医影在线

标题: CT9573:盆腔CT [打印本页]

作者: WPF    时间: 2007-9-1 18:47
标题: CT9573:盆腔CT
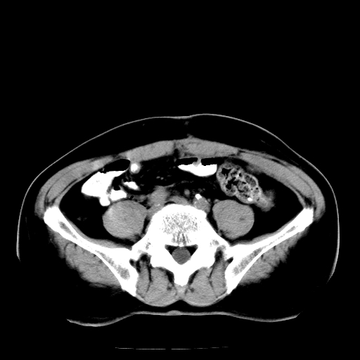
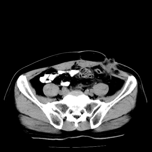
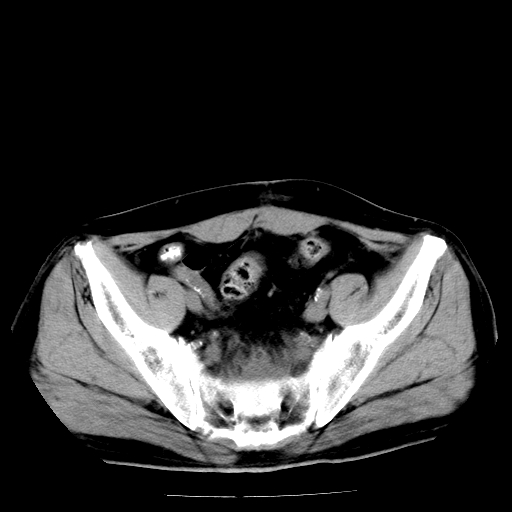
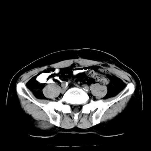
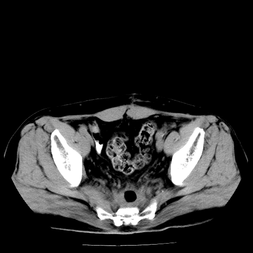
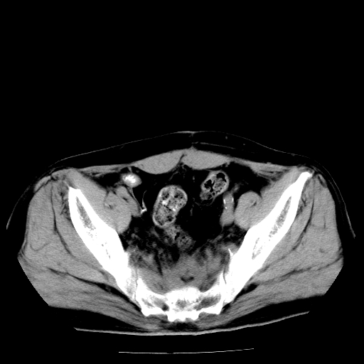
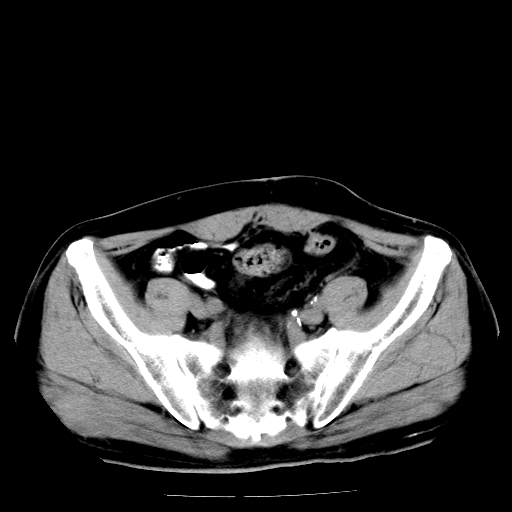
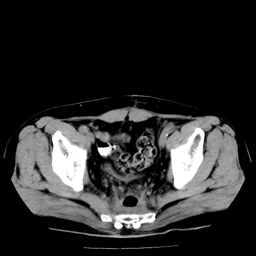
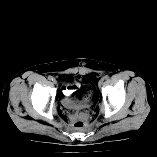
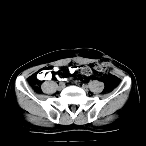
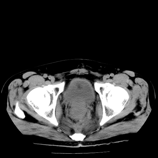
男,66岁,直肠癌术后一个月,化疗前ct检查。

















[本贴已被 翁志蓬 于 2007-9-1 16:16:03 修改过]

作者: qiushi    时间: 2007-9-1 19:05
膀胱充盈不太好,前列腺较大,前列腺肥大?占位?建议:结合临床.
作者: jkydlj    时间: 2007-9-1 19:59
前列腺大,直肠壁厚,造瘘术后
作者: zhangyubin1977    时间: 2007-9-1 20:40
直肠癌造瘘术后改变,周围淋巴结转移
前列腺肥大
作者: zjzjr    时间: 2007-9-1 20:57
直肠癌造瘘术后改变,盆腔多发淋巴结转移
前列腺肥大
作者: 陈剑    时间: 2007-9-1 21:03
直肠壁厚,盆腔多发淋巴结转移.
作者: 天南地北    时间: 2007-9-1 21:05
标题: 回复:盆腔ct

作者: jw-830    时间: 2007-9-1 21:14
支持楼上
作者: 拾荒者    时间: 2007-9-1 21:36
直肠癌造瘘术后改变,直肠周围软组织增厚,盆腔多发淋巴结转移。前列腺肥大。
作者: lsmzqf    时间: 2007-9-1 22:03
谢谢7楼解说
作者: 天地睹狭    时间: 2007-9-2 00:19
标题: 回复:ct9573:盆腔ct
以下是引用拾荒者在2007-9-1 13:36:00的发言:[br]直肠癌造瘘术后改变,直肠周围软组织增厚,盆腔多发淋巴结转移。前列腺肥大。

作者: xulianj    时间: 2007-9-2 01:31
直肠癌造瘘术后改变,直肠周围软组织增厚,盆腔多发淋巴结转移。前列腺肥大。
作者: 宝天曼    时间: 2007-9-2 04:33
前列腺大,直肠壁厚,造瘘术后
作者: zxczxc    时间: 2007-9-2 04:53
结肠造瘘术后。
直肠癌周围浸润。
前列腺肥大。
作者: 余辉    时间: 2007-9-2 05:53
盆腔内有很多点点,可能是淋巴结转移,建议增强。“直肠周围浸润”无法与术后斑痕鉴别,治疗后再说
作者: qjg1040    时间: 2007-9-2 06:04
标题: 回复:ct9573:盆腔ct
以下是引用余辉在2007-9-1 21:53:00的发言:[br]盆腔内有很多点点,可能是淋巴结转移,建议增强。“直肠周围浸润”无法与术后斑痕鉴别,治疗后再说

作者: 青莲居士    时间: 2007-9-2 17:05
直肠癌造瘘术后改变,直肠周围软组织增厚,盆腔多发淋巴结转移。前列腺肥大




欢迎光临 医影在线 (http://bbs.radida.com/bbs/) Powered by Discuz! X3.2