医影在线
标题: CT9567:肝脏病变[CT增强已经贴出] [打印本页]
作者: fanshl 时间: 2007-8-31 23:04
标题: CT9567:肝脏病变[CT增强已经贴出]
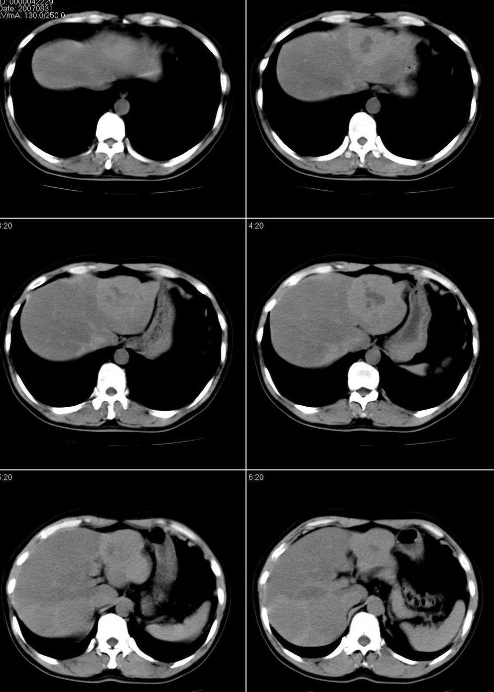
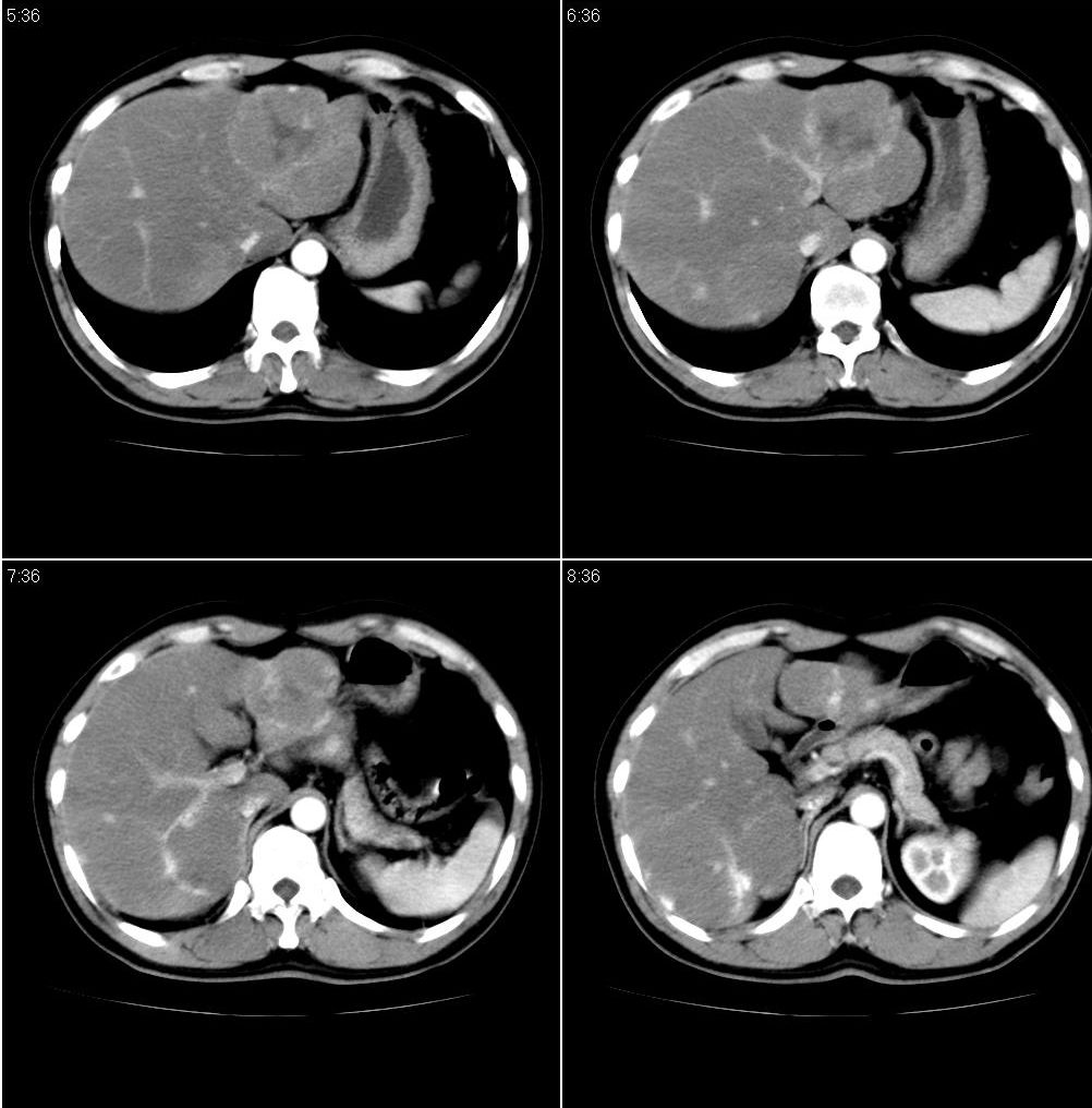
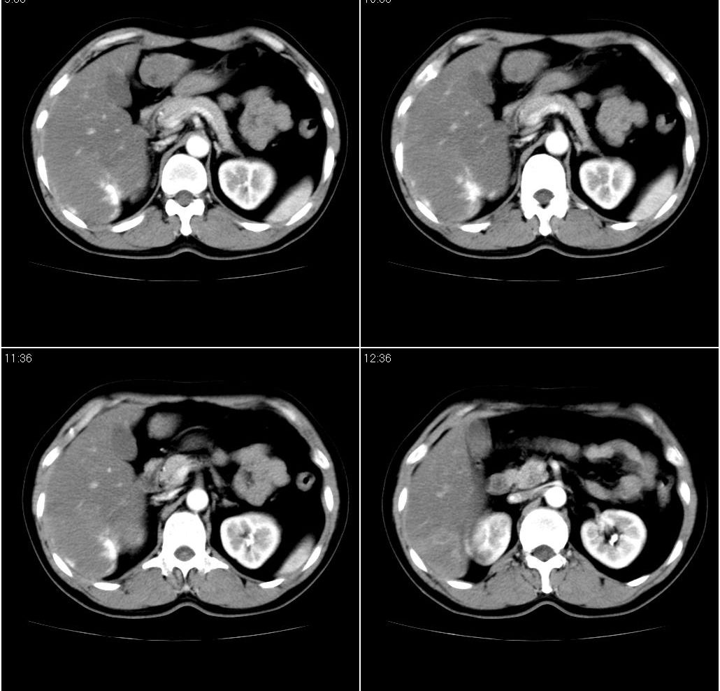
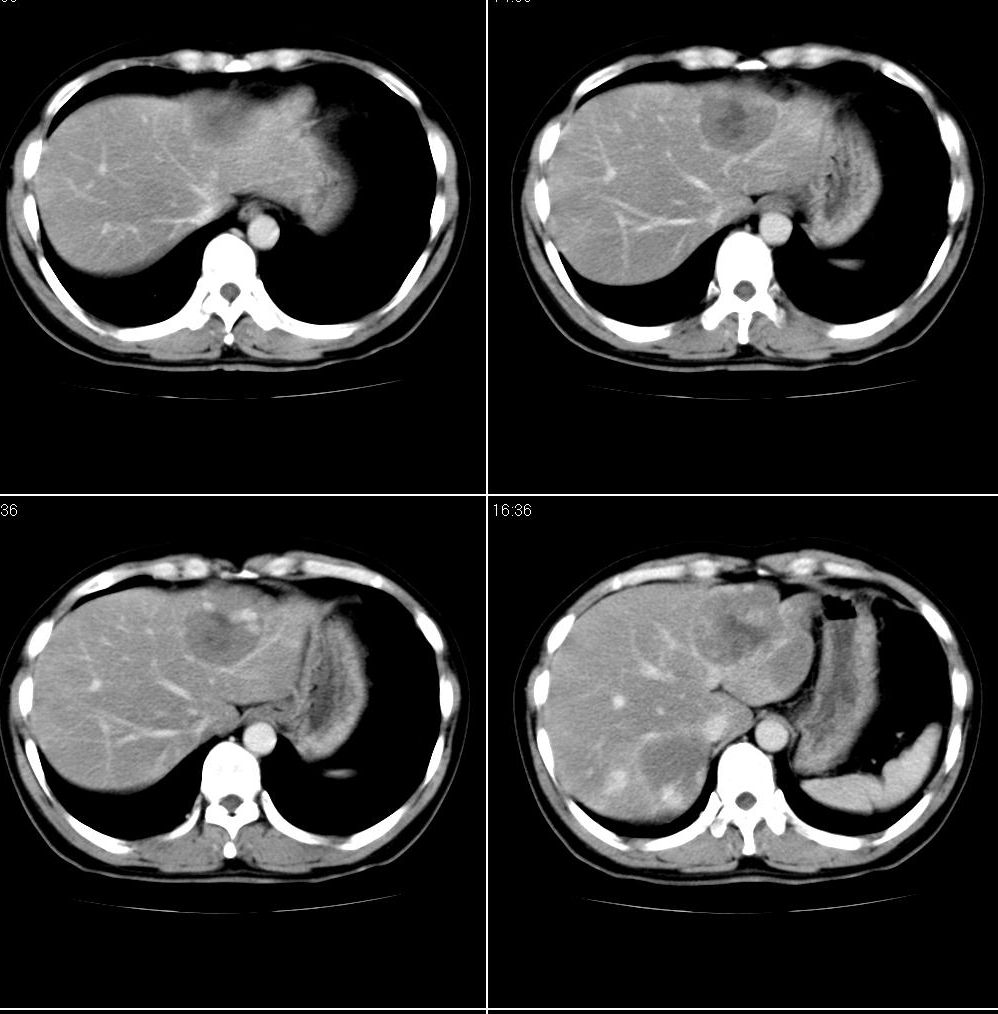
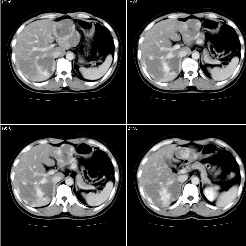
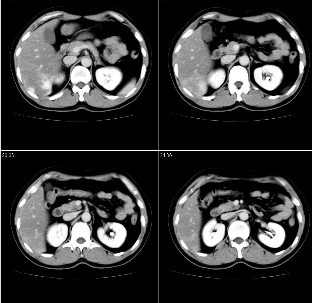
男,43岁。体检发现肝脏病变



[本贴已被 翁志蓬 于 2007-9-1 1:05:31 修改过]









[本贴已被 jiajie 于 2007-9-2 8:48:30 修改过]
