医影在线

标题: CT9619:男,44岁,糖尿病4年余,胸部病变,请分析. [打印本页]

作者: caihe    时间: 2007-9-5 01:10
标题: CT9619:男,44岁,糖尿病4年余,胸部病变,请分析.
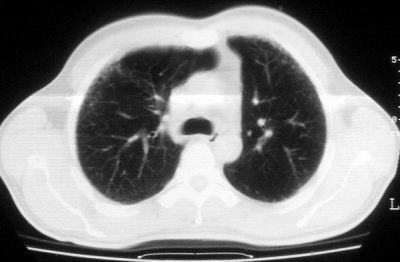
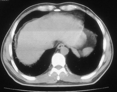
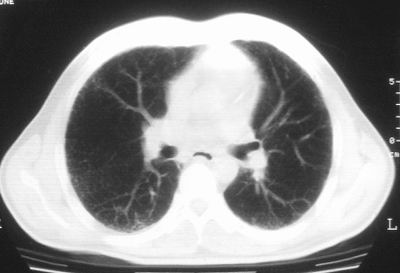
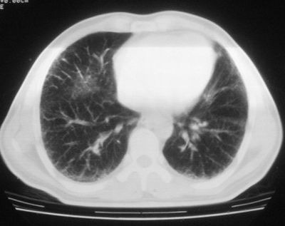
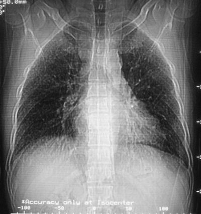
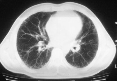
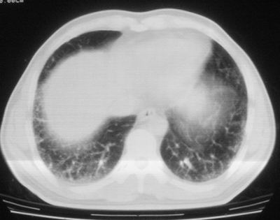
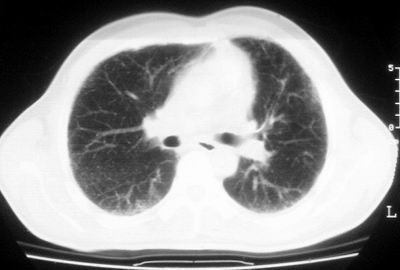
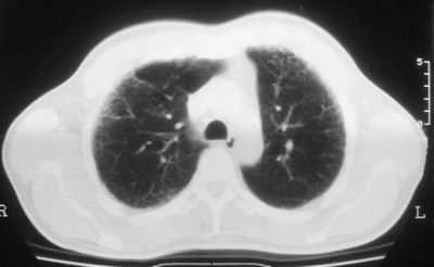
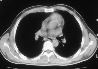
患者,男,44岁,糖尿病4年余,近期消瘦、乏力。化验检查:总胆红素26.33(参考值:5.1-17.2u mol/l),直接胆红素:6.4(参考值:0-4.3u mol/l),谷-丙转氨酶(alt):843(参考值:<40u/l),hbsag(+),抗hbs(-),hbeag(-),抗-hbe(+),抗-hbc(+)。


































[本贴已被 jiajie 于 2007-9-4 19:02:52 修改过]

作者: clj20    时间: 2007-9-5 01:21
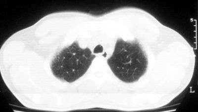
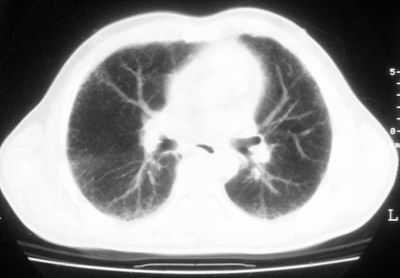
1\\粟粒性肺结核可能性大,支气管肺泡癌不排除
2\\少量腹水
作者: 王仕学    时间: 2007-9-5 01:28
双肺散在小结节影,考虑粟粒性肺结核.肺窗薄扫会更好看些.
作者: luochengyi    时间: 2007-9-5 01:51
考虑粟粒性肺结核
作者: 汪涛同志    时间: 2007-9-5 02:26
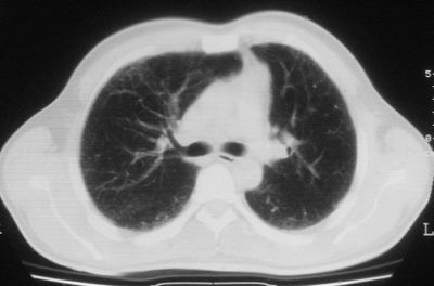
双肺外侧带胸膜下可见网状阴影,考虑轻度肺间质纤维化。
作者: 光线    时间: 2007-9-5 02:46
考虑轻度肺间质纤维化!支持!!
作者: rener    时间: 2007-9-5 03:52
结合此片:http://www.radida.com/radinet/read.php?tid=29110
诊断:癌性淋巴管炎.
作者: jw-830    时间: 2007-9-5 04:20
双肺纹理增强并可见网格状影达外带,考虑双肺感染并轻度间质纤维化
作者: zjzjr    时间: 2007-9-5 04:22
考虑轻度肺间质纤维化!支持!!
作者: 清清楚楚    时间: 2007-9-5 04:29
支持5楼意见
作者: xulianj    时间: 2007-9-5 05:00
考虑轻度肺间质纤维化!支持!!
作者: 同    时间: 2007-9-5 05:03
考虑肺间质纤维化伴肺部感染.
作者: jsgdoctor    时间: 2007-9-5 05:16
考虑肺结核,少量腹水.
作者: 雪山飞狐    时间: 2007-9-5 05:19
考虑粟粒性肺结核
作者: zyyzzy    时间: 2007-9-5 05:27
考虑轻度肺间质纤维化
作者: liuzili    时间: 2007-9-5 05:59
1.双肺急性粟粒型肺结核;2.少量腹水.
作者: zhaz2    时间: 2007-9-5 06:09
学习了
作者: wxy7406    时间: 2007-9-5 06:17
就这图像考虑间质性肺炎。
作者: zsl6918    时间: 2007-9-5 06:42
标题: 回复:ct9619:男,44岁,糖尿病4年余,胸部病变,请分析.
以下是引用zjzjr在2007-9-4 20:22:00的发言:[br]考虑轻度肺间质纤维化!支持!!

作者: 拾荒者    时间: 2007-9-5 06:44
肺间质纤维化并肺部感染,结合不能排出,毕竟糖尿病人易合并之,建议结合ppd检查或hrct进一步扫描。
作者: 狙击手    时间: 2007-9-5 17:17
考虑轻度肺间质纤维化!支持!!
作者: ccz1291    时间: 2007-9-5 17:50
双肺纹理增强并可见网格状影达外带,考虑双肺感染并轻度间质纤维化




欢迎光临 医影在线 (http://bbs.radida.com/bbs/) Powered by Discuz! X3.2