医影在线
标题: CT9531:胸部放大增强,邀您08-8-8-28 [打印本页]
作者: 王靖旗 时间: 2007-8-29 01:24
标题: CT9531:胸部放大增强,邀您08-8-8-28
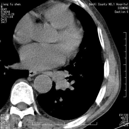
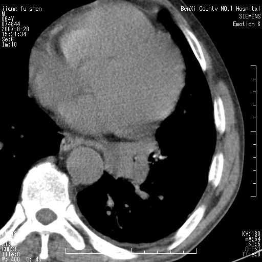
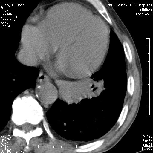
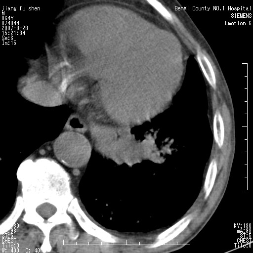
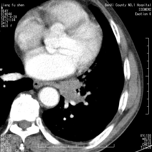
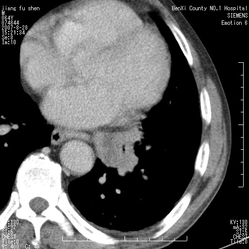
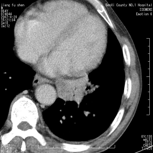
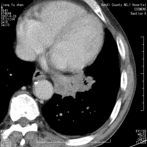
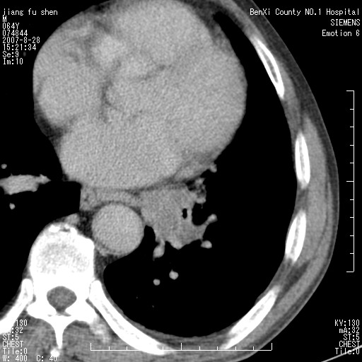
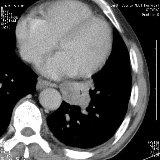
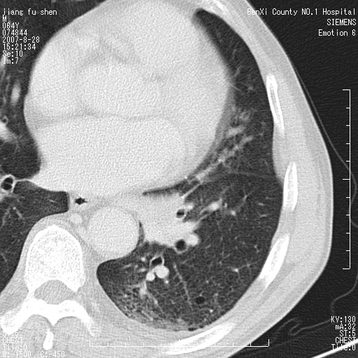
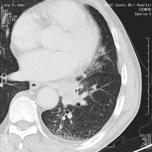
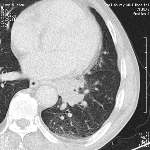
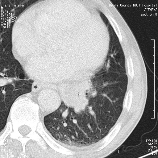
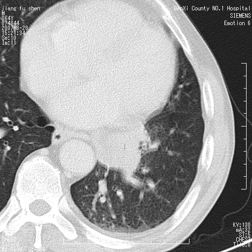
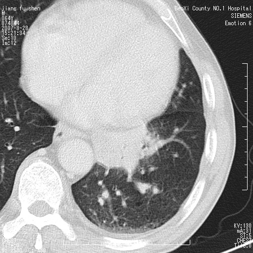
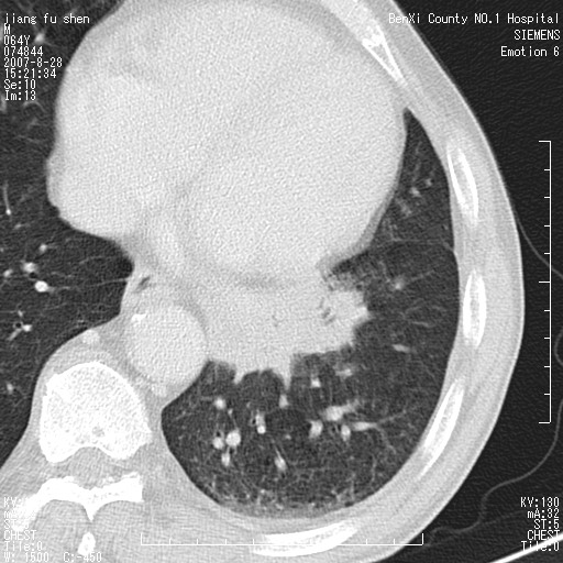
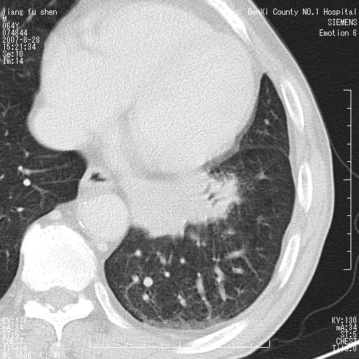
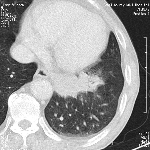
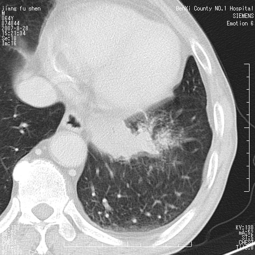
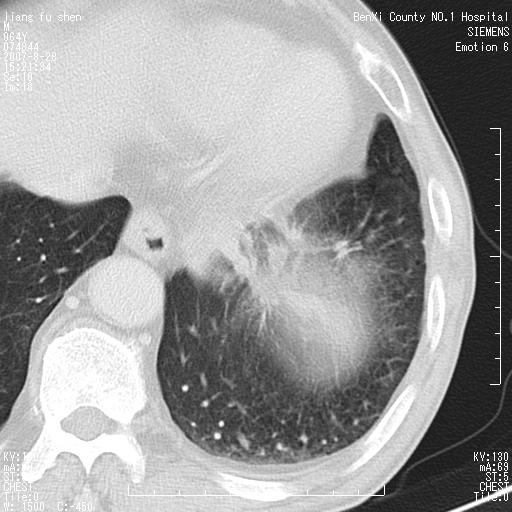
男、64、咳嗽、发烧一周、左肺呼吸音稍弱。既往肺结核,右手结核。
