医影在线

标题: CT9646:男 55岁 反复上腹痛1年,请老师们赐教,肝脏占位2年 [打印本页]

作者: chenhua    时间: 2007-9-6 23:25
标题: CT9646:男 55岁 反复上腹痛1年,请老师们赐教,肝脏占位2年
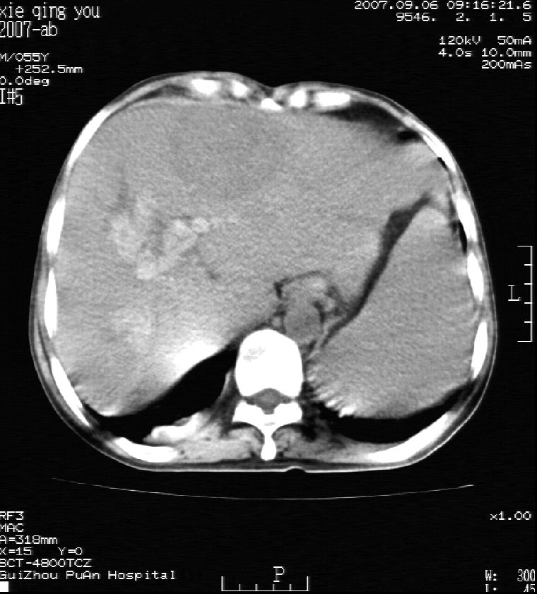
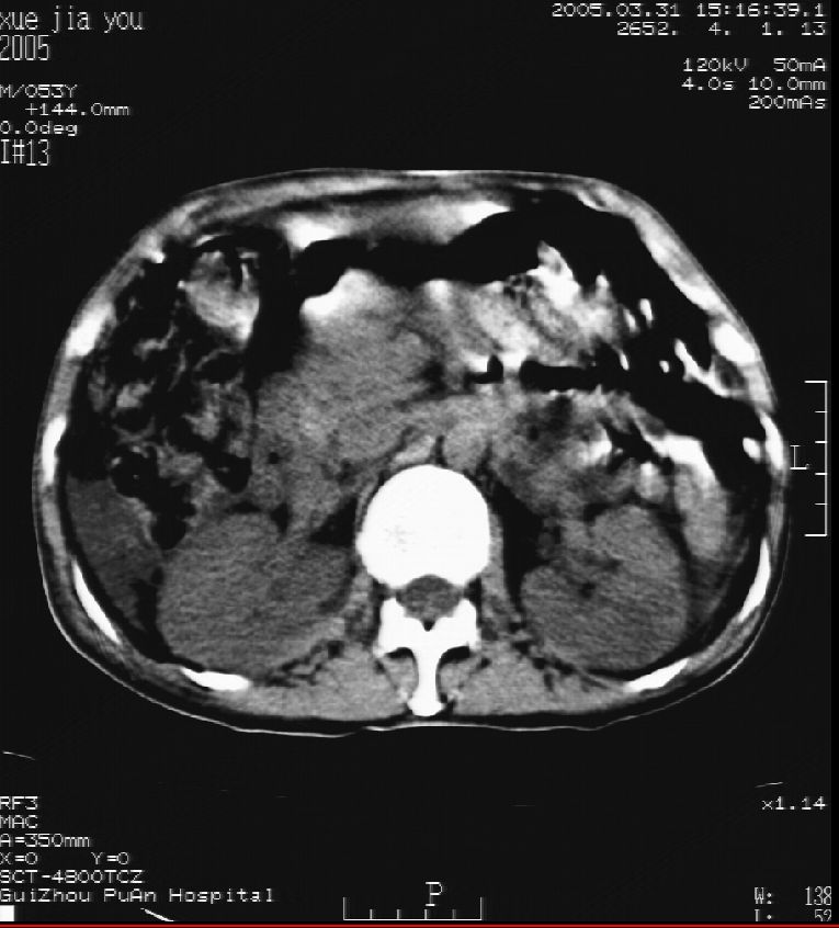
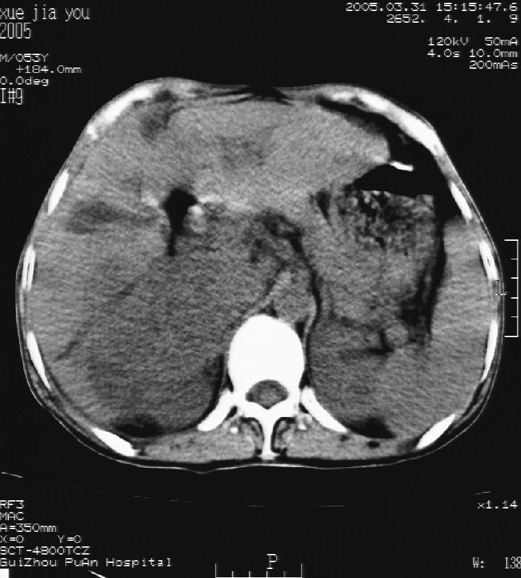
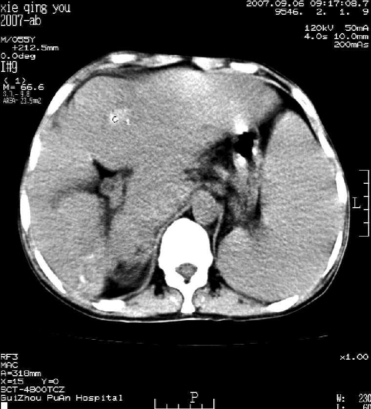
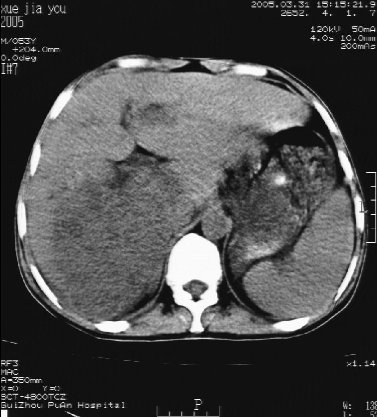
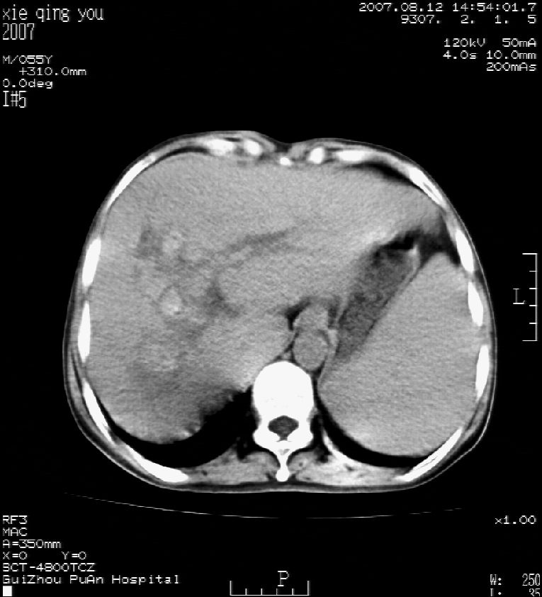
