





















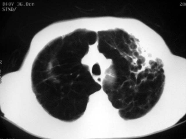
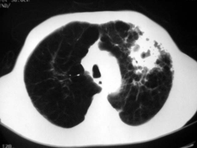
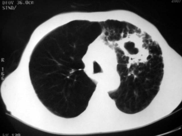
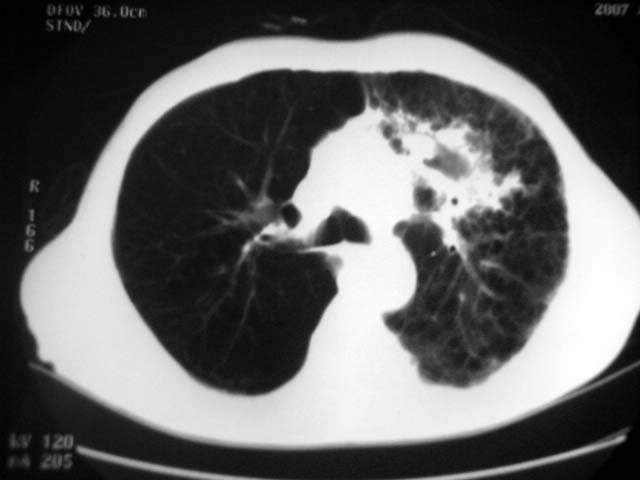
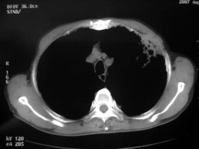
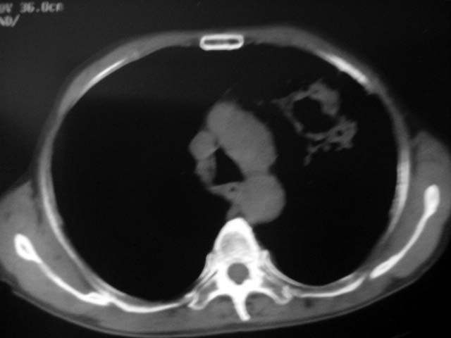
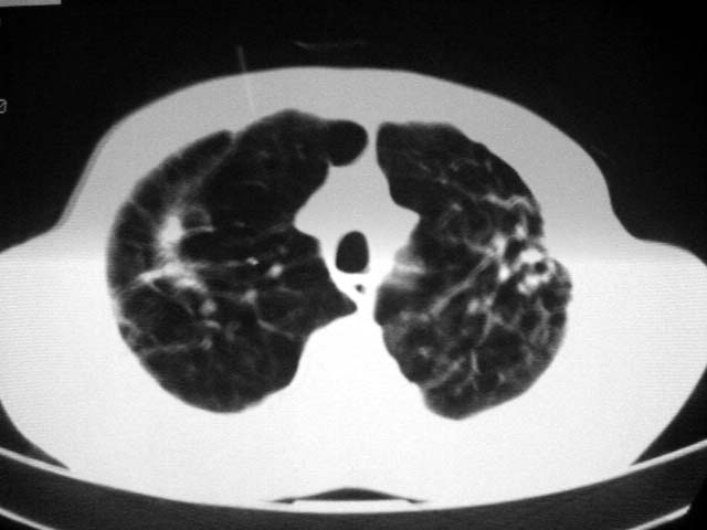
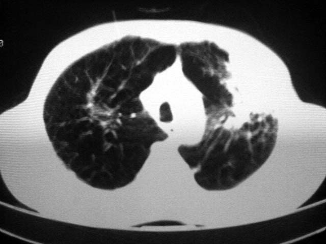
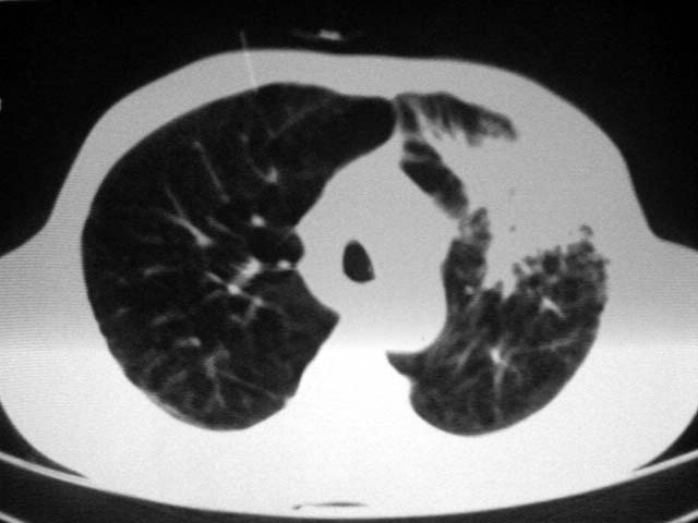
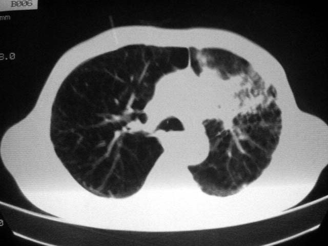
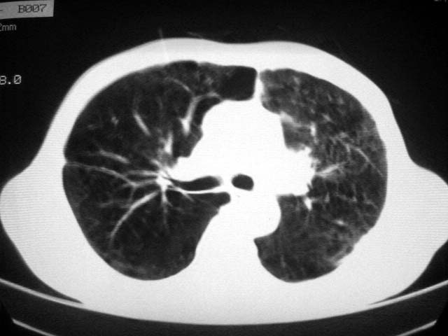
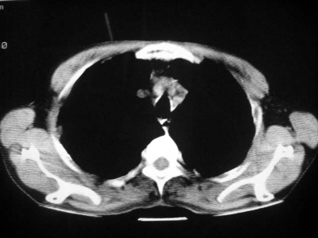
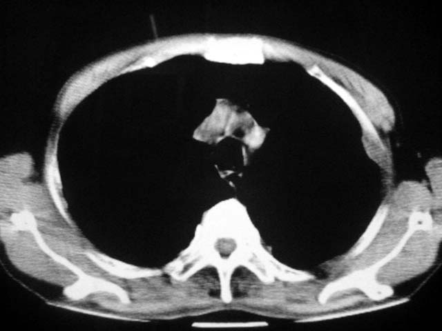