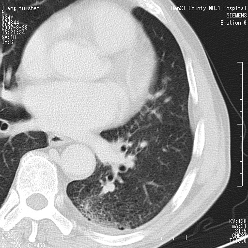
本次扫描患者未带原片,左肺下叶发现病灶。左肺上叶空洞,5组淋巴结肿大,1cm左右。
追问病史三月份ct扫描左肺上叶空洞,医大诊断肺结核。
平扫20-33hu
增强31-33hu
1分半44-52
2分55-67
请大家帮助诊断,有结果。。。。。。。



























[本贴已被 jiajie 于 2007-8-28 18:33:58 修改过]
作者: ZHANGZHONGSHOU 时间: 2007-8-29 01:34
标题: 回复
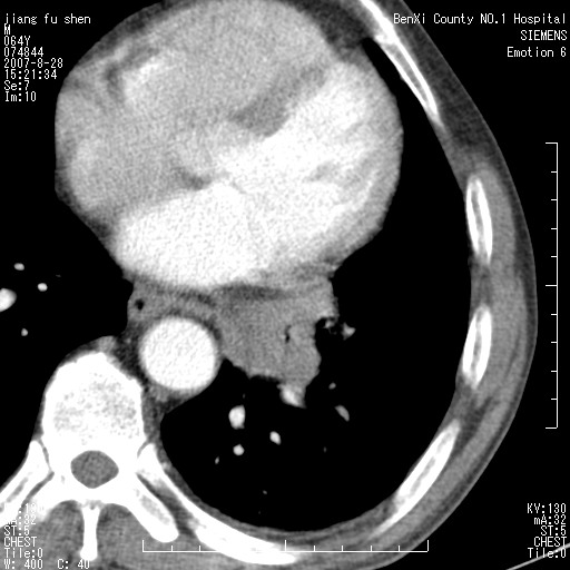
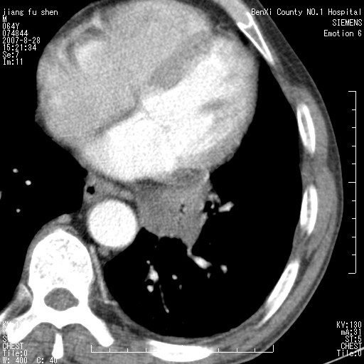
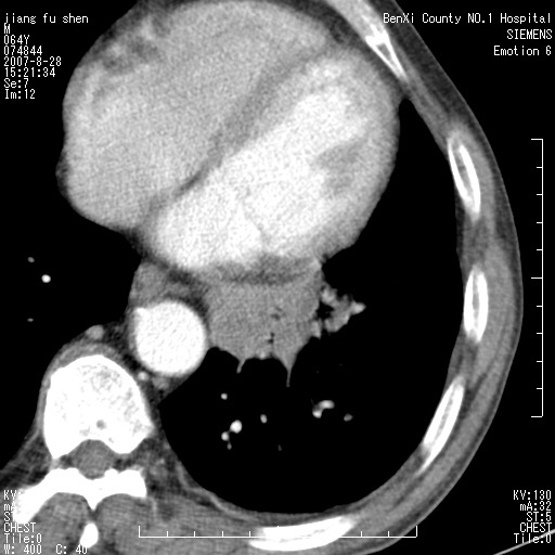
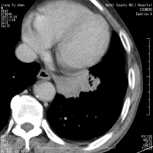
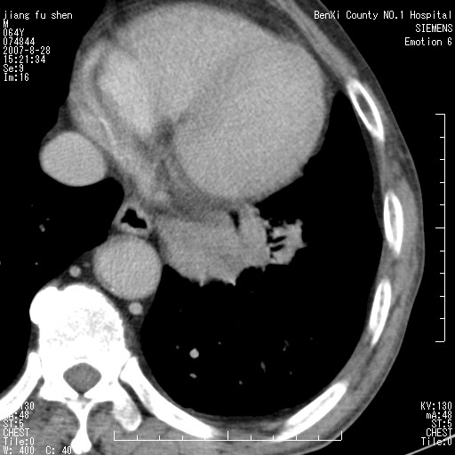
左肺下叶前内基底段支气管明显偏心性狭窄,周围分叶状肿块,伴有阻塞性肺炎,支持肺癌可能性大。
[本贴已被 zhangzhongshou 于 2007-8-28 17:49:19 修改过]
作者: jinning 时间: 2007-8-29 01:35
考虑肺癌,建议纤支镜
作者: 龙在野 时间: 2007-8-29 01:41
中心性肺
作者: jw-830 时间: 2007-8-29 01:41
考虑左肺中央型肺癌并阻塞性肺炎
作者: zydct 时间: 2007-8-29 02:15
考虑肺癌,建议纤支镜
作者: 天南地北 时间: 2007-8-29 02:32
标题: 回复:胸部放大增强,邀您08-8-8-28

作者: 随缘的人 时间: 2007-8-29 03:21
考虑左肺中央型肺癌并阻塞性肺炎,建议纤支镜检查
作者: xclzq_910 时间: 2007-8-29 03:32
考虑左肺中央型肺癌并阻塞性肺
建议纤支镜检查
作者: juwen73 时间: 2007-8-29 03:40
考虑左肺中央型肺癌并阻塞性肺
建议纤支镜检查
作者: szzyj0404 时间: 2007-8-29 03:44
考虑占位病变,建议多层螺旋ct扫描多方位重建。
作者: 余辉 时间: 2007-8-29 04:07