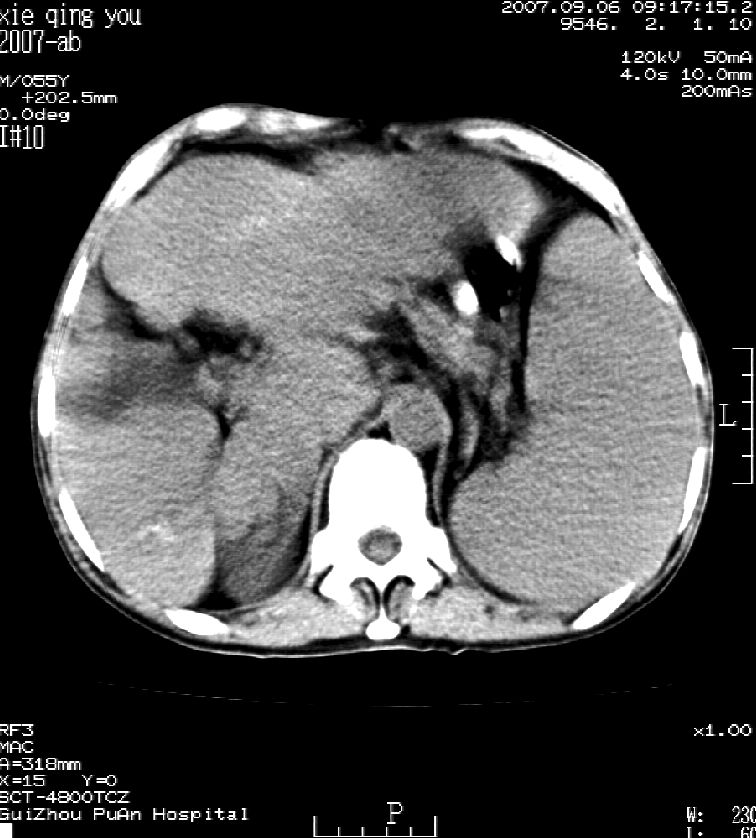
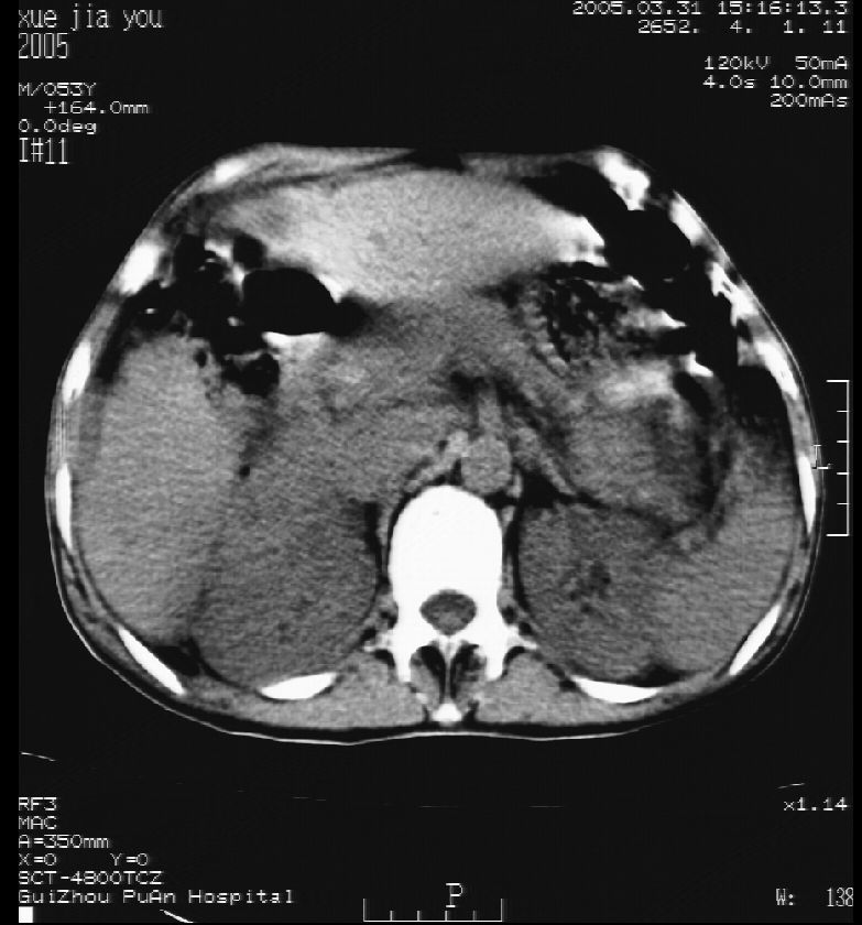
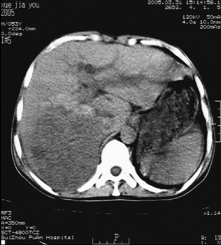
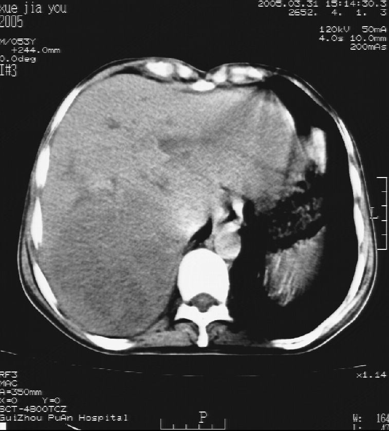
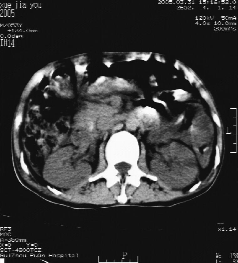
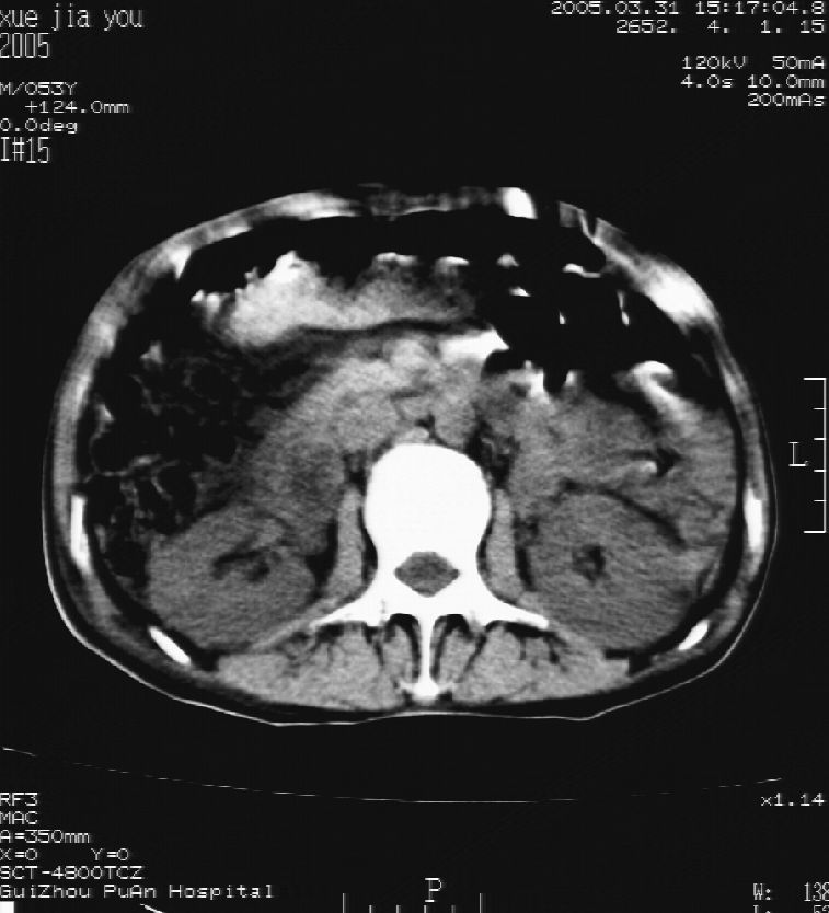
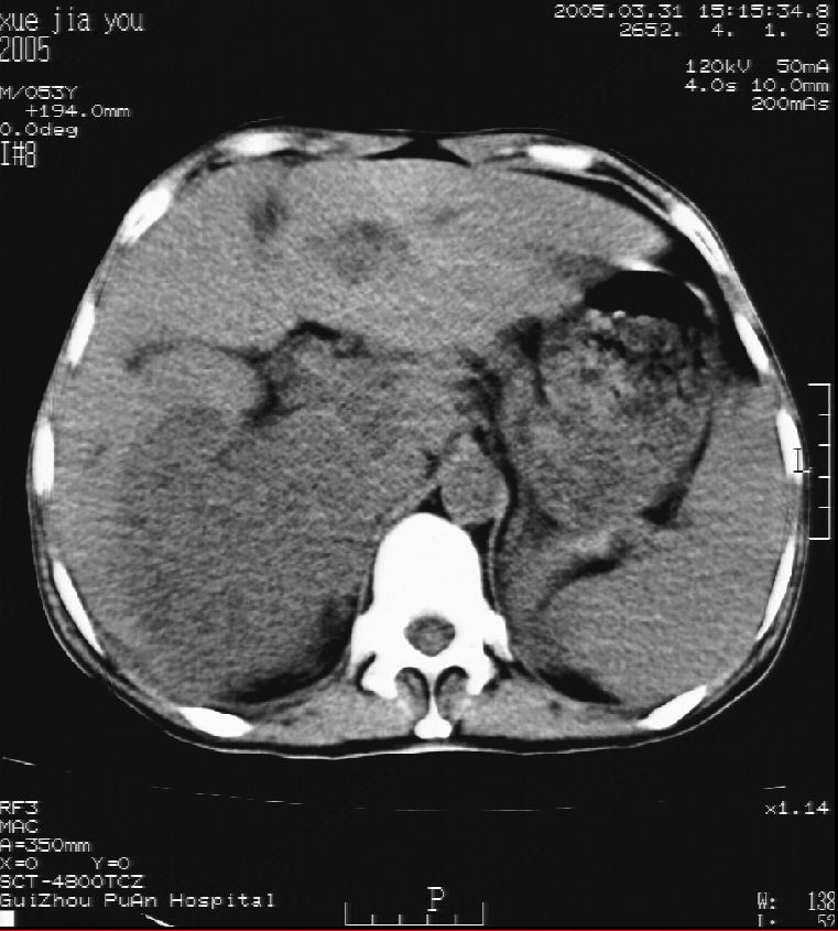
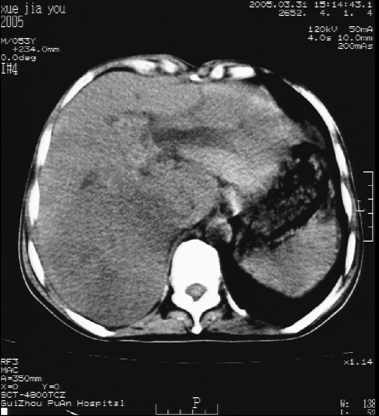
