医影在线

标题: CT9542:鼻窦CT平扫 [打印本页]

作者: 同    时间: 2007-8-30 02:00
标题: CT9542:鼻窦CT平扫
女 18岁,外伤.








[本贴已被 翁志蓬 于 2007-8-29 23:13:40 修改过]

作者: luoyanmin    时间: 2007-8-30 02:08
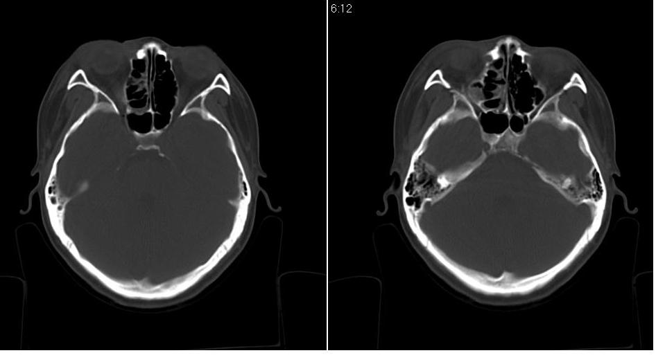
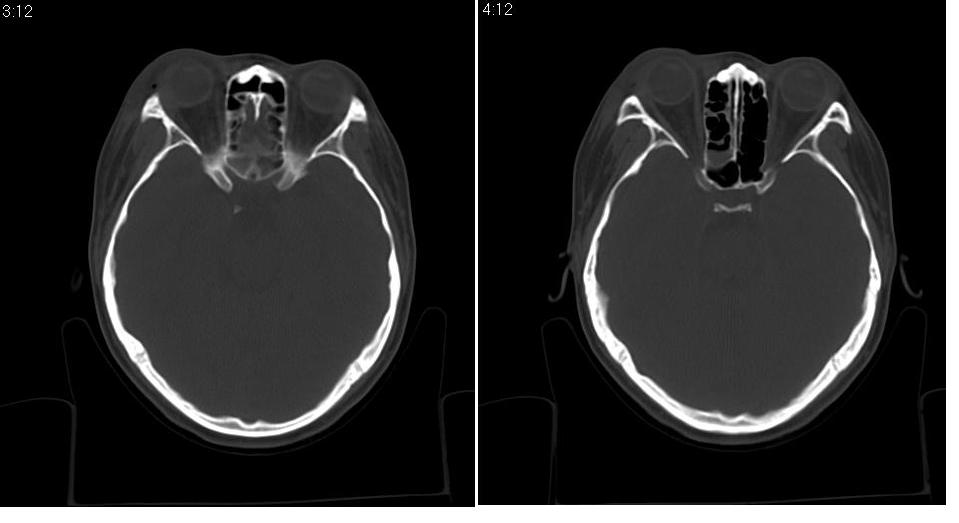
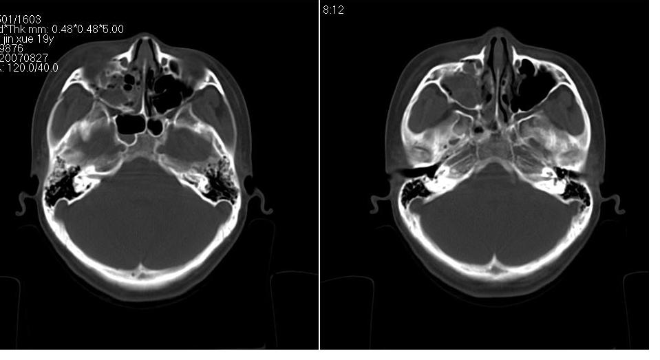
右侧上颌窦前壁骨折,窦腔积液.
作者: kbzyycm    时间: 2007-8-30 02:19
右侧上颌窦前壁骨折,窦腔积液
作者: liaizhi    时间: 2007-8-30 02:34
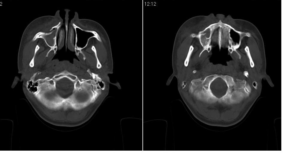
右侧上颌窦前后壁及右颧骨弓骨折,窦腔积液。
作者: jw-830    时间: 2007-8-30 02:56
右侧上颌窦前壁骨折,窦腔积液
作者: why7912    时间: 2007-8-30 03:16
右侧上颌窦前壁、外侧壁骨折,内侧壁可疑骨折,窦腔积液
作者: qiubeixin2006    时间: 2007-8-30 03:32
右侧上颌窦前壁骨折,窦腔积液<血>.
作者: wangjj555    时间: 2007-8-30 03:39
右侧上颌窦前后壁及右颧骨弓骨折,窦腔积液。
作者: 随缘的人    时间: 2007-8-30 03:41
右侧上颌窦前后壁及右颧骨弓骨折,窦腔积液。
作者: shiqingfa    时间: 2007-8-30 03:44
右侧上颌窦前后壁骨质均不连续,窦腔内见一致性高密度影,右睑部软组织肿胀
1,右上颌窦前后壁骨折,伴窦腔积血可能性大
2,右睑部软组织肿胀
作者: xuesheng007    时间: 2007-8-30 03:57
右侧上颌窦前壁骨折,窦腔积液
作者: 齐原    时间: 2007-8-30 03:57
右侧上颌窦前后壁骨质均不连续,窦腔内见一致性高密度影,右睑部软组织肿胀
1,右上颌窦前后壁骨折,伴窦腔积血可能性大
2,右睑部软组织肿胀
作者: 卜一    时间: 2007-8-30 04:03
右侧上颌窦前后壁及右颧骨弓骨折,窦腔积液。
支持!
作者: xulianj    时间: 2007-8-30 04:14
右侧上颌窦前壁、外侧壁、内侧壁骨折,伴窦腔积液;右侧颧弓骨折。
作者: 余辉    时间: 2007-8-30 04:17
右侧上颌窦前壁骨折,窦腔积液
作者: 青莲居士    时间: 2007-8-30 04:21
右侧上颌窦前壁骨折;窦腔积液<血>.
作者: xclzq_910    时间: 2007-8-30 04:27
右侧上颌窦前壁骨折,伴窦腔积液;右侧颧弓骨折
作者: jinning    时间: 2007-8-30 04:28
右侧上颌窦前壁骨折,窦腔积液.
作者: 克山    时间: 2007-8-30 04:57
右侧上颌窦粉碎性骨折并窦腔积血。
作者: liuzili    时间: 2007-8-30 04:58
标题: 回复:鼻窦ct平扫
右侧上颌窦前后壁及右颧骨弓骨折,窦腔积液。
作者: 当当涛涛    时间: 2007-8-30 05:11
右侧上颌窦前壁骨折,还是很明确的哈
作者: zfxzhf88    时间: 2007-8-30 05:16
1 、 右侧上颌窦前壁、外侧壁、内侧壁骨折并窦腔积液(血);右侧上颌窦前壁骨折累及同侧鼻泪管;
  2、右侧颧骨骨折。
作者: zjzjr    时间: 2007-8-30 06:10
右侧上颌窦前后壁及颧弓骨质均不连续,窦腔内见一致性高密度影,右面部及眼睑部软组织肿胀
1,右上颌窦前后壁骨折伴窦腔积血,右侧颧弓骨折.
2,右面部及眼睑部软组织肿胀
作者: 朱亮    时间: 2007-8-30 06:17
右侧上颌窦前后壁及右颧骨弓骨折,窦腔积液。
作者: lww2005    时间: 2007-8-30 06:27
1.右侧上颌窦前壁、外侧壁骨折,内侧壁骨折,窦腔积血 2.右睑部软组织肿胀
作者: 天南地北    时间: 2007-8-30 06:33
标题: 回复:鼻窦ct平扫

