





































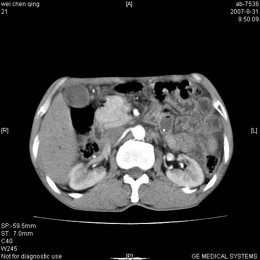
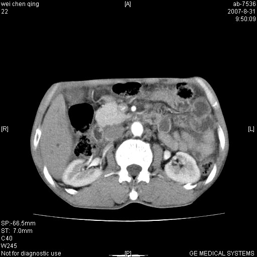
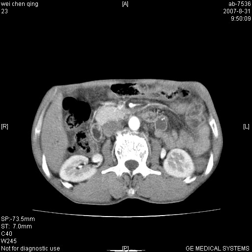
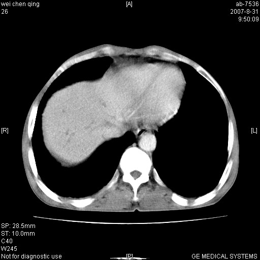
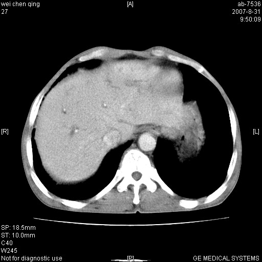
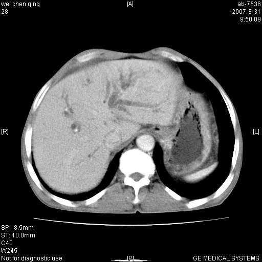
以下是引用zjzjr在2007-8-31 14:38:00的发言:[br]胰头癌伴肝内胆管扩张可能性大。
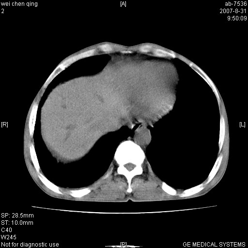
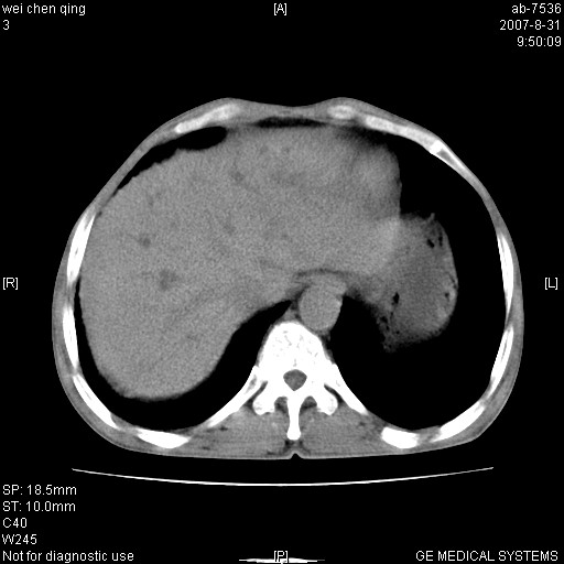
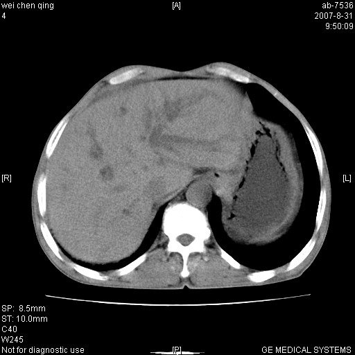
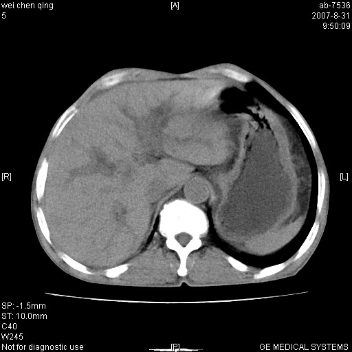