作者: 医影常客 时间: 2007-9-1 00:10
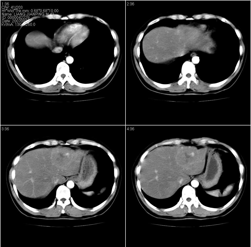
肝局灶性脂肪肝 肝左叶外侧段占位病变,建议加强
作者: xiaoyi 时间: 2007-9-1 00:11
考虑肝左叶癌并脂肪肝,肿块在脂肪肝衬托下呈高密度影,其内可见坏死灶,建议增强
作者: jinning 时间: 2007-9-1 00:15
肝局灶性脂肪肝 肝左叶外侧段占位病变,建议加强
作者: liaizhi 时间: 2007-9-1 00:38
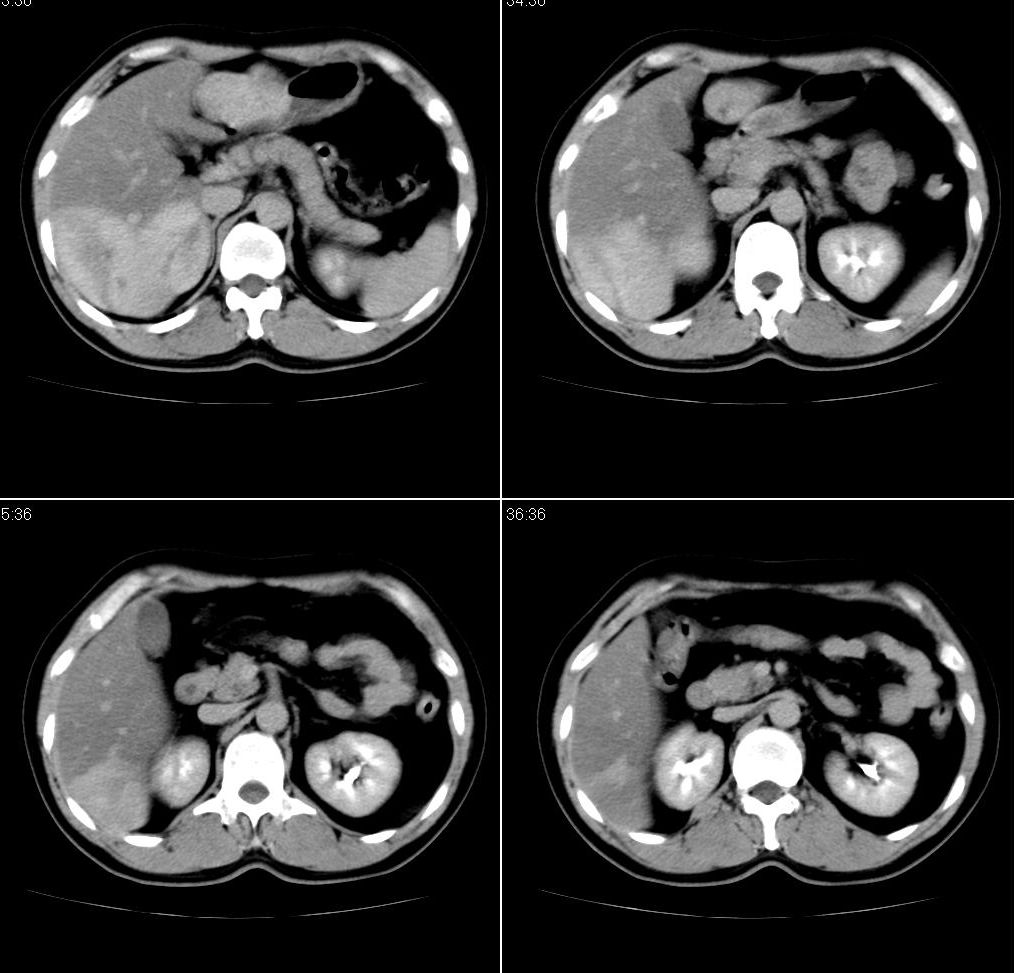
肝右叶密度均匀减低,左叶增大,表面凹凸不平,内有低密度影。脾不大其密度较肝稍高。考虑1脂肪肝2肝左叶占位。建议增强。
作者: 流星1234 时间: 2007-9-1 00:51
1)局灶性脂肪肝2)肝左叶外侧段内占位,建议强化
作者: zjzjr 时间: 2007-9-1 00:52
肝局灶性脂肪肝 肝左叶外侧段占位病变,建议加强
