














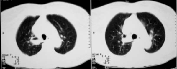
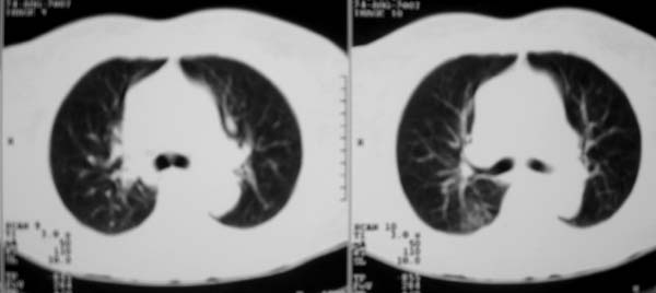
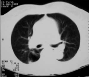
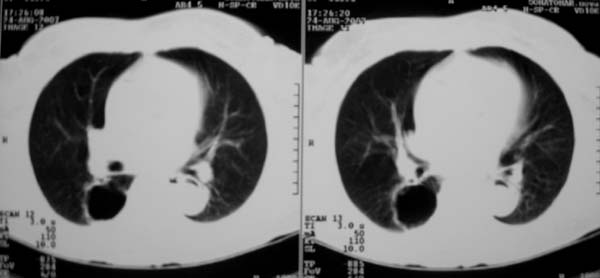
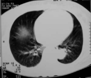
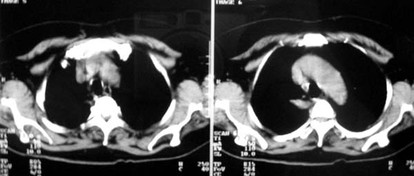
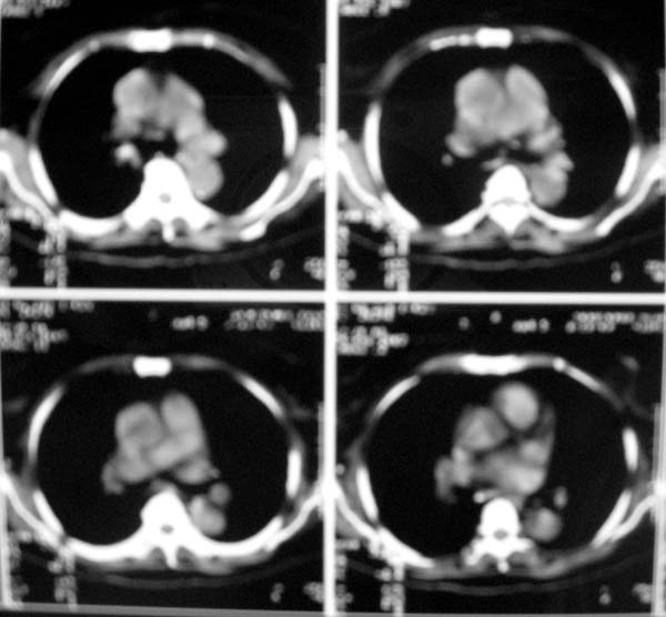
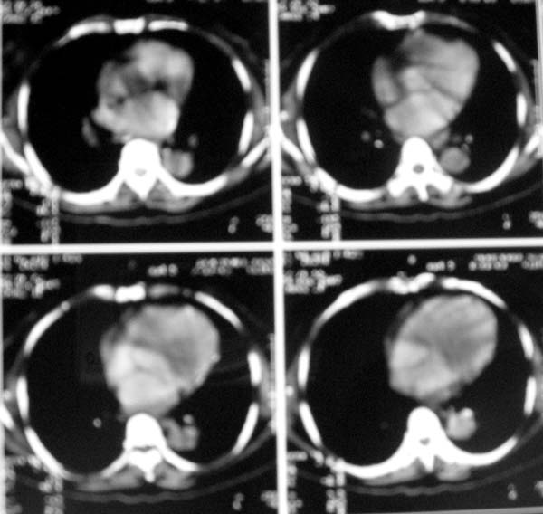
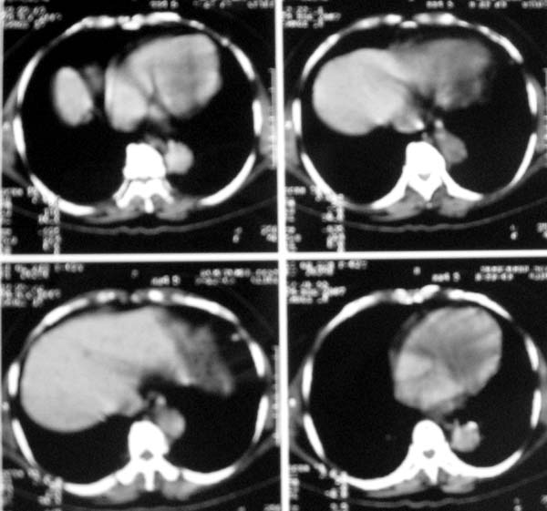
以下是引用zjzjr在2007-8-30 22:22:00的发言:[br]右上肺肺囊肿合并感染.右下肺肺大泡.左肺舌段感染.
以下是引用zjzjr在2007-8-30 22:22:00的发言:[br]右上肺肺囊肿合并感染.右下肺肺大泡.左肺舌段感染.
以下是引用天南地北在2007-8-30 23:19:00的发言:[br][quote]以下是引用zjzjr在2007-8-30 22:22:00的发言:[br]右上肺肺囊肿合并感染.右下肺肺大泡.左肺舌段感染.
| 欢迎光临 医影在线 (http://bbs.radida.com/bbs/) | Powered by Discuz! X3.2 |