作者: 夏春秋    时间: 2007-8-30 07:42
右上颌窦前后壁骨折伴窦腔积气.积血,颧骨弓骨折
作者: 巴黎世家    时间: 2007-8-30 11:18
学习了
作者: 医海之鱼    时间: 2007-8-30 12:39
右上颌兜前壁、外壁骨折伴兜腔积血
作者: 宝天曼    时间: 2007-8-30 14:49
右侧上颌窦前壁骨折,窦腔积液
作者: wj2039    时间: 2007-8-30 15:27
右侧上颌窦前壁骨折,窦腔积液.
作者: jsgdoctor    时间: 2007-8-30 16:03
标题: 回复:ct9542:鼻窦ct平扫
以下是引用kbzyycm在2007-8-29 18:19:00的发言:[br]右侧上颌窦前壁骨折,窦腔积液

作者: 红樱枪    时间: 2007-8-30 17:37
右侧上颌窦前后壁及右颧骨弓骨折,窦腔积液。
作者: dyqct    时间: 2007-8-30 17:46
标题: 回复:ct9542:鼻窦ct平扫
以下是引用shiqingfa在2007-8-29 19:44:00的发言:[br]右侧上颌窦前后壁骨质均不连续,窦腔内见一致性高密度影,右睑部软组织肿胀[br]1,右上颌窦前后壁骨折,伴窦腔积血可能性大[br]2,右睑部软组织肿胀

支持 !!
作者: huobingsheng    时间: 2007-8-30 18:28
右侧上颌窦前后壁骨折,窦腔积液
作者: zxczxc    时间: 2007-8-30 19:43
右上颌骨骨折,右上颌窦积液。
作者: 拾荒者    时间: 2007-8-30 22:20
右侧上颌窦前后壁及右颧骨弓骨折,窦腔积液。
作者: houyuguang6    时间: 2007-8-31 04:25
右侧上颌窦后前壁骨折,双侧下鼻甲肥大
作者: 两片云    时间: 2007-8-31 05:56
右侧上颌窦粉碎性骨折并窦腔积血
作者: zyyzzy    时间: 2007-9-1 01:02
右侧上颌窦前壁骨折,窦腔积液.
作者: wansheng    时间: 2007-9-1 01:26
右侧上颌窦前壁骨折,窦腔积液
作者: liyuangyuang    时间: 2007-9-3 06:41
右侧上颌窦前后壁骨质均不连续,窦腔内见一致性高密度影,右睑部软组织肿胀
1,右上颌窦前后壁骨折,伴窦腔积液
2,右睑部软组织肿胀
作者: dr.yang    时间: 2011-10-30 12:00
右侧上颌窦前后壁及颧弓骨质均不连续,窦腔内见一致性高密度影,右面部及眼睑部软组织肿胀
1,右上颌窦前后壁骨折伴窦腔积血,右侧颧弓骨折.
2,右面部及眼睑部软组织肿胀




欢迎光临 医影在线 (http://bbs.radida.com/bbs/) Powered by Discuz! X3.2