医影在线

标题: CT9563:女67岁,咳嗽咯白痰伴纳差一月。右肺呼吸音低可闻及 [打印本页]

作者: 老段226    时间: 2007-8-31 08:06
标题: CT9563:女67岁,咳嗽咯白痰伴纳差一月。右肺呼吸音低可闻及
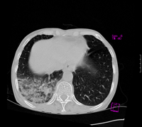
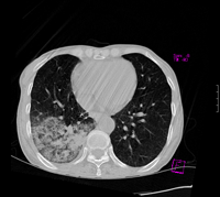
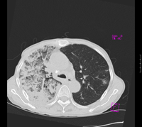
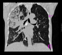
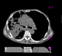
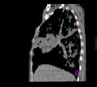
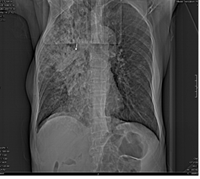
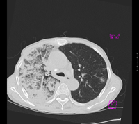
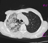
女67岁,咳嗽咯白痰伴纳差一月。右肺呼吸音低可闻及湿罗音。白细胞及淋巴细胞不高,无发烧















[本贴已被 jiajie 于 2007-8-31 0:15:00 修改过]

作者: yuhongjun    时间: 2007-8-31 14:52
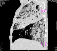
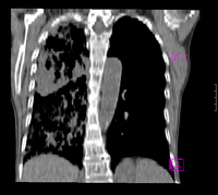
慢支,肺气肿,右肺结核,毁损肺.
作者: jw-830    时间: 2007-8-31 16:16
考虑右肺细支气管肺泡癌可能,建议进一步检查
作者: 清清楚楚    时间: 2007-8-31 16:45
支持3楼意见
作者: 沙漠骆驼    时间: 2007-8-31 18:04
建议做结核菌黍试验, 排除结核的可能. 结合临床表现, 治疗后ct复查,确定性质.
作者: clj20    时间: 2007-8-31 18:08
图片不全,考虑两肺tb,支气管肺泡癌不排除
作者: hhcckk    时间: 2007-8-31 18:10
我更趋向于2楼结核的诊断
1、右上胸廓塌陷,纵隔气管右移
2、病灶靠后方,一般结核多见一点
3、病灶内,纵隔内有少许钙化灶
3楼的肺细支气管肺泡癌也不能完全排除,毕竟患者年纪大,病史短,临床上感染症状不明显,建议短期内复查吧
作者: 狙击手    时间: 2007-8-31 18:15
首先从简单常见入手,考虑结核,肺细支气管肺泡癌待排。
作者: gaoshengjiang    时间: 2007-8-31 18:26
肺结核
作者: luochengyi    时间: 2007-8-31 18:53
考虑结核,肺细支气管肺泡癌待排。
作者: 宝天曼    时间: 2007-8-31 20:07
考虑结核,
作者: shiqingfa    时间: 2007-8-31 20:55
考虑结核,肺细支气管肺泡癌待排
作者: ZHANGZHONGSHOU    时间: 2007-8-31 21:30
支持细支气管肺泡癌可能性大
作者: zjzjr    时间: 2007-8-31 21:42
考虑右肺细支气管肺泡癌可能,建议进一步检查
作者: 52YINGXIANG    时间: 2007-8-31 22:05
1.慢支 肺tb
2.肺细支气管肺泡癌待排
作者: zyyzzy    时间: 2007-9-1 00:26
考虑结核,细支气管肺泡癌待排。
作者: 南沙    时间: 2007-9-1 01:08
考虑结核,肺细支气管肺泡癌待排。
作者: huobingsheng    时间: 2007-9-1 01:14
考虑结核,肺细支气管肺泡癌待排
作者: 随缘的人    时间: 2007-9-1 03:24
考虑右肺细支气管肺泡癌可能,建议进一步检查
作者: zyx168    时间: 2007-9-1 15:31
考虑结核
作者: 拾荒者    时间: 2007-9-1 22:07
病灶范围较大,病史较短,病人年龄较大,结核中毒症状不明显, 考虑1右肺细支气管肺泡癌,2.硬化性淋巴瘤,建议进一步检查
作者: duanhui007    时间: 2007-9-2 03:41
右肺结核




欢迎光临 医影在线 (http://bbs.radida.com/bbs/) Powered by Discuz! X3.2