医影在线

标题: CT9647: 男性,27,发热10天, [打印本页]

作者: 网事随风    时间: 2007-9-6 23:46
标题: CT9647: 男性,27,发热10天,
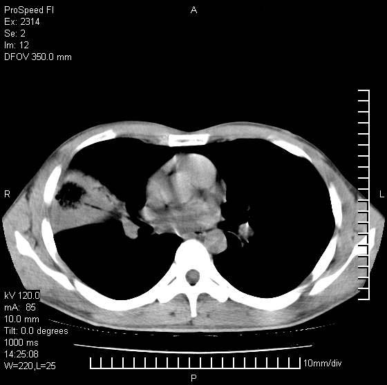
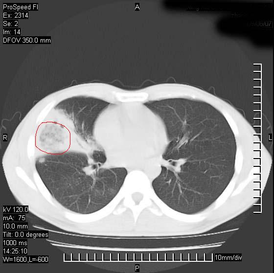
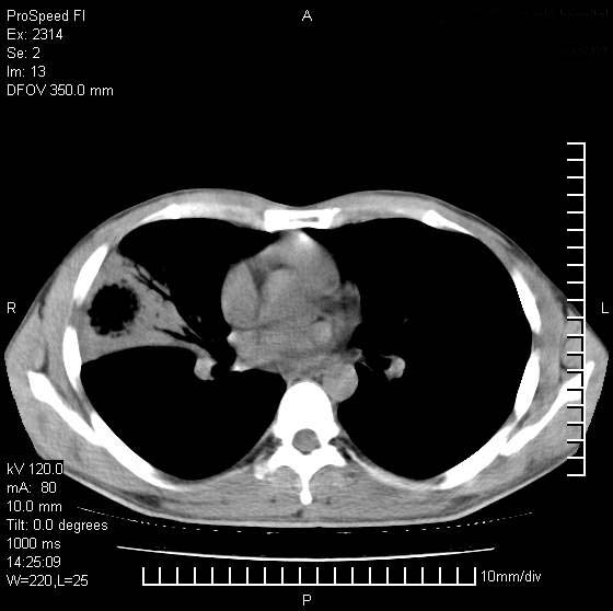
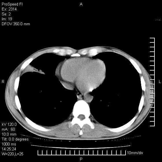
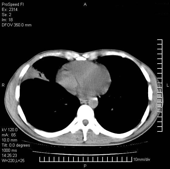
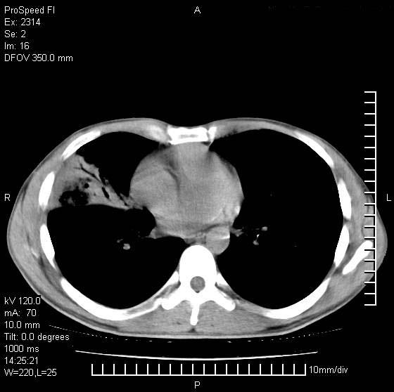
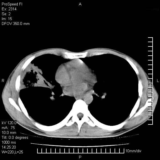
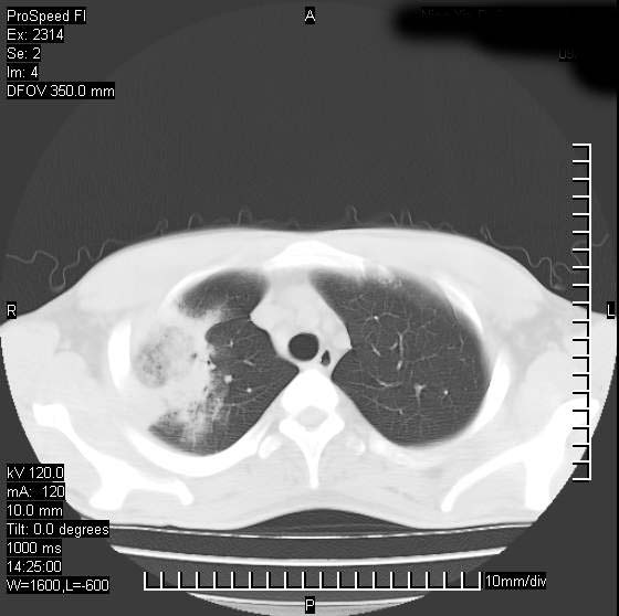
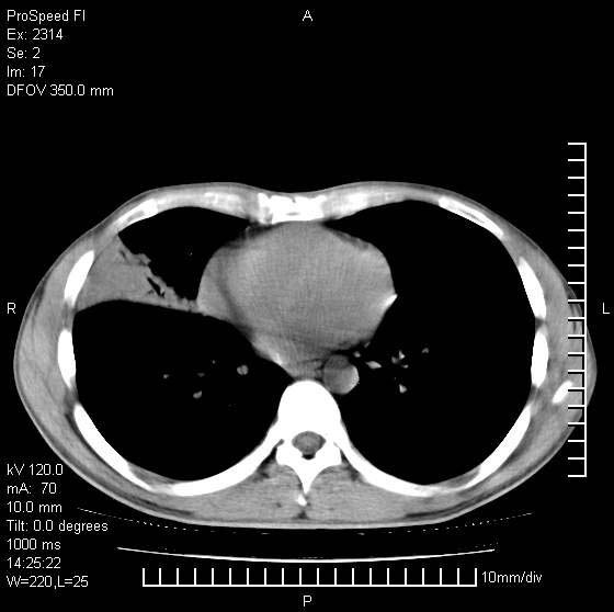
