医影在线
标题: CT9546:(8月30日)补传图像 [打印本页]
作者: wpf 时间: 2007-8-30 05:20
标题: CT9546:(8月30日)补传图像
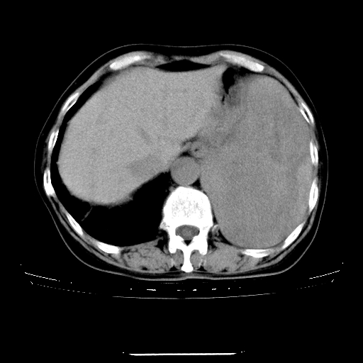
女,75岁,咳嗽、咳痰一周,无咯血,低热两天。












































[本贴已被 翁志蓬 于 2007-8-29 23:19:30 修改过]
补传ct9546图像:











[本贴已被 jiajie 于 2007-8-30 20:21:24 修改过]
作者: mzh123 时间: 2007-8-30 05:52
脾脏明显增大,其内可见低密度灶,边界不清。考虑占位性病变。
作者: 余辉 时间: 2007-8-30 06:16
定位好像有困难
首先考虑为脾脏明显肿大,内可见多量弥漫性低密度区,边界不清,考虑脾占位性病变,以转移瘤及淋巴瘤可能性大.
其次考虑肺内病灶如恶性肺间质肉瘤,建议增强及胸腹部扫描
作者: lww2005 时间: 2007-8-30 06:33
脾脏明显肿大,内可见多量弥漫性低密度区,边界不清,考虑脾占位性病变,以转移瘤及淋巴瘤可能性大.,建议增强及胸腹部扫描
作者: 悟空 时间: 2007-8-30 06:39
定位不明确,应该加扫上腹部并增强。
作者: zjzjr 时间: 2007-8-30 06:43
很难定位,病灶没扫完.
作者: 天南地北 时间: 2007-8-30 06:54
巨大脾脏向上突入胸腔,脾实质密度不均匀,内见低密度影。
结合发热病史考虑巨脾合并坏死。
建议增强扫描。
导致巨脾原因:血液系统病变(慢粒)?淋巴管瘤?恶性组织细胞增生症?建议临床进一步检查。
作者: 老爱克斯 时间: 2007-8-30 14:24
继续扫描,
作者: 宝天曼 时间: 2007-8-30 14:45
巨大脾脏向上突入胸腔,脾实质密度不均匀,内见低密度影。
结合发热病史考虑巨脾合并坏死。
建议增强扫描。
导致巨脾原因:血液系统病变(慢粒)?淋巴管瘤?恶性组织细胞增生症?建议临床进一步检查。
作者: zyx168 时间: 2007-8-30 15:16
脾脏明显肿大,内可见多量弥漫性低密度区,边界不清,考虑脾占位性病变,以转移瘤及淋巴瘤可能性大.
作者: 卜一 时间: 2007-8-30 16:18
脾脏明显肿大,内可见多量弥漫性低密度区,边界不清,考虑脾占位性病变,以转移瘤及淋巴瘤可能性大.
支持!
作者: sdhct 时间: 2007-8-30 16:56
巨脾,原因待查,建议上腹增强扫描.
作者: jinning 时间: 2007-8-30 17:10
脾脏明显肿大,内可见多量弥漫性低密度区,边界不清,考虑脾占位性病变,以转移瘤及淋巴瘤可能性大.
作者: gaoshengjiang 时间: 2007-8-30 17:49
影像诊断重在定位定性,首先应先定性,其次才能定性。本病例从最上层面看病变与胸壁关系密切,局部胸膜稍增厚,左肺受压;病变最低层面未扫完。可以有三种情况:1、肺内病变?2、胸壁病变?3、内脏异位(巨脾可能)?建议增扫上腹部并增强检查。
作者: dyqct 时间: 2007-8-30 18:10
标题: 回复:ct9546:胸部ct
以下是引用zjzjr在2007-8-29 22:43:00的发言:[br]很难定位,病灶没扫完.
支持!!建议增强扫描进一步检查。
作者: huobingsheng 时间: 2007-8-30 18:35
脾脏明显肿大,内可见多量弥漫性低密度区,边界不清,考虑脾占位性病变,以转移瘤及淋巴瘤可能性大.
作者: zxczxc 时间: 2007-8-30 19:50
定位难。
胸部病变,还是腹部病变。
脾脏增大,突入胸腔,膈疝?
作者: qiushi 时间: 2007-8-30 22:21
很难定位,病灶没扫完.支持!!建议增强扫描进一步检查。
作者: 拾荒者 时间: 2007-8-30 23:22
标题: 回复:ct9546:胸部ct
以下是引用天南地北在2007-8-29 22:54:00的发言:[br]巨大脾脏向上突入胸腔,脾实质密度不均匀,内见低密度影。[br]结合发热病史考虑巨脾合并坏死。[br]建议增强扫描。[br]导致巨脾原因:血液系统病变(慢粒)?淋巴管瘤?恶性组织细胞增生症?建议临床进一步检查。[br]
作者: yuhongjun 时间: 2007-8-30 23:46
定位不明确,应该加扫上腹部并增强。
作者: jw-830 时间: 2007-8-30 23:57
脾脏明显肿大,内可见多量弥漫性低密度区,边界不清,考虑脾占位性病变,以转移瘤及淋巴瘤可能性大.
作者: zhangkai 时间: 2007-8-31 00:02
建议腹部增强扫描后现看。
作者: 南沙 时间: 2007-8-31 00:05
定位不明确,应该加扫上腹部并增强。
作者: zhw974247 时间: 2007-8-31 00:10
影像诊断重在定位定性,首先应先定性,其次才能定性。本病例从最上层面看病变与胸壁关系密切,局部胸膜稍增厚,左肺受压;病变最低层面未扫完。可以有三种情况:1、肺内病变?2、胸壁病变?3、内脏异位(巨脾可能)?建议增扫上腹部并增强检查。
| 欢迎光临 医影在线 (http://bbs.radida.com/bbs/) |
Powered by Discuz! X3.2 |