



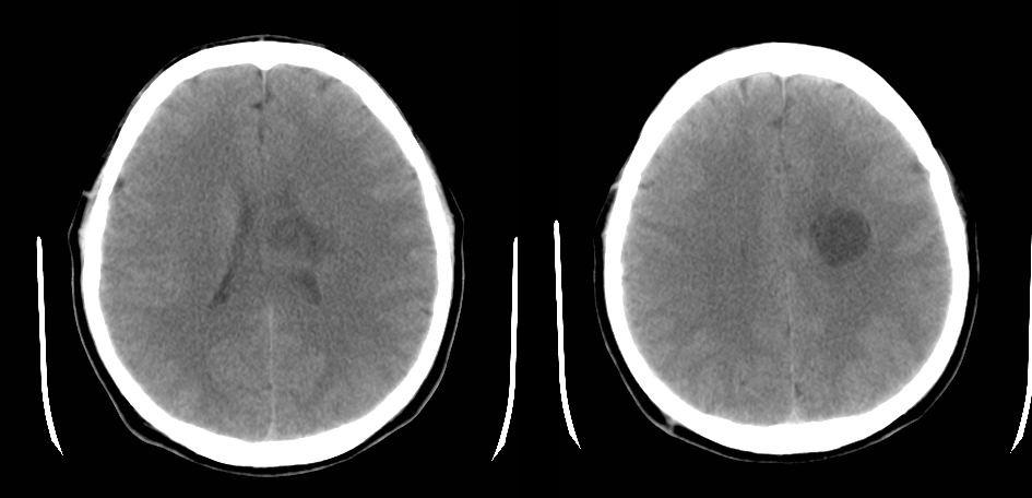
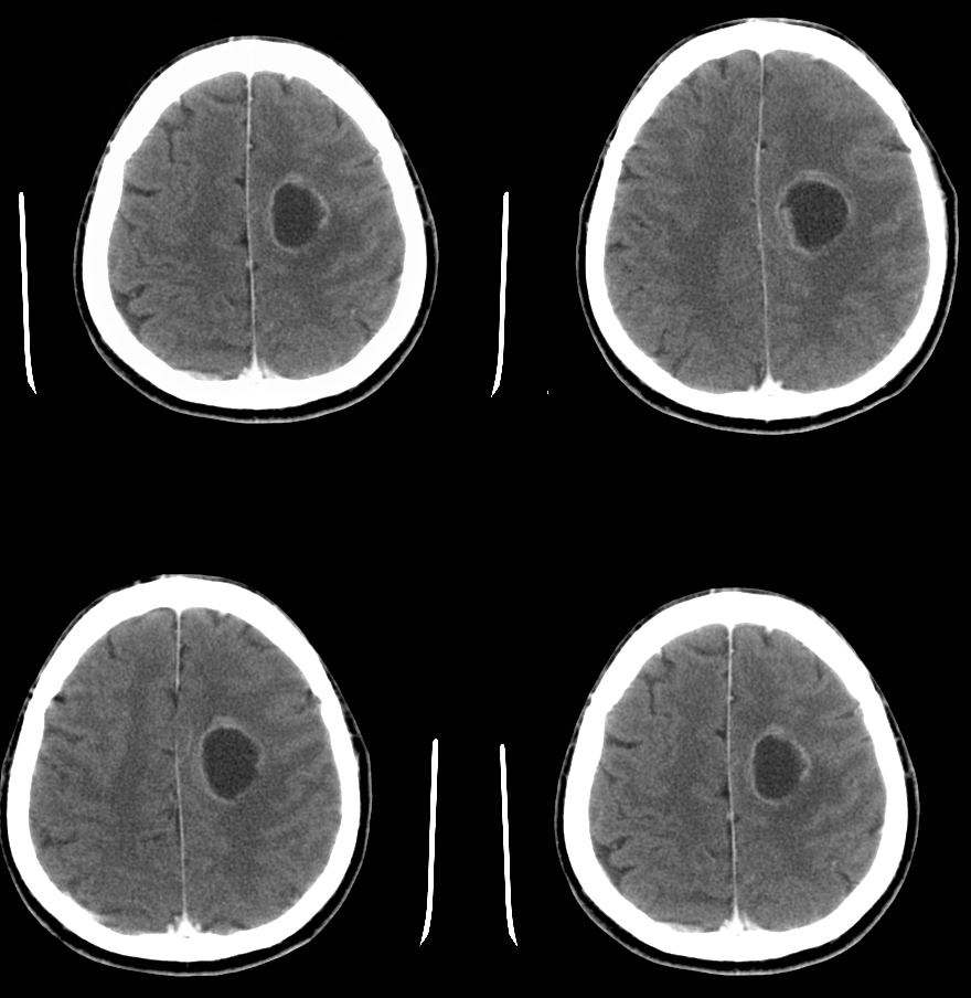
以下是引用zyx168在2007-9-1 7:00:00的发言:[br]首先考虑脑脓肿。此例从影像与临床很难鉴别:胶质瘤,囊虫病,转移瘤。
以下是引用zjzjr在2007-8-31 22:26:00的发言:[br]病灶呈薄壁环形强化,未见壁结节,支持脑脓肿可能性大.
以下是引用liuhongjun01在2007-9-1 11:12:00的发言:[br]病灶呈囊状有轻度占位,增强后呈环形薄壁强化,没有明显壁结节影,病灶位于半卵圆中心,[br]与硬脑膜无关系,考虑慢性脑脓肿,请结合临床,须与脑囊虫病、肿瘤等鉴别,单凭影像难肯定诊断。
| 欢迎光临 医影在线 (http://bbs.radida.com/bbs/) | Powered by Discuz! X3.2 |