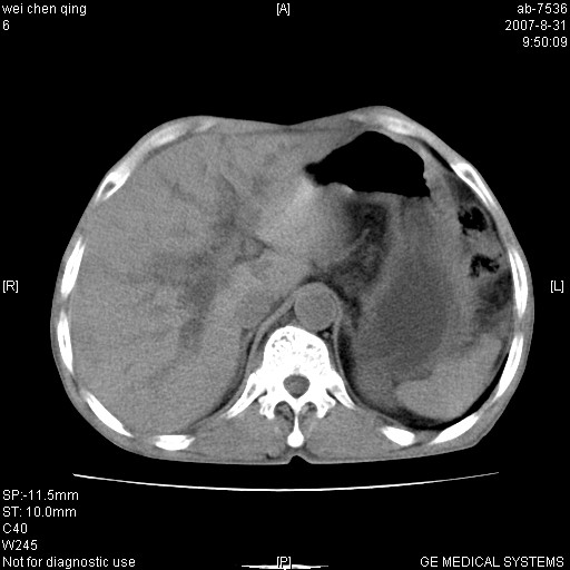
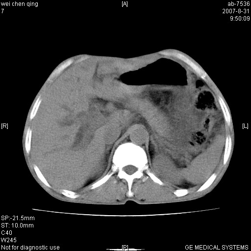
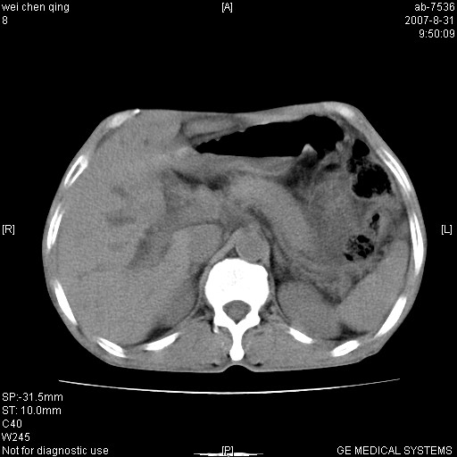
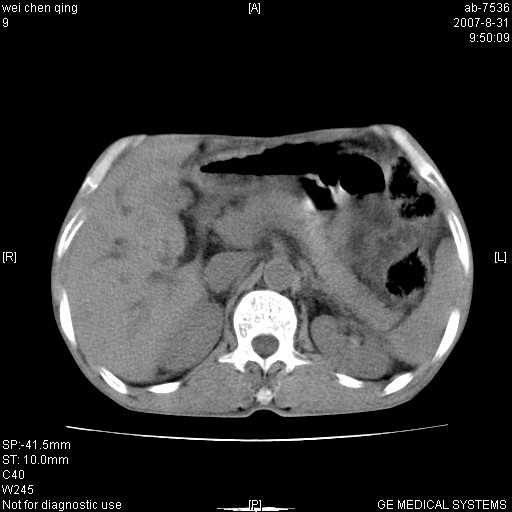
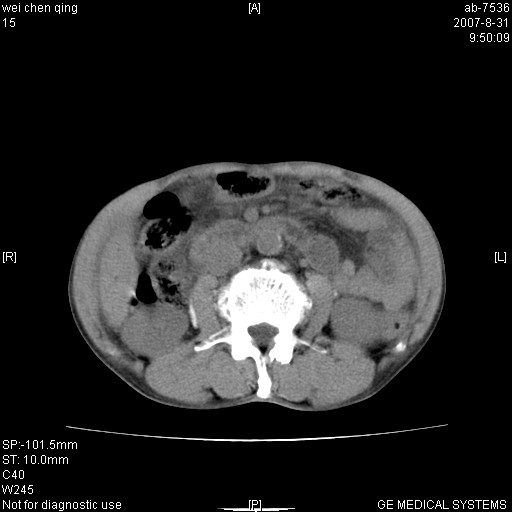
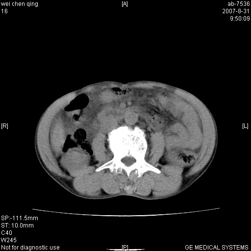
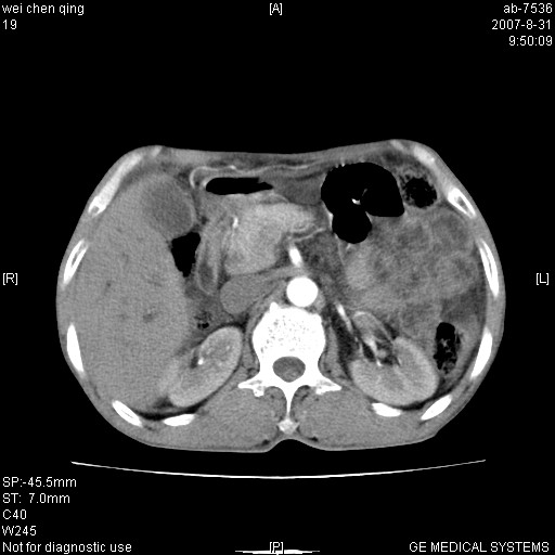
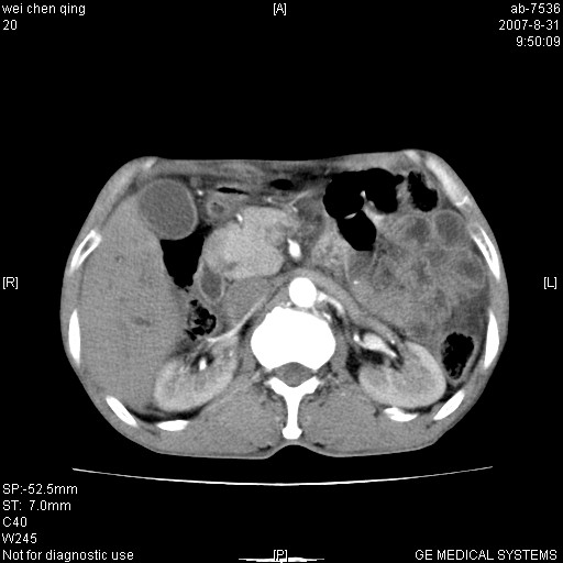
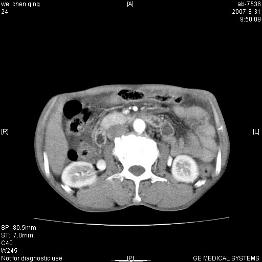
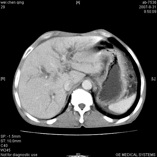
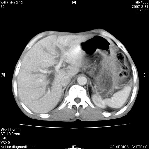
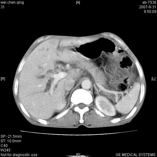
