


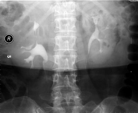
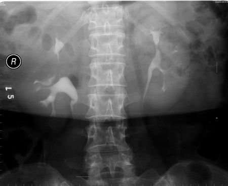
以下是引用潘建华在2005-2-3 14:54:51的发言:[br]只能说是右上占位[br][br]
以下是引用向医生在2005-2-3 16:50:59的发言:[br]右侧肾盂上部及上肾盏受压,压迹呈弧形,边缘光滑,肾盏无侵蚀现象,局部肾轮廓似有增大。[br]意见:右肾上极占位。
以下是引用lkc8963在2005-2-9 20:43:32的发言:[br]支持右上极良性占位性病变.右肾区无钙化,局部无明显突出,肾盏受压变形,受压肾盏间似见片状造影剂充盈,功能正常,可能为囊肿或肾盏憩室,因为病变与收集系统相通.
| 欢迎光临 医影在线 (http://bbs.radida.com/bbs/) | Powered by Discuz! X3.2 |