医影在线

标题: CT9556:男,54岁,包裹性积液,请各位老师会诊其原因! [打印本页]

作者: 愚人佳好    时间: 2007-8-31 03:46
标题: CT9556:男,54岁,包裹性积液,请各位老师会诊其原因!
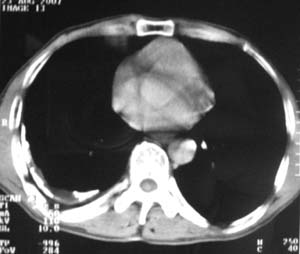
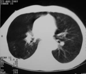
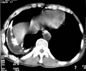
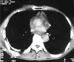
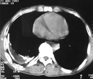
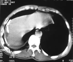
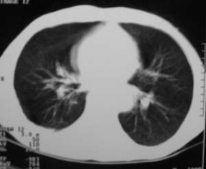
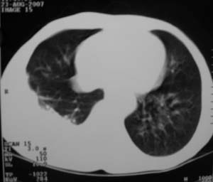
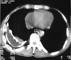
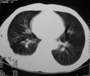
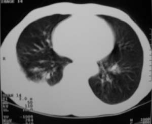
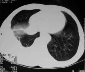
男,54岁,无任何不是感.体检发现右肺部阴影.现行ct进一步确诊.
















[本贴已被 jiajie 于 2007-8-30 20:24:11 修改过]

作者: looty    时间: 2007-8-31 04:01
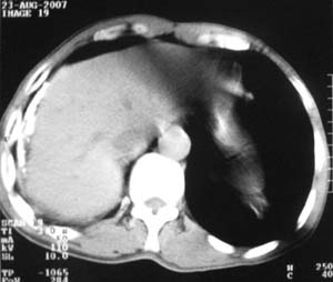
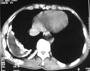
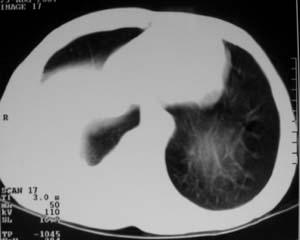
包裹性积液伴胸膜钙化
作者: rjg199343    时间: 2007-8-31 04:28
右侧胸廓塌陷,肋间隙变窄,肋骨增生变粗,脏壁层胸膜肥厚、钙化。符合陈旧性结核性脓胸改变
作者: qiushi    时间: 2007-8-31 04:28
右侧包裹性积液伴胸膜钙化.
作者: jinning    时间: 2007-8-31 04:48
包裹性积液伴胸膜钙化
作者: wangzhengyuan    时间: 2007-8-31 05:03
包裹性积液伴胸膜钙化
作者: sdhct    时间: 2007-8-31 05:21
结核性胸膜炎可能性大!脓胸!
作者: gaoshengjiang    时间: 2007-8-31 05:34
包裹性积液伴胸膜钙化,结核性?
作者: 宝天曼    时间: 2007-8-31 05:45
包裹性积液伴胸膜钙化,考虑结核性
作者: 拾荒者    时间: 2007-8-31 05:53
右侧包裹性积液并胸膜钙化,性质还是结合穿刺细胞学检查的好,结核性、化脓性均会有钙化。
作者: 同    时间: 2007-8-31 05:54
包裹性积液伴胸膜钙化.
作者: zjzjr    时间: 2007-8-31 06:00
右侧胸膜肥厚、粘连、钙化。
作者: guoxiuli    时间: 2007-8-31 06:06
右测包裹性积液并胸膜钙化,结核性脓胸还是胸膜肿瘤转移,还需要穿刺抽液
作者: jsgdoctor    时间: 2007-8-31 06:07
标题: 回复:ct9556:男,54岁,包裹性积液,请各位老师会诊其原因!
以下是引用looty在2007-8-30 20:01:00的发言:[br]包裹性积液伴胸膜钙化

作者: 余辉    时间: 2007-8-31 06:08
包裹性积液伴胸膜钙化,原因多种,国民一般为结核性居多
作者: 随缘的人    时间: 2007-8-31 06:14
包裹性积液伴胸膜钙化
作者: liangshusheng    时间: 2007-8-31 06:22
包裹性积液伴胸膜钙化,多考虑结核性
作者: 愚人佳好    时间: 2007-8-31 06:30
标题: 回复:ct9556:男,54岁,包裹性积液,请各位老师会诊其原因!
病人否认有任何明确的病史.(结核,脓胸等)
作者: 天南地北    时间: 2007-8-31 07:23
包裹性积液伴胸膜钙化
作者: yuhongjun    时间: 2007-8-31 14:55
包裹性积液伴胸膜钙化,多考虑结核性
作者: 清清楚楚    时间: 2007-8-31 16:23
包裹性积液伴胸膜钙化
作者: 红樱枪    时间: 2007-8-31 17:33
包裹性积液伴胸膜钙化  (根据病史考虑结核性)
作者: 52YINGXIANG    时间: 2007-8-31 22:41
包裹性积液伴胸膜钙化
作者: 当当涛涛    时间: 2007-8-31 22:48
包裹性积液并胸膜增厚、钙化
作者: xiaoyi    时间: 2007-9-1 00:24
标题: 回复:ct9556:男,54岁,包裹性积液,请各位老师会诊其原因!
以下是引用zjzjr在2007-8-30 22:00:00的发言:[br]右侧胸膜肥厚、粘连、钙化。

周围都钙化了应该不是积液了吧,这样都没有不适感,病史不详
作者: wansheng    时间: 2007-9-1 01:22
包裹性积液伴胸膜钙化,考虑结核性




欢迎光临 医影在线 (http://bbs.radida.com/bbs/) Powered by Discuz! X3.2