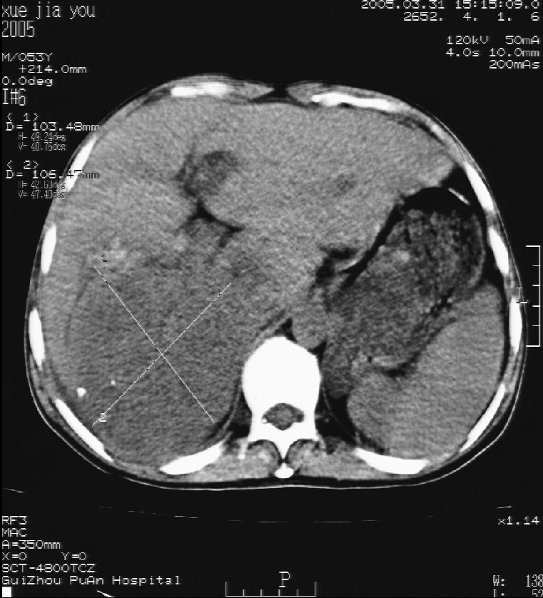
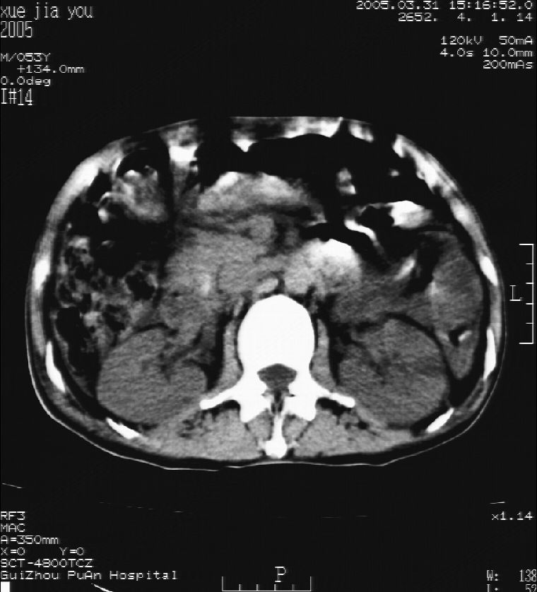
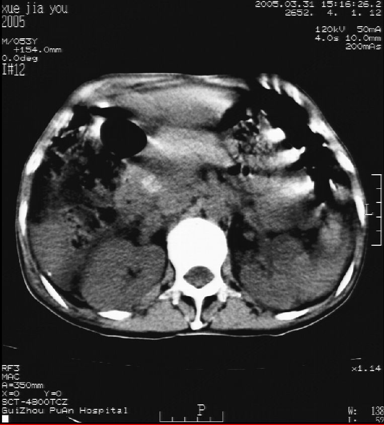
男 55岁  反复上腹痛1年,伴恶心呕吐。2005年做第一次检查后,到外院做b超检查提示肝囊肿,未做任何手术。2006年做过胆总管结石术。骨窗未见异常















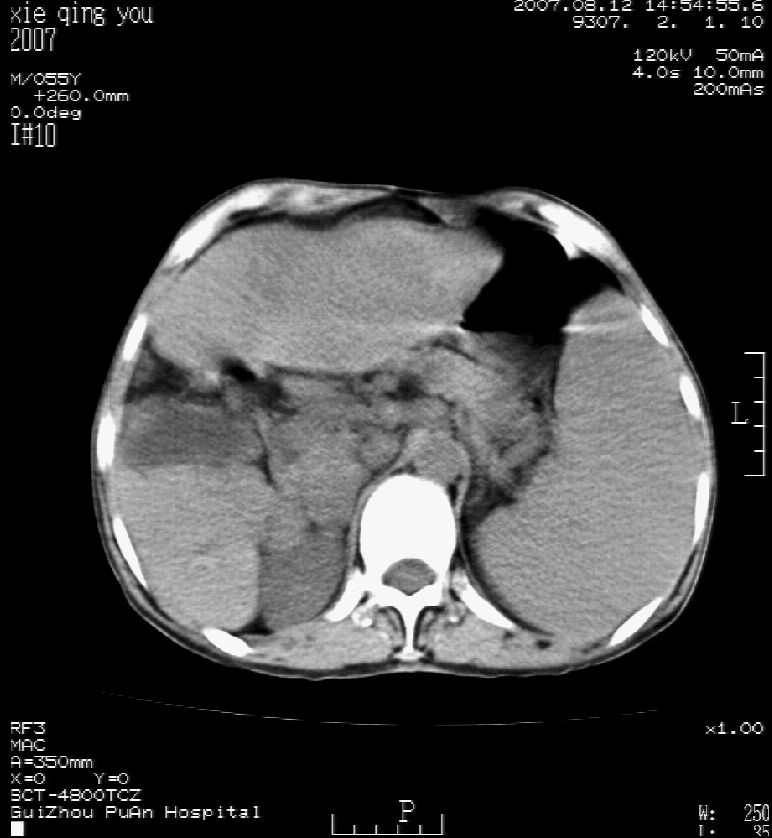
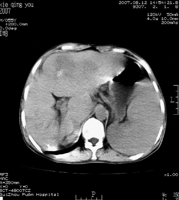
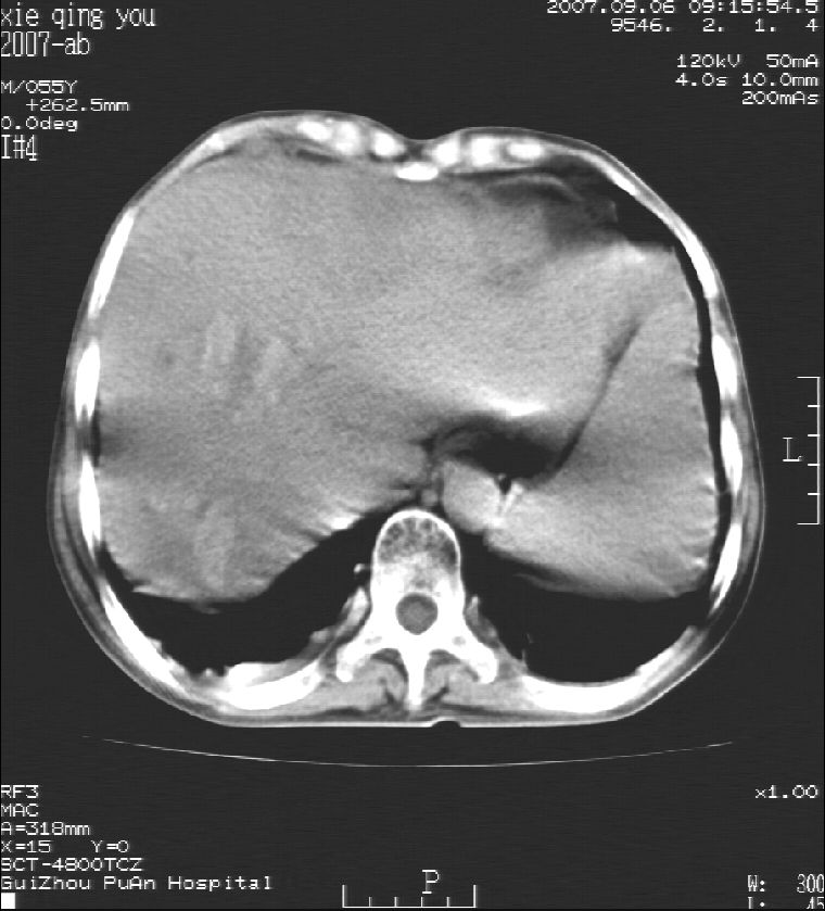
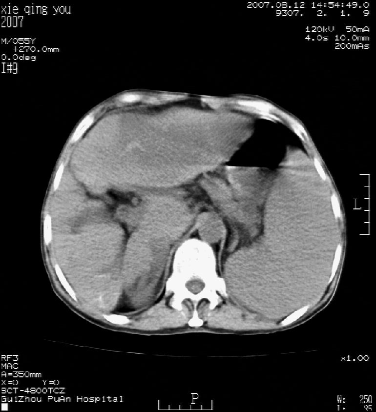