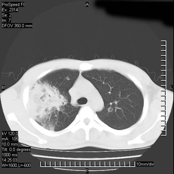
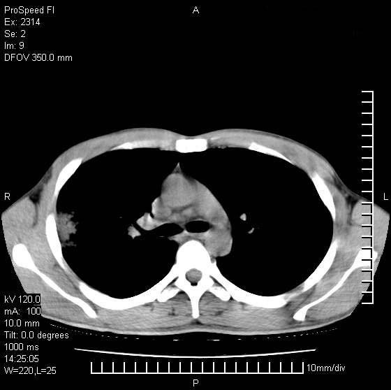
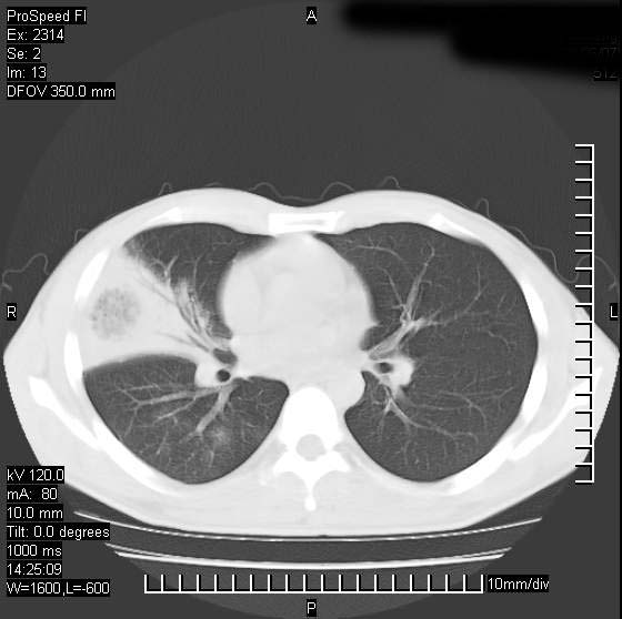
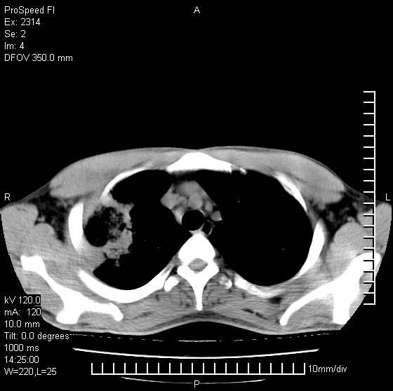
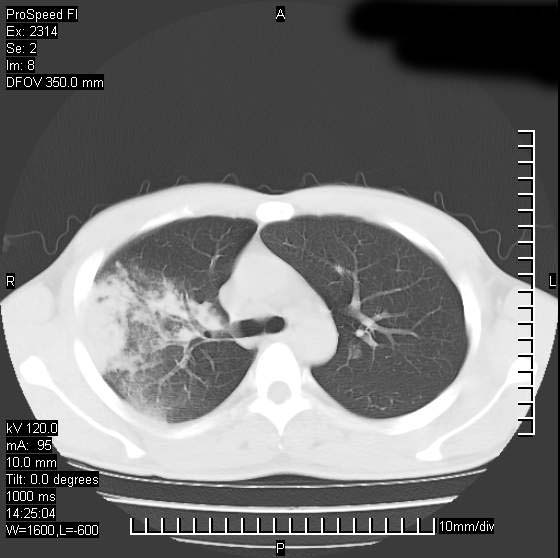
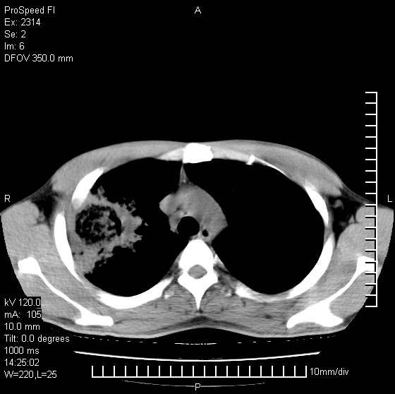
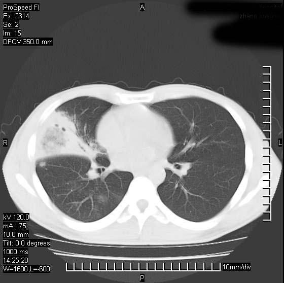
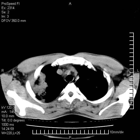
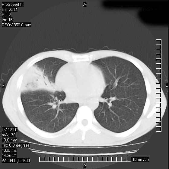
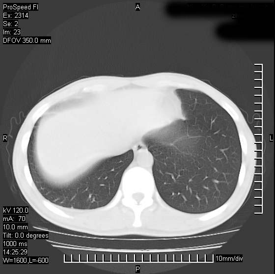
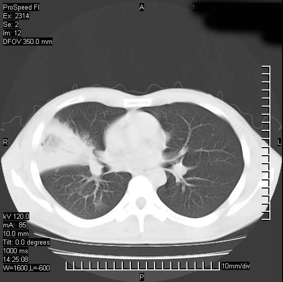
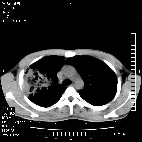
