: jw-830    时间: 2007-8-29 01:44
支持肾上腺占位
作者: psh    时间: 2007-8-29 01:46
肝内占位,癌可能。
作者: li7hua    时间: 2007-8-29 02:03
胰尾上有没有占位灶?
作者: 天南地北    时间: 2007-8-29 02:13
肝右叶后下内侧段占位:肝癌可能性大
作者: wansheng    时间: 2007-8-29 03:21
肝右叶后下内侧段占位:肝癌可能性大
作者: 天山影士    时间: 2007-8-29 03:28
肝内占位,考虑肝局灶性结节增生,不除外肝癌.胰尾好象有占位?
作者: wqs571018    时间: 2007-8-29 03:42
标题: 回复:ct9530:男,50岁,上腹部隐痛,腹部ct。
以下是引用天南地北在2007-8-28 18:13:00的发言:[br]肝右叶后下内侧段占位:肝癌可能性大

作者: szzyj0404    时间: 2007-8-29 03:50
增强效果不好,应该考虑肝内占位病变。
作者: zjzjr    时间: 2007-8-29 04:06
标题: 回复:ct9530:男,50岁,上腹部隐痛,腹部ct。

作者: 余辉    时间: 2007-8-29 04:22
增强动脉期应该没有捉到,可能病灶强化密度已下降了,支持考虑肝癌
作者: 拾荒者    时间: 2007-8-29 04:40
肝右叶后段低密度灶,增强受机器限制,特点不明显,无等密度充填及周围强化,结合病人乙肝史20年,首先考虑肝癌。
作者: why7912    时间: 2007-8-29 04:43
肝右后叶占位,增强时期没抓好,特点不明显,结合病史首先考虑原发性肝癌
作者: 同    时间: 2007-8-29 05:21
标题: 回复:ct9530:男,50岁,上腹部隐痛,腹部ct。
以下是引用天山影士在2007-8-28 19:28:00的发言:[br]肝内占位,考虑肝局灶性结节增生,不除外肝癌.胰尾好象有占位?

作者: xulianj    时间: 2007-8-29 05:24
肝右叶后下内侧段占位:肝癌可能性大。胰腺占位可能,病人没有空腹准备。
作者: 宝天曼    时间: 2007-8-29 06:07
肝右后叶占位,增强时期没抓好,特点不明显,结合病史首先考虑原发性肝癌
作者: liaizhi    时间: 2007-8-29 06:29
肝右叶后段占位,肝癌可能性大。下腔静脉无移位。肾上腺占位不支持?
作者: 光线    时间: 2007-8-29 06:42
肝癌可能性大。
作者: jssqcdm    时间: 2007-8-29 06:51
肝癌可能性大
作者: 朱亮    时间: 2007-8-29 17:54
依据病史,及肝脏占位,应考虑原发性肝癌
作者: 医影常客    时间: 2007-8-29 18:09
肝ca可能大
作者: dyqct    时间: 2007-8-29 18:48
考虑肝右叶后下内侧段占位:肝癌可能性大。增强效果很不理想。
作者: zyx168    时间: 2007-8-30 02:48
肝癌可能性大




欢迎光临 医影在线 (http://bbs.radida.com/bbs/) Powered by Discuz! X3.2