






























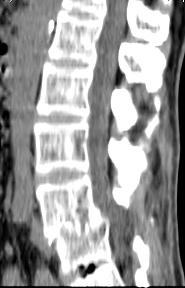
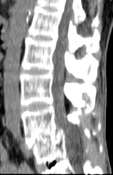
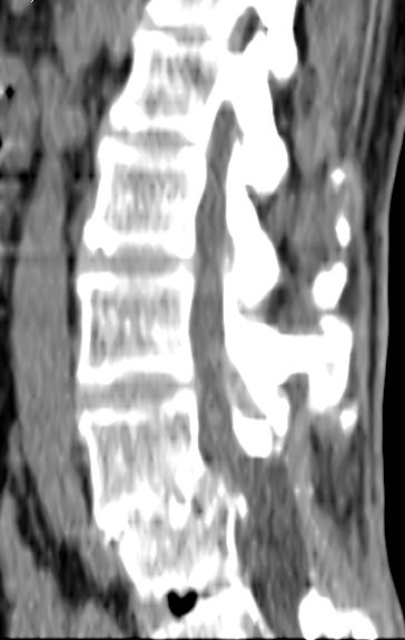
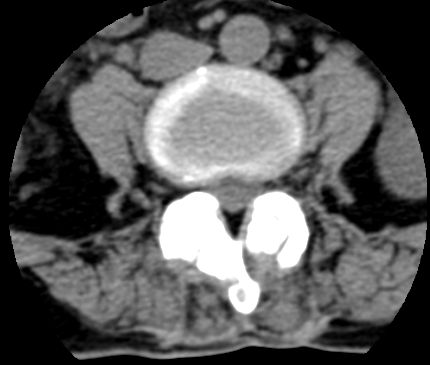
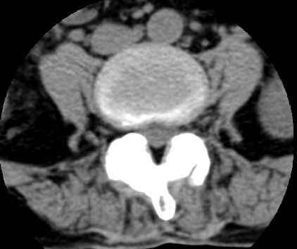
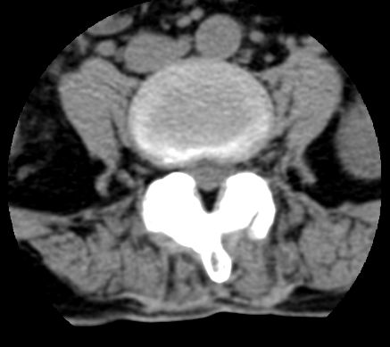
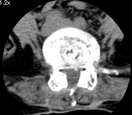
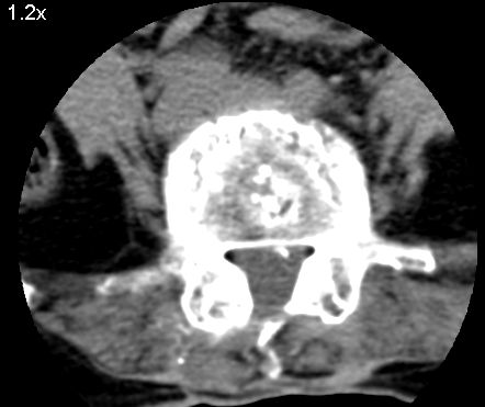
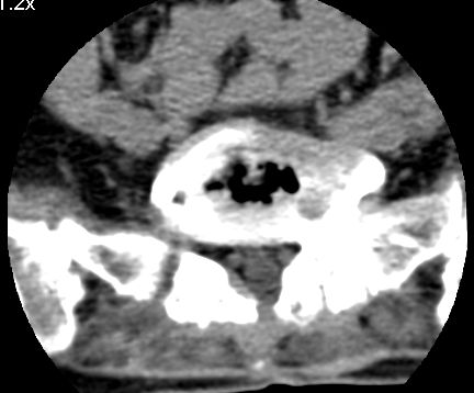
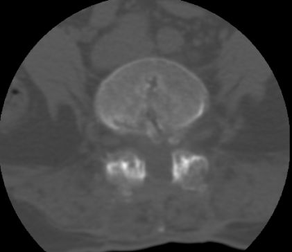
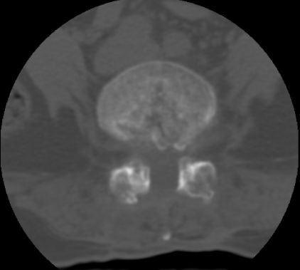
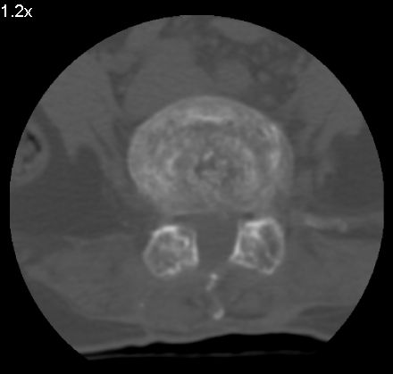
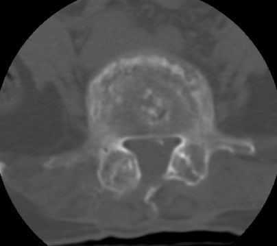
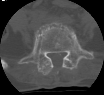
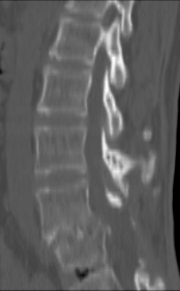
以下是引用余辉在2007-9-4 21:00:00的发言:[br]椎体棘突有点异常(像是被切割了),不知有否手术史,如椎体融合术等。单纯的退行性变可以出现椎间隙变窄,但同时一般会出现椎体上下缘的硬化增生,且椎体间完全融合的机率更小,本例椎体完全融合且椎体上下皮质缘破坏掉了,如果没有手术史,就应该考虑椎间盘炎性病变了,且椎体棘突及棘间韧带的变化也并不是不支持这个,多数小关节也融合了,且其形态也容易让人联想到如强脊炎及类风关等病变。[br][br][本贴已被 余辉 于 2007-9-4 21:03:55 修改过]
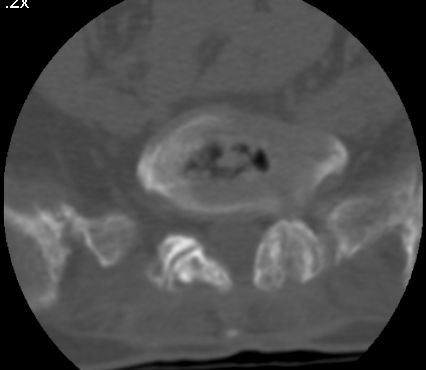
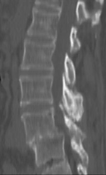
以下是引用chry3在2007-9-4 20:42:00的发言:[br]椎间盘病史?是什么样的病史,无双下肢放射痛,那就不是椎间盘突出了。是感染、什么性质的?[br]从图象看椎间隙消失,椎间盘组织未见,锥体滑脱是因为椎间盘溶解造成的[br]l4、5椎体骨质结构未见异常,l5上缘是l4的长期压迫所致[br]还是考虑椎间盘感染,结核。[br]
| 欢迎光临 医影在线 (http://bbs.radida.com/bbs/) | Powered by Discuz! X3.2 |