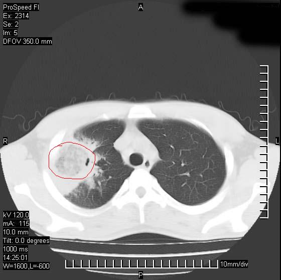
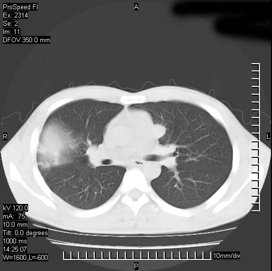
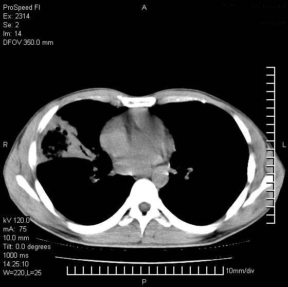
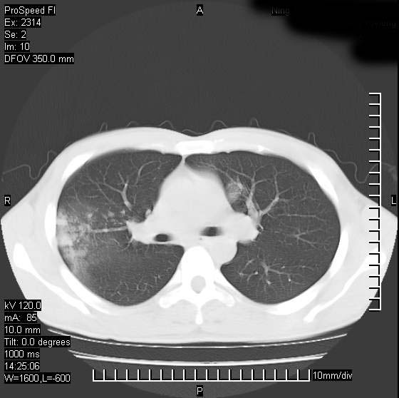
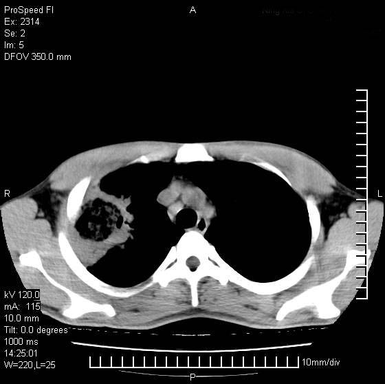
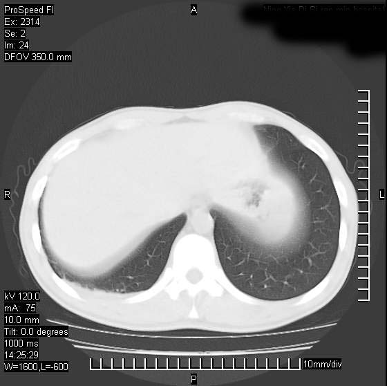
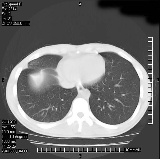
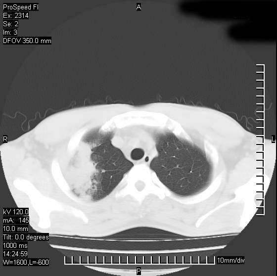
男性,再生障碍性贫血,入院前发热10天,最高40c,右侧胸痛,外院ct示右上,中肺边缘模糊的球性影(就是我现在图中标示的范围),考虑炎症,在我院使用头孢呋辛,洛美沙星10天,高烧消退,自感下午稍有发热,但今天ct示右上,中肺病灶明显扩大,还是考虑炎症,看其中的球型影是否霉菌感染??,是否能排除结核?














































