










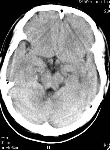
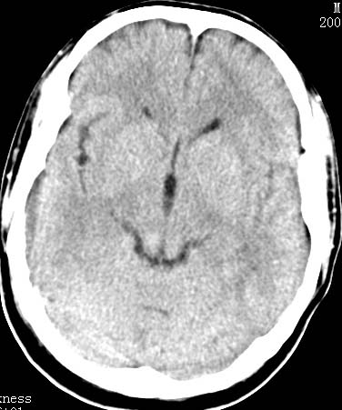
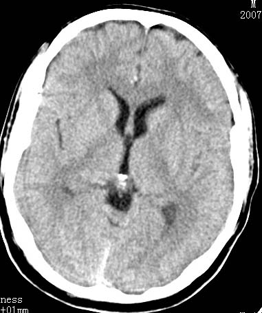
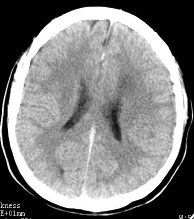
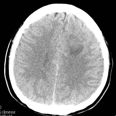
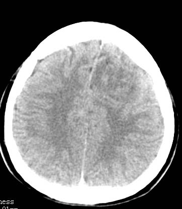
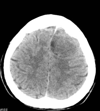
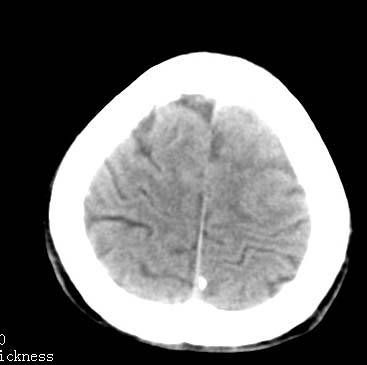
以下是引用卜一在2007-8-29 6:48:00的发言:[br]左侧额叶不均匀密度影,占位效应明显,界限不清。支持:占位性病变,建议增强!
以下是引用zhangkai在2007-8-29 9:31:00的发言:[br]建议增强
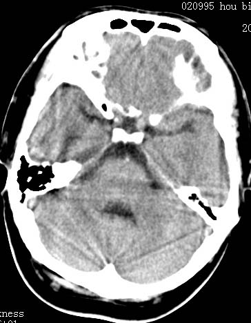
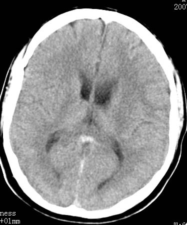
以下是引用clj20在2007-8-29 9:47:00的发言:[br]蛛网膜下腔出血,左侧额叶不均匀密度影,占位效应明显,界限不清。支持:占位性病变,建议增强!
以下是引用卜一在2007-8-29 6:48:00的发言:[br]左侧额叶不均匀密度影,占位效应明显,界限不清。支持:占位性病变,建议增强!
以下是引用xulianj在2007-8-29 20:15:00的发言:[br]蛛网膜下腔出血,左侧额叶不均匀密度影,占位效应明显,界限不清。支持:占位性病变,建议增强!
以下是引用jiangjing在2007-8-29 14:33:00的发言:[br]左侧额叶不均匀密度影[低密度为主,边缘见等密度环环绕]占位效应明显,界限不清。支持:占位性病变,建议增强! [br][br]
| 欢迎光临 医影在线 (http://bbs.radida.com/bbs/) | Powered by Discuz! X3.2 |