医影在线

标题: X2701:男,60岁,胸痛一周。求助,请帮忙看看, [打印本页]

作者: 361275969    时间: 2007-9-7 20:08
标题: X2701:男,60岁,胸痛一周。求助,请帮忙看看,
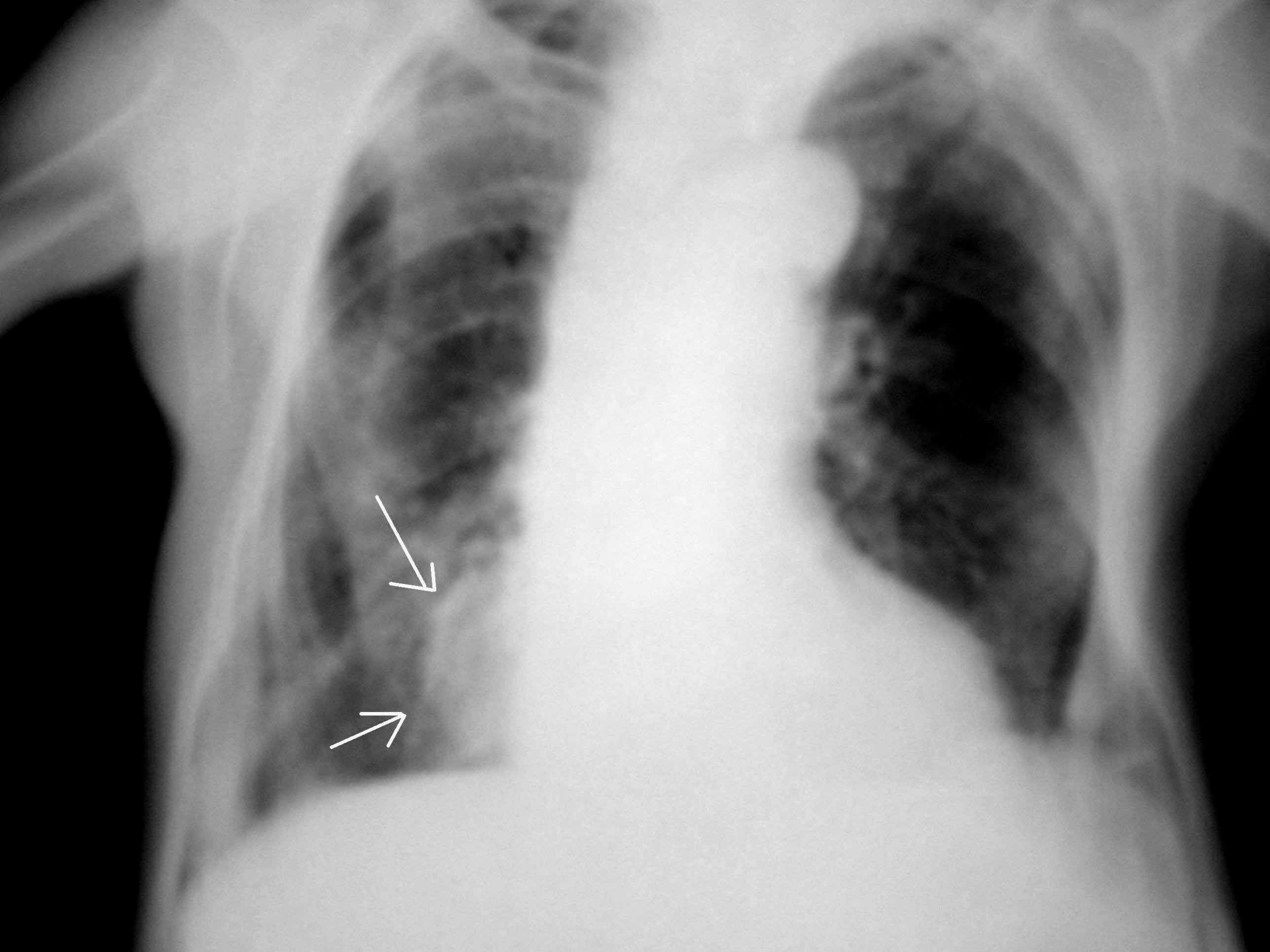
男,60岁,胸痛一周。箭头所示是右心还是异常影?是病变的话会是什么?透视机坏了观察不了搏动情况,我建议病人加照侧位但还没过来照。请各位帮忙看看,谢谢。


[本贴已被 jiajie 于 2007-9-7 19:28:02 修改过]

作者: cq190277737    时间: 2007-9-7 20:32
右心
作者: liaizhi    时间: 2007-9-7 22:14
病灶影,(若右心,心腰无隆起)体位不标准。
作者: ml2007    时间: 2007-9-7 22:27
病灶影
作者: 火中金    时间: 2007-9-7 22:40
右下肺野的病灶(和/或纵隔)
作者: darrenzhang    时间: 2007-9-7 23:39
像病灶影
作者: longshe07    时间: 2007-9-8 01:42
不会是右心  