作者: wansheng 时间: 2007-9-1 01:13
肝局灶性脂肪肝 肝左叶外侧段占位病变,建议加强
作者: 天南地北 时间: 2007-9-1 01:17
标题: 回复:肝脏病变
以下是引用zjzjr在2007-8-31 16:52:00的发言:[br]肝局灶性脂肪肝 肝左叶外侧段占位病变,建议加强
作者: 南沙 时间: 2007-9-1 01:23
肝局灶性脂肪肝 肝左叶外侧段占位病变,建议加强
作者: fanshl 时间: 2007-9-1 02:38
标题: 这里的人气很旺
这里的人气很旺啊,谢谢战友们讨论
[本贴已被 fanshl 于 2007-9-2 3:19:18 修改过]
作者: 随缘的人 时间: 2007-9-1 02:59
肝局灶性脂肪肝 肝左叶外侧段占位病变,建议加强
作者: xiaocao5022 时间: 2007-9-1 05:12
说点别有建议的,不要老样子,在看看了,
作者: tanjiuzhe313 时间: 2007-9-1 05:15
支持肝局灶性脂肪肝,肝左叶外侧段占位病变。再看看增强吧
作者: 迎客松ABC 时间: 2007-9-1 05:18
考虑肝左叶癌并脂肪肝,肿块在脂肪肝衬托下呈高密度影,其内可见坏死灶,建议增强
作者: jsgdoctor 时间: 2007-9-1 06:02
标题: 回复:肝脏病变
以下是引用医影常客在2007-8-31 16:10:00的发言:[br]肝局灶性脂肪肝 肝左叶外侧段占位病变,建议加强
作者: wuyiyunwu 时间: 2007-9-1 06:49
标题: 回复:肝脏病变
以下是引用xiaoyi在2007-8-31 16:11:00的发言:[br]考虑肝左叶癌并脂肪肝,肿块在脂肪肝衬托下呈高密度影,其内可见坏死灶,建议增强
作者: 拾荒者 时间: 2007-9-1 07:13
标题: 回复:肝脏病变
以下是引用liaizhi在2007-8-31 16:38:00的发言:[br]肝右叶密度均匀减低,左叶增大,表面凹凸不平,内有低密度影。脾不大其密度较肝稍高。考虑1脂肪肝2肝左叶占位。建议增强。
支持!