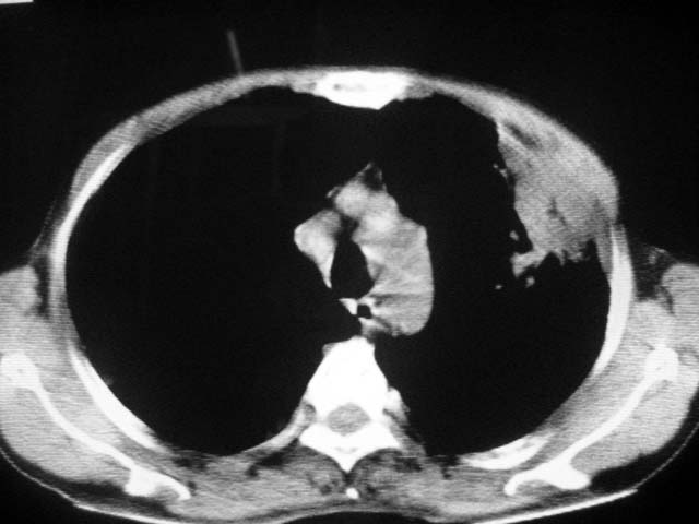
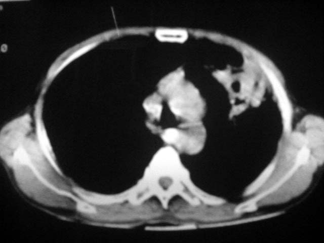
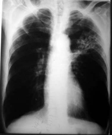
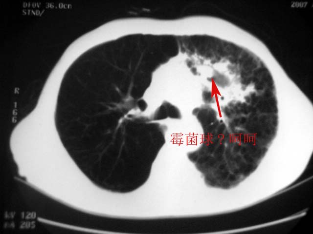
以下是引用zjzjr在2007-9-4 17:00:00的发言:[br]双上肺继发型结核伴左上肺空洞形成.慢性支气管炎伴肺气肿.

以下是引用liuzheng_9326在2007-9-4 16:23:00的发言:[br]痰检未见结核菌, 治疗后症状好转。图像符合陈旧性结核伴感染。
以下是引用zjzjr在2007-9-4 17:00:00的发言:[br]双上肺继发型结核伴左上肺空洞形成.慢性支气管炎伴肺气肿.
以下是引用拾荒者在2007-9-4 22:41:00的发言:[br][quote]以下是引用liuzheng_9326在2007-9-4 16:23:00的发言:[br]痰检未见结核菌, 治疗后症状好转。图像符合陈旧性结核伴感染。
以下是引用西凡在2007-9-21 11:43:00的发言:[br]学习 了
| 欢迎光临 医影在线 (http://bbs.radida.com/bbs/) | Powered by Discuz! X3.2 |