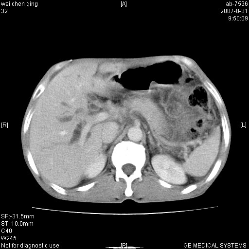
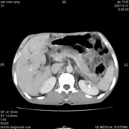
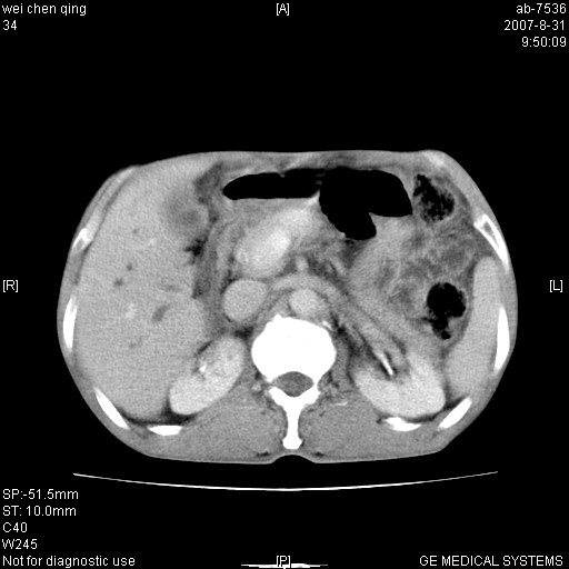
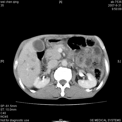
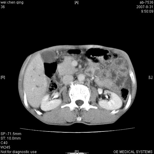
以下是引用zyyzzy在2007-8-31 14:34:00的发言:[br]该病人肝内胆管扩张,胆囊及胆总管未见明显扩张。在倒数第9层图像上可看到左右肝管结合部(肝总管)有软组织影,此处应薄层扫描。考虑肝总管占位(ca)、腹水。[br]
以下是引用zyyzzy在2007-8-31 14:34:00的发言:[br]该病人肝内胆管扩张,胆囊及胆总管未见明显扩张。在倒数第9层图像上可看到左右肝管结合部(肝总管)有软组织影,此处应薄层扫描。考虑肝总管占位(ca)、腹水。[br]
| 欢迎光临 医影在线 (http://bbs.radida.com/bbs/) | Powered by Discuz! X3.2 |