作者: 当当涛涛 时间: 2007-9-1 07:18
肝局灶性脂肪肝 肝左叶外侧段1)肝海绵状血管瘤2)肝ca
作者: 宝天曼 时间: 2007-9-1 14:33
肝局灶性脂肪肝 肝左叶外侧段占位病变,建议加强
作者: zyx168 时间: 2007-9-1 15:06
肝局灶性脂肪肝 肝左叶外侧段占位病变(肝癌?),建议增强。
作者: 红樱枪 时间: 2007-9-1 17:17
肝局灶性脂肪肝 肝左叶外侧段占位病变,建议加强
作者: liuhongjun01 时间: 2007-9-1 19:19
肝右叶密度均匀减低,左叶增大,表面凹凸不平,内有低密度影。考虑1局灶性脂肪肝 2肝左叶占位。建议增强。
作者: jkydlj 时间: 2007-9-1 19:41
下缘与胃窦关系密切,会不会是来源于胃的间质瘤??
作者: 陈剑 时间: 2007-9-1 21:15
肝局灶性脂肪肝 ,肝左叶外侧段占位病变,建议加强
作者: 天南地北 时间: 2007-9-2 21:09
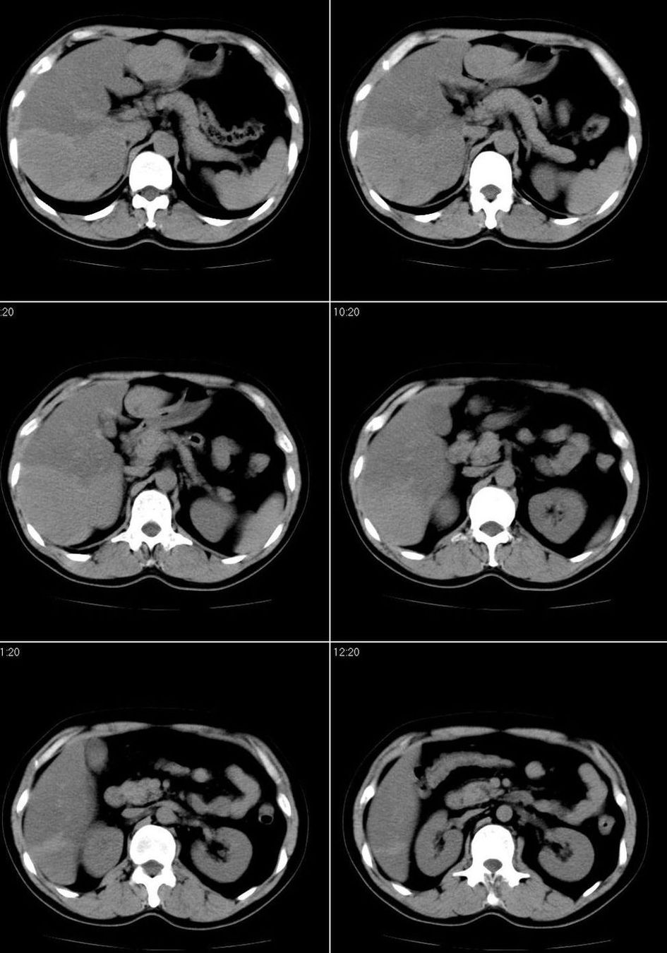
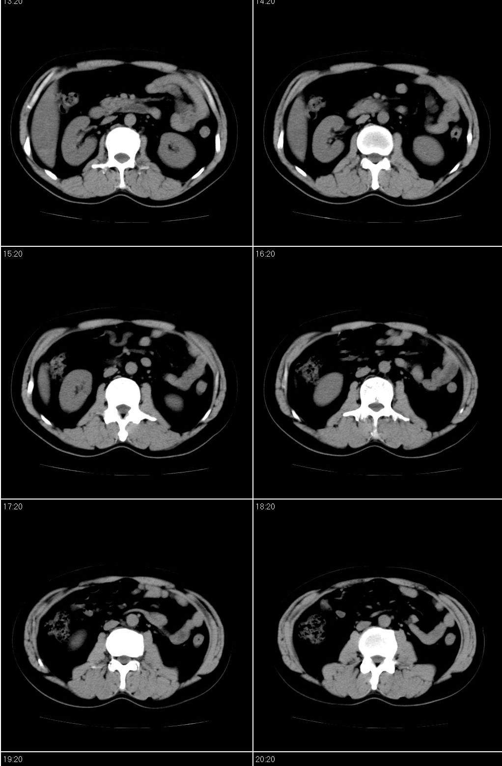