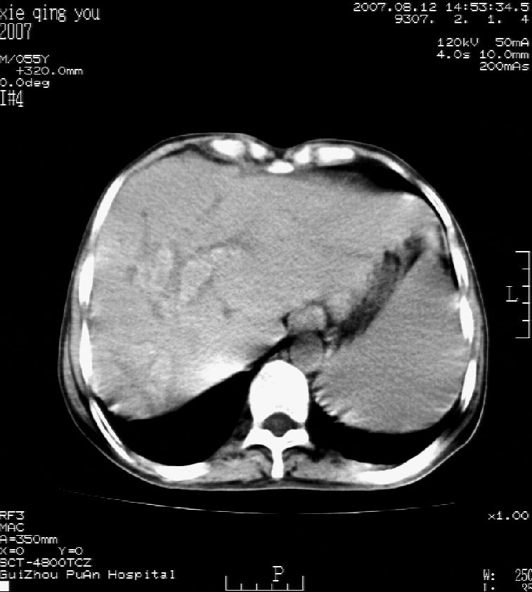
2007年8月片







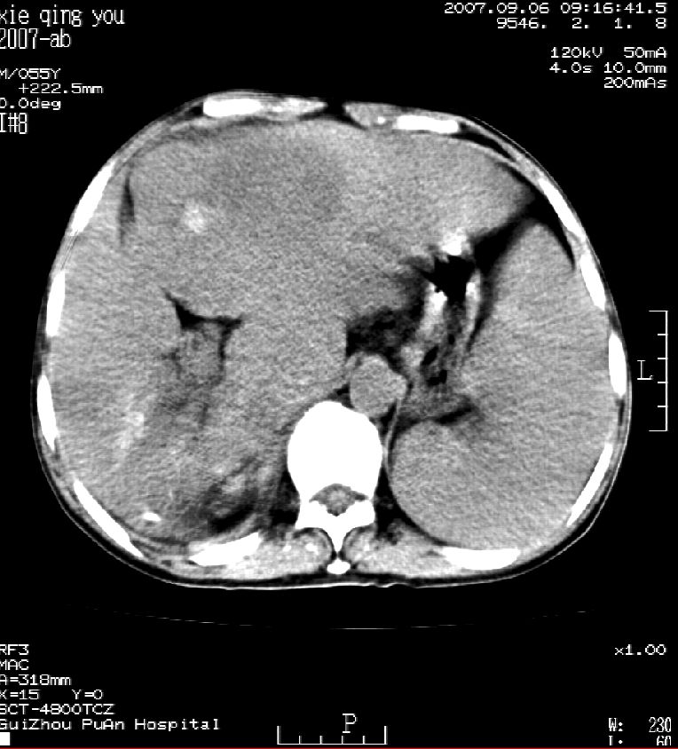
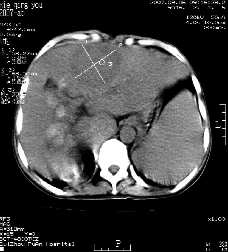
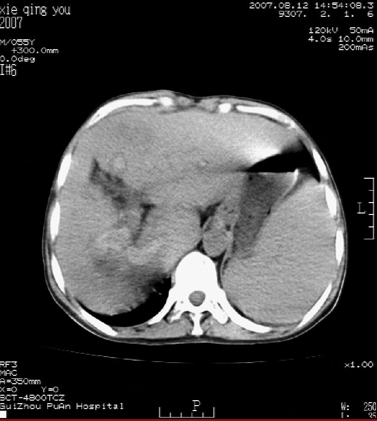
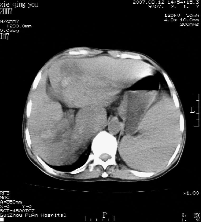
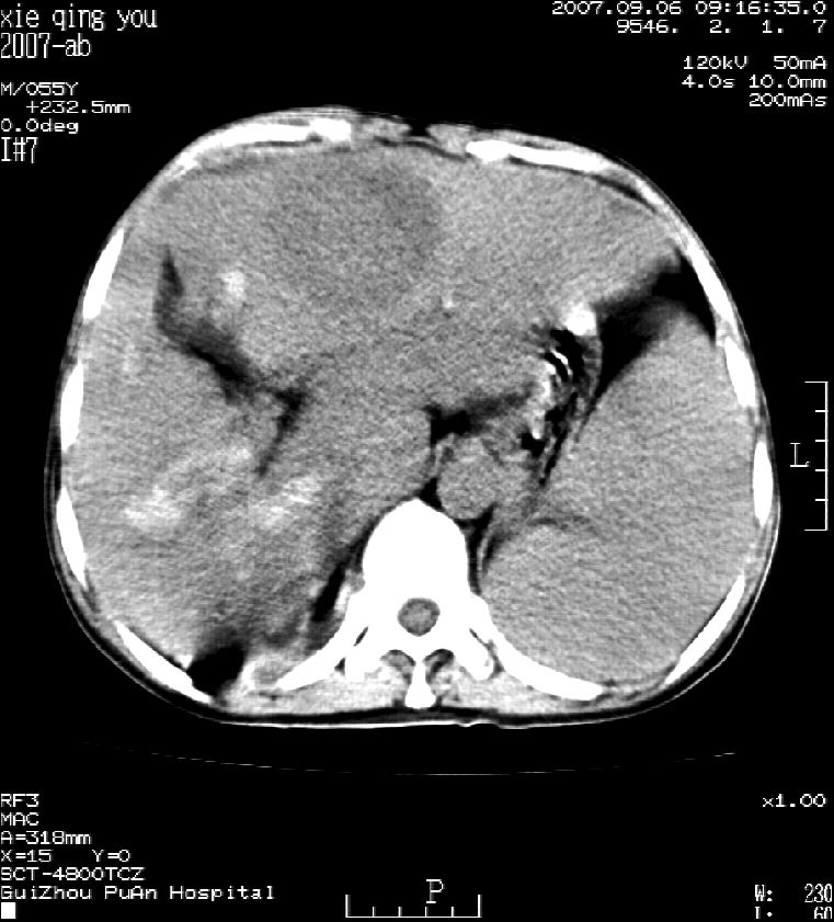
2007年9月片







因是普通ct不能做增强


[本贴已被 jiajie 于 2007-9-6 18:19:43 修改过]