病灶边缘可见多量较长棘影及纤维条索状影,除外病灶边缘较光整,病灶有分叶表现,但多表现为较浅分叶,且向周围伸出之叶多呈尖角改变,且边缘较光整,病灶增强呈中度延时增强,且早期及中期仅轻度增强,结合患者病史,多考虑继发型肺结核,炎性增殖灶形成,不除外肺癌
作者: zjzjr 时间: 2007-8-29 04:09
考虑左肺中央型肺癌并阻塞性肺炎
作者: 拾荒者 时间: 2007-8-29 04:46
标题: 回复:ct9531:胸部放大增强,邀您08-8-8-28
以下是引用天南地北在2007-8-28 18:32:00的发言:[br]
[br]
支持!
作者: xulianj 时间: 2007-8-29 05:20
支持肺癌可能性大。
作者: zhihuixinglwg 时间: 2007-8-29 05:22
标题: 回复:ct9531:胸部放大增强,邀您08-8-8-28
以下是引用天南地北在2007-8-28 18:32:00的发言:[br]
[br]
支持中心型肺癌,不除外内膜结核。
作者: 同 时间: 2007-8-29 05:36
支持左侧中央型肺癌伴阻塞性肺炎
作者: 宝天曼 时间: 2007-8-29 06:08
考虑左肺中央型肺癌并阻塞性肺炎
作者: liaizhi 时间: 2007-8-29 06:22
左下叶支气管变窄,管腔光滑。软组织形状不规侧,分叶呈角形。结合病史考虑结核可能性大。肺癌不除。
作者: 光线 时间: 2007-8-29 06:37
不争咯,做过纤支镜~!
作者: jssqcdm 时间: 2007-8-29 06:55
考虑左肺中央型肺癌并阻塞性肺
作者: psh 时间: 2007-8-29 17:18
癌。
作者: zhangkai 时间: 2007-8-29 17:29
考虑肺癌可能。
作者: 朱亮 时间: 2007-8-29 17:49
左肺下叶中央型肺癌
作者: 医影常客 时间: 2007-8-29 18:13
ca
作者: dyqct 时间: 2007-8-29 18:51
支持 左下中央型肺癌可能性大。
作者: zyx168 时间: 2007-8-30 02:46
左下中央型肺癌可能性大
| 欢迎光临 医影在线 (http://bbs.radida.com/bbs/) |
Powered by Discuz! X3.2 |