
















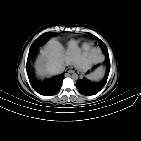
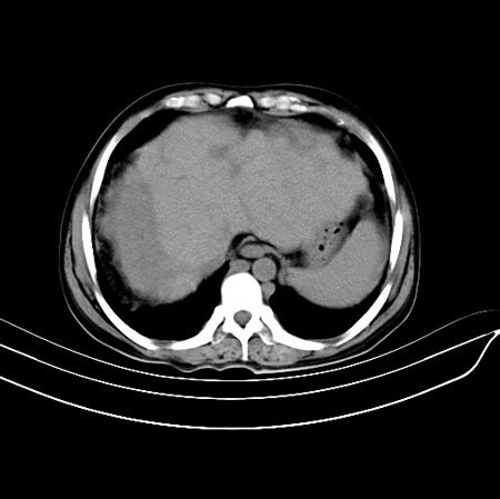
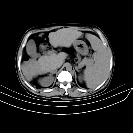
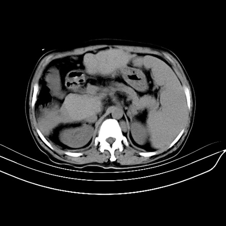
以下是引用余辉在2007-9-7 19:40:00的发言:[br]肝硬化也比较容易伴发脂肪肝,低密度区密度大体较均匀,且边界较清楚,也符合局灶性脂肪肝表现,不排肝癌,是要增强。
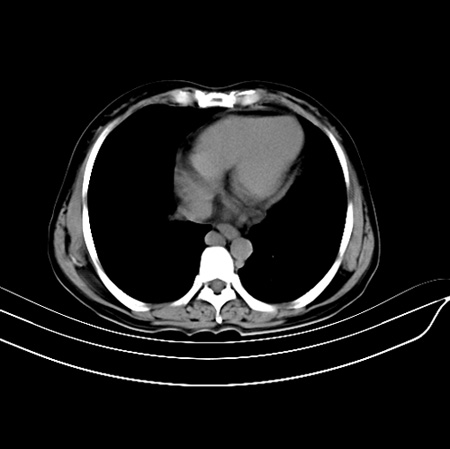
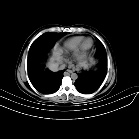
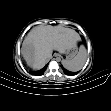
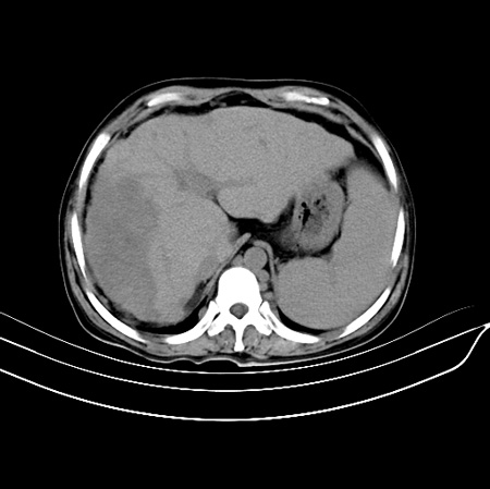
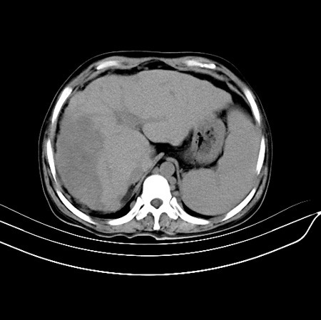
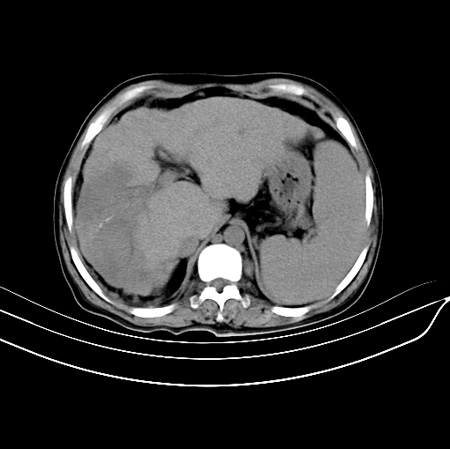
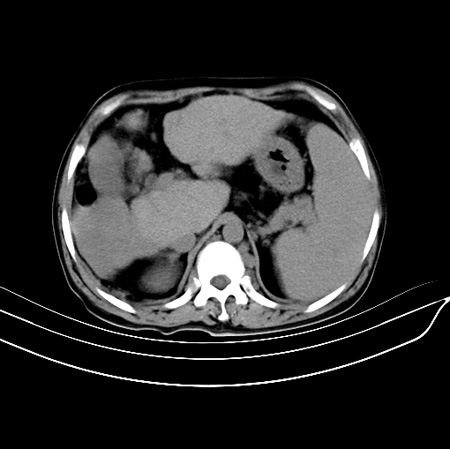
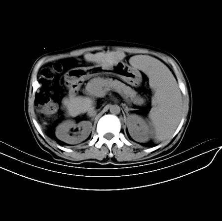
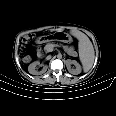
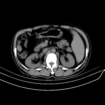