[本贴已被 jiajie 于 2007-9-6 18:21:01 修改过]

作者: zhangxu5888    时间: 2007-9-7 00:02
很有可能是霉菌感染?结核可以不考虑的
作者: clj20    时间: 2007-9-7 00:16
1\\化脓性肺炎;2\\干酪性肺炎不排除
作者: 医影常客    时间: 2007-9-7 00:56
化脓性肺炎 霉菌性待排
作者: 天南地北    时间: 2007-9-7 02:20
考虑肺脓疡
作者: 卜一    时间: 2007-9-7 02:21
右肺中叶外侧段病变,上缘界限不清,下缘锐利,以段性发病为主,内见巨大空洞及空洞内容物,结合病史首先考虑:化脓性肺炎。不除外霉菌感染!
作者: kbzyycm    时间: 2007-9-7 02:38
脓性肺炎 霉菌性待排建议治疗后复查
作者: 光线    时间: 2007-9-7 02:40
考虑肺脓肿。
作者: zoujunhui1977    时间: 2007-9-7 03:42
肺脓肿,伴双肺播散
作者: 江尾海头    时间: 2007-9-7 04:08
考虑霉菌感染.理由1\\有临床基础疾病,2\\有坏死的空腔,其内可见软组织影.
作者: wansheng    时间: 2007-9-7 04:39
考虑化脓性肺炎;
作者: liuzili    时间: 2007-9-7 05:07
右上肺肺脓肿可能性大,干酪性肺炎不排除.
作者: 余辉    时间: 2007-9-7 05:11
支持考虑真菌感染,内部密度低些,且与外壁有分离,不符合肺脓肿表现,但最好有前片对比,
作者: duanhui007    时间: 2007-9-7 05:17
考虑肺结核
作者: zjzjr    时间: 2007-9-7 05:42
支持化脓性肺炎.
作者: sbf852081    时间: 2007-9-7 05:59
化脓性肺炎,霉菌感染待排除。继续抗感染治疗后复查。
作者: HOU-WG    时间: 2007-9-7 13:53
支持化脓性肺炎并霉菌感染。
作者: jssqcdm    时间: 2007-9-7 14:49
考虑霉菌感染.
作者: 宝天曼    时间: 2007-9-7 14:53
考虑霉菌感染.理由1\\有临床基础疾病,2\\有坏死的空腔,其内可见软组织影.
作者: shiqingfa    时间: 2007-9-7 15:11
考虑肺脓肿
作者: zyx168    时间: 2007-9-7 15:19
考虑肺脓肿。
作者: 沙漠骆驼    时间: 2007-9-7 16:22
1 肺脓肿.  2 干酪性肺炎不除外. 3 必要可做活检.
作者: 王仕学    时间: 2007-9-7 17:04
首先考虑炎症,不排除霉菌感染的可能.
作者: sn4187189    时间: 2007-9-7 17:25
右肺中叶外侧段病变,上缘界限不清,下缘锐利,以段性发病为主,内见巨大空洞及空洞内容物,结合病史首先考虑:化脓性肺炎。不除外霉菌感染!
作者: wj2039    时间: 2007-9-7 18:23
支持化脓性肺炎并霉菌感染
作者: jsmctmri    时间: 2007-9-7 18:50
片状高密度影内见空洞影,内可见球形软组织密度影,并有新月征,考虑霉菌感染.
作者: 清清楚楚    时间: 2007-9-7 20:12
考虑肺脓肿.支持
作者: 同    时间: 2007-9-7 22:01
考虑肺脓肿可能
作者: dglq    时间: 2007-9-7 22:23
应考虑结核可能性
作者: zyyzzy    时间: 2007-9-7 22:43
右肺中叶外侧段病变,上缘界限不清,下缘锐利,以段性发病为主,内见巨大空洞及空洞内容物,结合病史首先考虑:化脓性肺炎。不除外霉菌感染!
支持~!~
作者: 拾荒者    时间: 2007-9-8 06:54
首先考虑炎症,不排除合并霉菌感染的可能。
作者: dyqct    时间: 2007-9-8 23:24
支持右肺上叶、中叶外侧段节段性肺炎伴脓肿形成。




欢迎光临 医影在线 (http://bbs.radida.com/bbs/) Powered by Discuz! X3.2