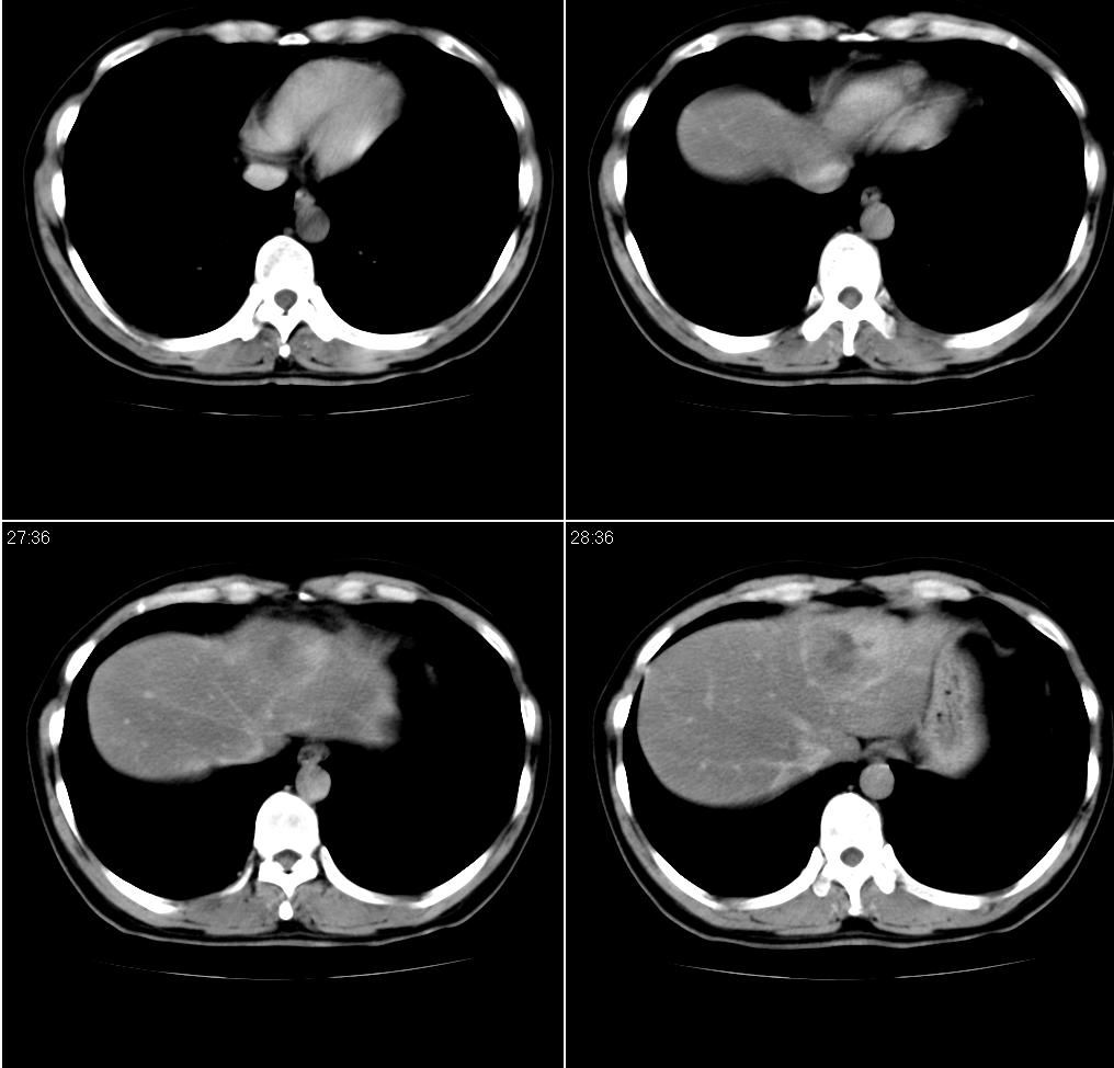
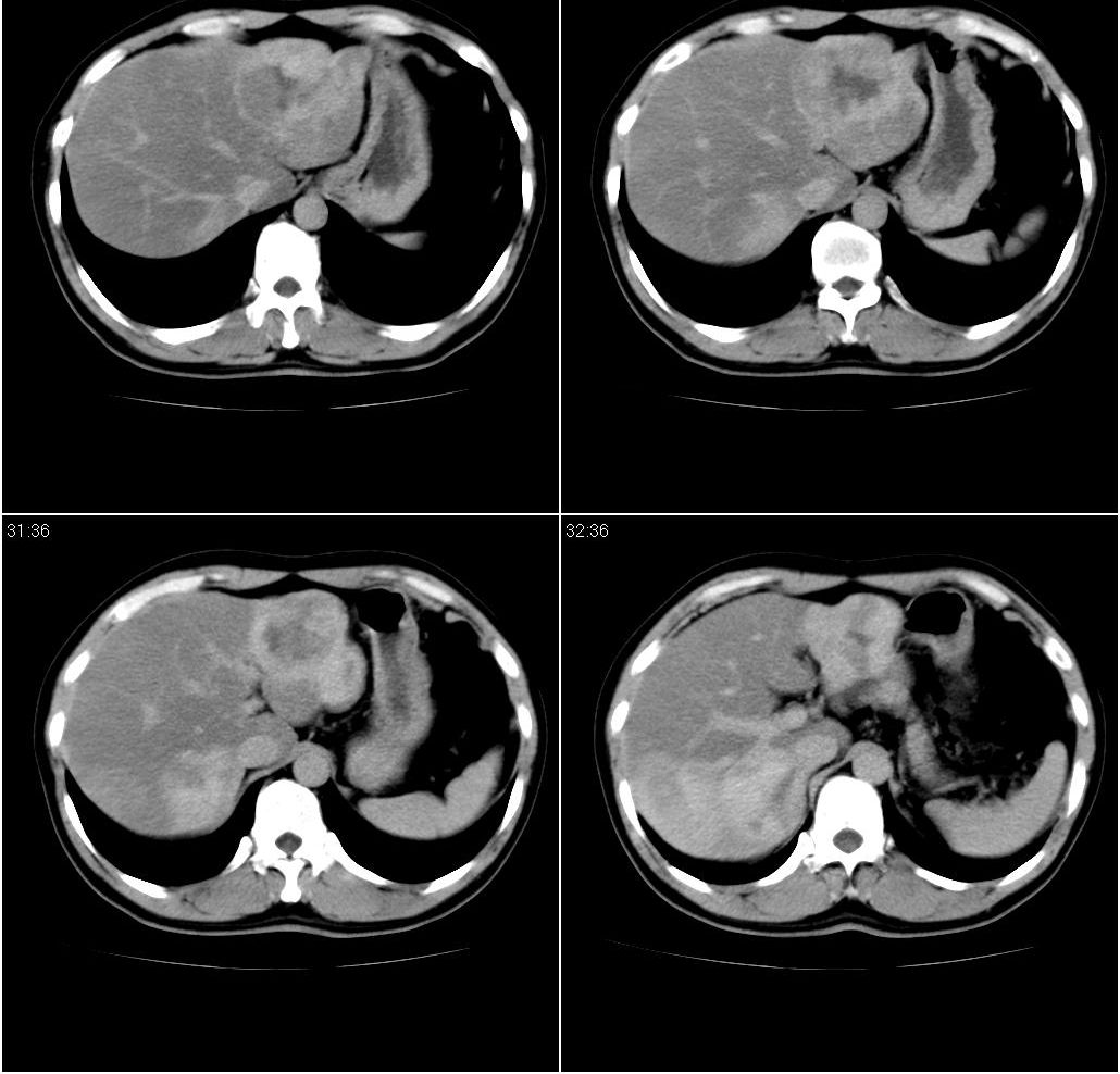
结合增强扫描
我觉得肝左叶病变考虑fnh可能性最大。
作者: 汪涛同志 时间: 2007-9-2 22:49
增强后诊断很明确了,缓慢结节样强化:肝内多发血管瘤
从这个病例可以看出增强ct优势何其重要性和必要性。
| 欢迎光临 医影在线 (http://bbs.radida.com/bbs/) |
Powered by Discuz! X3.2 |