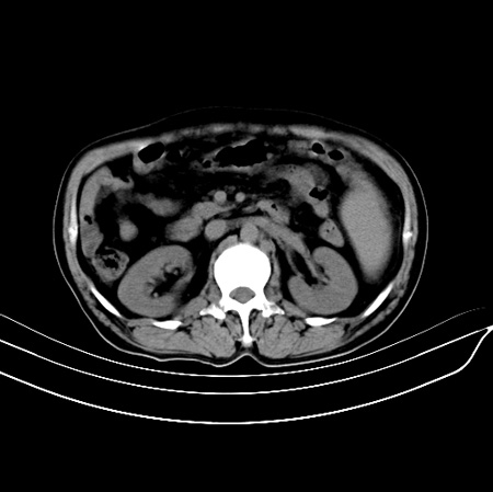
以下是引用zhangxu5888在2007-9-7 22:31:00的发言:[br]1、肝硬化,食管 胃底及奇静脉半奇静脉曲张;2、脾脏肿大; 3、肝右叶的病灶呈锲性改变,内可见条片状钙化,边界清晰,密度明显低于周围正常肝组织,我觉得肝癌可能性不是很大, 同意楼上观点,有可能是栓塞,建议增强.
以下是引用余辉在2007-9-7 19:40:00的发言:[br]肝硬化也比较容易伴发脂肪肝,低密度区密度大体较均匀,且边界较清楚,也符合局灶性脂肪肝表现,不排肝癌,是要增强。
以下是引用余辉在2007-9-7 19:40:00的发言:[br]肝硬化也比较容易伴发脂肪肝,低密度区密度大体较均匀,且边界较清楚,也符合局灶性脂肪肝表现,不排肝癌,是要增强。
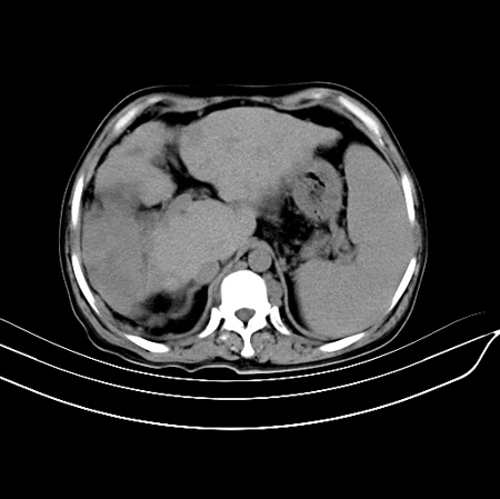
以下是引用江尾海头在2007-9-7 19:01:00的发言:[br]肝叶比例失调,肝边缘高低不平,尾状叶增大,肝裂增宽。肝右叶见较大密度减低影,边缘欠清。脾脏明显增大,胃底及奇静脉半奇静脉曲张。胆囊未见明显显示。 考虑:1、肝癌。2、肝硬化伴脾大静脉曲张。
以下是引用余辉在2007-9-7 19:40:00的发言:[br]肝硬化也比较容易伴发脂肪肝,低密度区密度大体较均匀,且边界较清楚,也符合局灶性脂肪肝表现,不排肝癌,是要增强。
| 欢迎光临 医影在线 (http://bbs.radida.com/bbs/) | Powered by Discuz! X3.2 |