作者: zhangxu5888    时间: 2007-9-7 00:26
这个病灶很有意思,怎么可能没有了呢?我考虑当时很可能是肝脏脓肿(b超示囊肿是有可能误诊的,因为影像表现都是低回声吗?),现在脓肿吸收了,肝脏萎缩,肝裂增宽了.别的肝叶代偿增大,不过现在左内叶的确有个占位,肝内多发结石,脾脏比以前大,不排除有肝硬化可能.建议增强扫描给于定性!!!!
作者: aida88    时间: 2007-9-7 02:09
肝胆胰脾平扫加增强
表现:肝左叶前缘见两个大小约2。6*2.6及3.1*3.6cm类圆形稍等密度结节影,ct值约为53hu,边界尚清;其密度不均匀;增强扫描动脉期结节灶强化较周边肝脏明显,静脉期及延迟期内侧病灶强化等同于周围肝,外侧病灶强化稍低于周围肝。余肝实质内未见异常密度影。脾脏未见增大,密度均匀。胆囊未见异常。胰腺未见异常。未见腹水征。
afp为2.1。



请问一下是什么症状?该怎么治疗?谢谢!
作者: zjzjr    时间: 2007-9-7 05:39
肝硬化\\脾大,肝左叶肝癌可能性大,建议增强扫描.肝内胆管多发性结石.
作者: 宝天曼    时间: 2007-9-7 14:50
肝硬化\\脾大,肝左叶肝癌可能性大,建议增强扫描.肝内胆管多发性结石.
作者: shiqingfa    时间: 2007-9-7 15:16
肝硬化\\脾大,肝左叶肝癌可能性大,建议增强扫描.肝内胆管多发性结石
作者: zyx168    时间: 2007-9-7 15:22
1, 肝硬化,脾大;2,肝左叶肝癌可能性大,建议增强扫描.3,肝内胆管多发性结石.
作者: 王仕学    时间: 2007-9-7 16:53
