医影在线

标题: CT9558:男性,70岁。煤矿工人20年。胸部弥漫性病变 [打印本页]

作者: clcts    时间: 2007-8-31 04:34
标题: CT9558:男性,70岁。煤矿工人20年。胸部弥漫性病变
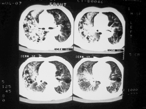
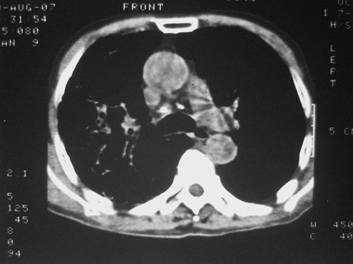
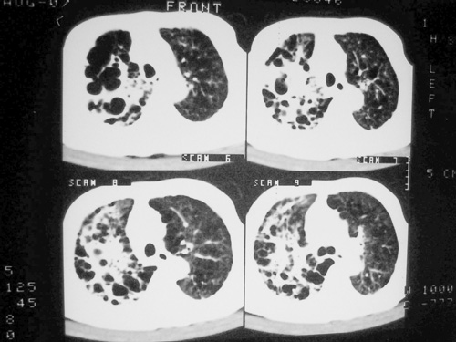
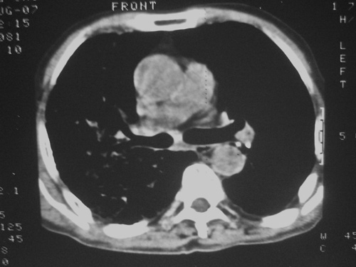
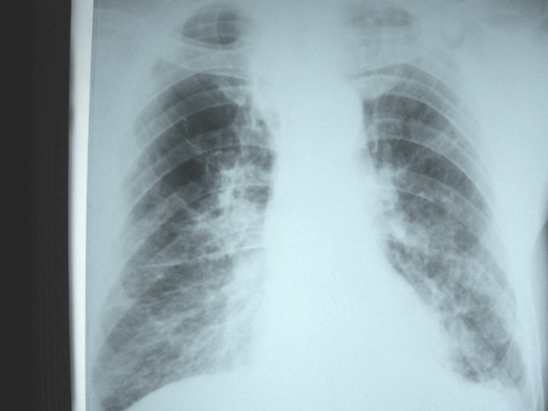
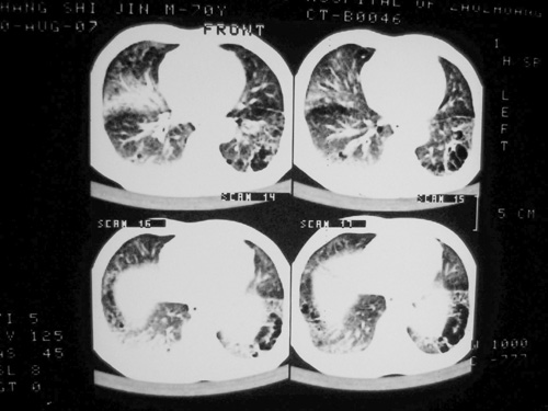
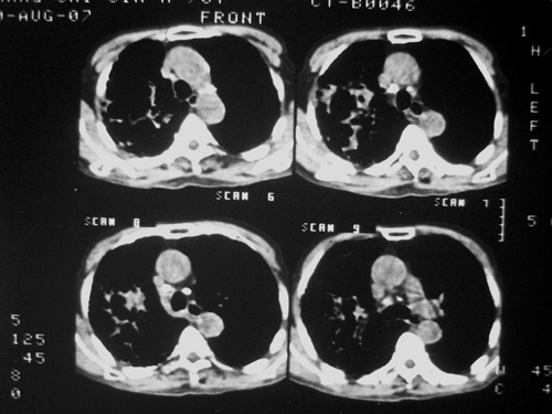
老年男性,70岁。煤矿工人20年。一周前咳嗽、发烧,拍x片考虑矽肺可能。始终咳嗽行ct检查,发现弥漫性病变,似感染但密度很高,细支气管肺泡癌无法排除,请老师给予指点。
















[本贴已被 jiajie 于 2007-8-30 22:02:26 修改过]

作者: jinning    时间: 2007-8-31 04:46
考虑1:矽肺.2:肺泡癌
作者: luo706    时间: 2007-8-31 04:53
矽肺
作者: qiushi    时间: 2007-8-31 04:55
标题: 回复:胸部弥漫性病变
以下是引用luo706在2007-8-30 20:53:00的发言:[br]矽肺

作者: wangzhengyuan    时间: 2007-8-31 05:01
矽肺
作者: 黑金    时间: 2007-8-31 05:24
肺泡癌
作者: clcts    时间: 2007-8-31 05:29
标题: 回复:胸部弥漫性病变
一般矽肺多为双肺融合状,团块状高密度结节影.并散在多处小结节影.可这个病人只表现在单肺,并没有融合结节影.一周前的x片没显示大片高密度影,可定位扫描时(图象忽略传了),右肺已经清晰显示大片高密度影.作比较感觉是新病灶.可实际表现又不象,所以才拿来让各位老师看看.
作者: gaoshengjiang    时间: 2007-8-31 05:41
矽肺,两肺间实质炎症,蜂窝肺。
作者: 宝天曼    时间: 2007-8-31 05:49
考虑矽肺
作者: 悟空    时间: 2007-8-31 05:55
矽肺  两肺间质性炎症伴纤维化(蜂窝肺)
作者: 同    时间: 2007-8-31 06:01
结合病史,支持矽肺.
作者: 随缘的人    时间: 2007-8-31 06:04
结合病史,考虑矽肺.。肺间质纤维化
作者: liangshusheng    时间: 2007-8-31 06:12
矽肺,tb,蜂窝状影象肺改变。
作者: 余辉    时间: 2007-8-31 06:16
患者病程较短,有明显咳嗽发热症状,结合病史考虑矽肺合并以间质为主的肺感染,肺泡癌先放下,抗炎再说
作者: jsgdoctor    时间: 2007-8-31 06:18
标题: 回复:ct9558:男性,70岁。煤矿工人20年。胸部弥漫性病变
以下是引用随缘的人在2007-8-30 22:04:00的发言:[br]结合病史,考虑矽肺.。肺间质纤维化

作者: zjzjr    时间: 2007-8-31 06:26
矽肺合并右肺结核可能性大.右侧少量胸腔积液.
作者: 天南地北    时间: 2007-8-31 07:21
考虑矽肺
作者: 老爱克斯    时间: 2007-8-31 13:57
ct片与平片只相隔1周时间变化太大,结合临床应该首先考虑尘肺合并感染,肺泡癌变化不会这么快,
作者: yuhongjun    时间: 2007-8-31 14:40
结合病史,考虑矽肺.。肺间质纤维化.
作者: 清清楚楚    时间: 2007-8-31 16:29
结合病史,考虑矽肺.。肺间质纤维化。支持
作者: xulianj    时间: 2007-9-1 04:36
结合病史,考虑矽肺.。肺间质纤维化.
作者: 拾荒者    时间: 2007-9-1 07:28
标题: 回复:ct9558:男性,70岁。煤矿工人20年。胸部弥漫性病变
以下是引用余辉在2007-8-30 22:16:00的发言:[br]患者病程较短,有明显咳嗽发热症状,结合病史考虑矽肺合并以间质为主的肺感染,肺泡癌先放下,抗炎再说

支持抗炎治疗后复查。




欢迎光临 医影在线 (http://bbs.radida.com/bbs/) Powered by Discuz! X3.2