等病人来 最好ct平扫下  侧位不好定性  

等你的消息
作者: 天南地北    时间: 2007-9-8 02:02
不会是右心  

等病人来 最好ct平扫下
作者: rener    时间: 2007-9-8 03:04
ct检查
作者: ljchenshiying    时间: 2007-9-8 03:25
不是右心,做ct检查。
作者: 岚儿    时间: 2007-9-8 03:41
胸廓不对称,脊柱似向右侧弯,建议ct.
作者: zdwys    时间: 2007-9-8 03:56
不是右心,还是ct吧
作者: 陈正林    时间: 2007-9-8 04:05
不是右心,做ct检查。
作者: liuzili    时间: 2007-9-8 05:49
建议胸透或作ct,不要猜谜语.
作者: cqzxm1984    时间: 2007-9-8 06:21
病灶影
作者: sunnydxx2000    时间: 2007-9-8 06:36
我认为占位可能性大
作者: zxczxc    时间: 2007-9-8 07:34
此病人胸廓有畸形,不考虑病变,
可能为降主动脉延长迂曲所致。
作者: qjg1040    时间: 2007-9-8 08:03
可能为降主动脉延长迂曲所致
作者: dyqct    时间: 2007-9-8 17:28
脊柱侧弯。建议加照侧位或ct进一步检查。
作者: yuebin    时间: 2007-9-8 19:38
迂曲降a影.
作者: dyhhxq    时间: 2007-9-8 19:43
食道吞钡及ct检查。。。。不知道有没有做胃上拉手术?
作者: zzxzzx4142    时间: 2007-9-8 20:22
觉得是肺上的病灶!
作者: ydx_74    时间: 2007-9-9 00:34
不是占位,纵隔畸形
作者: sq7600    时间: 2007-9-9 01:09
标题: 回复:x2701:男,60岁,胸痛一周。求助,请帮忙看看,
以下是引用zxczxc在2007-9-7 23:34:00的发言:[br]此病人胸廓有畸形,不考虑病变,[br]可能为降主动脉延长迂曲所致。

作者: 张影    时间: 2007-9-9 01:33
看样子不是病灶,不过影像差,闭气没闭好,建议再照胸部正侧位.但要用短时间、大毫安和高一点千伏。
作者: shiqingfa    时间: 2007-9-9 03:25
脊柱侧弯。建议加照侧位或ct进一步检查
作者: 小红帽    时间: 2007-9-9 03:57
不像是右心,考虑占位,建议ct检查。
作者: wjtwjt    时间: 2007-9-9 05:05
首先,建议摄右侧位胸片;
作者: wy232326    时间: 2007-9-9 05:57
建议胸透或作ct
作者: 海螺    时间: 2007-9-9 06:20
不象是右心
作者: 寻芳者    时间: 2007-9-9 08:01
小心这类病人,必须重照正侧位/透视,,,,,,,,,,,,,,,,,,
作者: liuhongjun01    时间: 2007-9-9 12:43
作个ct好了
作者: yuhongjun    时间: 2007-9-9 14:01
此病人胸廓有畸形,不考虑病变,
可能为降主动脉延长迂曲所致。
作者: g2001131    时间: 2007-9-9 17:31
作个ct好了
作者: jinning    时间: 2007-9-9 18:43
做ct检查。
作者: zhangkening    时间: 2007-9-9 23:40
也有可能是心包脂肪垫.
作者: 清清楚楚    时间: 2007-9-10 02:24
最好ct平扫下
作者: zhw974247    时间: 2007-9-10 04:17
此病人胸廓有畸形,不考虑病变,
可能为降主动脉延长迂曲所致。
作者: 仝春光    时间: 2007-9-10 07:41
建议ct。考虑纵隔病变可能性大
作者: zjzjr    时间: 2007-9-10 16:55
脊柱侧弯。建议加照侧位或ct进一步检查。
作者: 450344989    时间: 2007-9-10 23:53
像病灶影:局限性肺不张?球形肺炎?
作者: hexue    时间: 2007-9-11 04:40
肺内病变
作者: bjj12345678    时间: 2007-9-11 04:44
考虑病灶!!其形态不太符合右心缘!
作者: lww2005    时间: 2007-9-11 07:21
建议胸透或作ct
作者: 吴文利    时间: 2007-9-12 18:09
不好说,应该先透视相结合
作者: wqgui    时间: 2007-10-10 06:16
做ct帮助诊断
作者: js63461800    时间: 2007-10-10 08:38
隔离症?
作者: jinguoji    时间: 2007-11-28 18:11
考虑病灶,形态不太符合右心缘,建议ct检查。
作者: 陈金    时间: 2007-11-28 19:03
脂肪瘤
作者: mujianbao    时间: 2013-4-25 17:05
建议CT检查




欢迎光临 医影在线 (http://bbs.radida.com/bbs/) Powered by Discuz! X3.2