建议增强扫描.排除肝癌.
作者: wj2039    时间: 2007-9-7 18:19
1, 肝硬化,脾大;2,肝左叶肝癌可能性大,建议增强扫描.3,肝内胆管多发性结石.
作者: 清清楚楚    时间: 2007-9-7 20:08
支持4楼意见
作者: 拾荒者    时间: 2007-9-7 20:35
肝硬化\\脾大,肝左叶肝癌可能性大,建议增强扫描.肝内胆管多发性结石.  
   

至于肝右叶病灶为什么消失只有结合治疗史综合考虑。
作者: jsgdoctor    时间: 2007-9-7 21:43
考虑肝内胆管多发结石引起的肝内局部炎症,这样可以解释2005年肝右叶病灶的吸收和左叶新病灶.
作者: zyyzzy    时间: 2007-9-7 23:39
肝硬化、脾大、肝内胆管多发结石。肝左叶低密度占位。建议增强扫描.排除肝癌
作者: 青莲居士    时间: 2007-9-8 04:59
1, 肝硬化,脾大;
2,肝左叶肝癌可能性
作者: xulianj    时间: 2007-9-8 05:22
肝内胆管多发性结石;肝硬化脾肿大;肝左叶肝癌可能性大,建议增强。
作者: dyqct    时间: 2007-9-8 23:26
标题: 回复:ct9646:男 55岁 反复上腹痛1年,请老师们赐教,肝脏
以下是引用zjzjr在2007-9-6 21:39:00的发言:[br]肝硬化\\脾大,肝左叶肝癌可能性大,建议增强扫描.肝内胆管多发性结石.

支持!!




欢迎光临 医影在线 (http://bbs.radida.com/bbs/) Powered by Discuz! X3.2