医影在线

标题: PED0341:F2M出生已来可见右侧枕部见包块,请各位站友帮忙看 [打印本页]

作者: 应项雪    时间: 2007-8-31 00:02
标题: PED0341:F2M出生已来可见右侧枕部见包块,请各位站友帮忙看
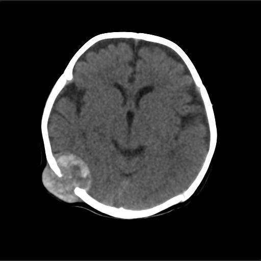
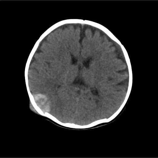
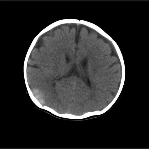
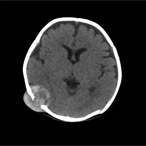
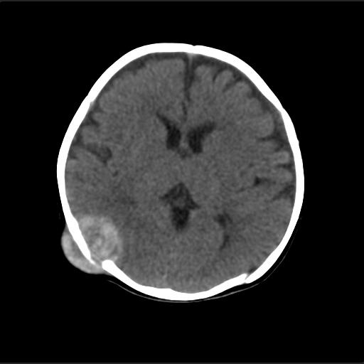
f2m出生已来可见右侧枕部见包块,质地软,无外伤史。包块处ct值16-67hu,大小约3.1x3.2cm左右。












[本贴已被 jiajie 于 2007-8-30 17:10:26 修改过]

作者: 悬壶济世    时间: 2007-8-31 00:09
图像?
作者: mzh123    时间: 2007-8-31 00:10
同志:没有图像啊,不过你的电脑很精通吧,真想和你学学啊,拜你为师好吗?
作者: fumaogui    时间: 2007-8-31 00:43
局部颅骨破坏,并以破坏为中心的高密度肿块影,内示软骨影,考虑颅骨软骨瘤.
作者: ydx_74    时间: 2007-8-31 00:44
脑膜瘤。
作者: lxl1917    时间: 2007-8-31 01:01
产伤?---骨膜下血肿机化?骨折?---外部性脑积水
作者: 天南地北    时间: 2007-8-31 02:32
仔细看颅骨是分离
骨质还算完整。
猜一个
考虑血肿的机化。
期待结果
作者: 子期    时间: 2007-8-31 04:11
1、神经纤维瘤?2、脑膜瘤??
作者: qgysx    时间: 2007-8-31 05:59
首先应确定一点:占位!
作者: 同    时间: 2007-8-31 06:10
考虑血肿机化,外部性脑积水.
作者: 黑白光影    时间: 2007-8-31 20:46
标题: 回复:ped0341:f2m出生已来可见右侧枕部见包块,请各位站友
以下是引用lxl1917在2007-8-30 17:01:00的发言:[br]产伤?---骨膜下血肿机化?骨折?---外部性脑积水

作者: liaizhi    时间: 2007-8-31 23:59
1外部性脑积水2脑膜瘤?3血管瘤?穿刺病检。
作者: jkydlj    时间: 2007-9-1 20:09
血肿机化/脑膜瘤
作者: lgl2007    时间: 2007-9-1 20:58
病灶位于颅缝区,向内外生长,边缘光整。考虑脑膜瘤
作者: jiangjing    时间: 2007-9-1 23:07
考虑  脑膜瘤,神经纤维瘤。嗜酸性肉芽肿
作者: wy232326    时间: 2007-9-2 00:58
1外部性脑积水2脑膜瘤?3血管瘤?穿刺病检
作者: liuzili    时间: 2007-9-2 07:26
有无产伤?血肿机化.(颅盖骨是膜化骨,不存在软骨瘤)
作者: ssmmxx    时间: 2007-9-2 08:27
1外部性脑积水2脑膜瘤?3血管瘤?穿刺病检
作者: 王仕学    时间: 2007-9-2 09:35
考虑骨肿瘤
作者: zjzjr    时间: 2007-9-2 23:25
脑膜瘤可能性大.
作者: dyhhxq    时间: 2007-9-3 00:16
血肿机化可能性 比较大,伴双侧额颞顶部硬膜下积液。估计产伤引起
作者: 清清楚楚    时间: 2007-9-4 03:38
支持考虑骨肿瘤
作者: betty300    时间: 2007-9-4 04:22
尤文氏肉瘤
作者: xiaoli    时间: 2007-9-4 18:05
1血肿机化2脑膜瘤
作者: zyx168    时间: 2007-9-7 17:24
脑膜瘤。
作者: jinguoji    时间: 2007-12-11 00:26
血肿机化可能性比较大。
作者: yuhongjun    时间: 2010-5-3 17:55
考虑血肿机化,外部性脑积水.




欢迎光临 医影在线 (http://bbs.radida.com/bbs/) Powered by Discuz! X3.2