医影在线
标题: CT9676:女,34岁,腰5骶1右侧神经根增粗?请各位老师会诊! [打印本页]
作者: 愚人佳好 时间: 2007-9-10 01:55
标题: CT9676:女,34岁,腰5骶1右侧神经根增粗?请各位老师会诊!
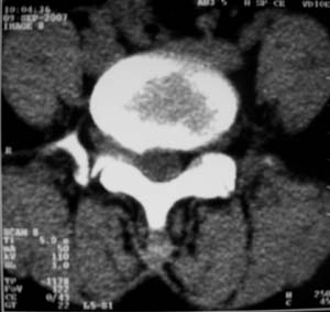
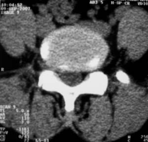
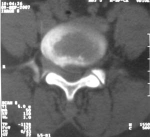
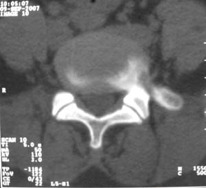
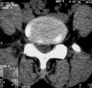
女,34岁,腰背部及右下肢酸痛两年余.






[本贴已被 jiajie 于 2007-9-9 18:24:06 修改过]
作者: chenglinhunan 时间: 2007-9-10 02:18
象椎间盘突出?
作者: sdhct 时间: 2007-9-10 02:45
神经源性肿瘤可能性大
作者: 尚峰 时间: 2007-9-10 03:34
像髓核游离,作mri吧!别瞎猜了!
作者: zhangxu5888 时间: 2007-9-10 03:37
神经源性肿瘤可能性大(以神经鞘瘤?),应该侧下ct值,建议mr扫描
作者: 朱亮 时间: 2007-9-10 03:55
建议薄层扫描,还应考虑椎间盘突出
作者: zjzjr 时间: 2007-9-10 04:02
支持椎间盘突出(椎间孔型)
作者: zhangkai 时间: 2007-9-10 04:06
标题: 回复:ct9676:女,34岁,腰5骶1右侧神经根增粗?请各位老师会诊!
以下是引用朱亮在2007-9-9 19:55:00的发言:[br]建议薄层扫描,还应考虑椎间盘突出
作者: xulianj 时间: 2007-9-10 04:09
考虑椎间盘突出,建议作mri。
作者: 276894491 时间: 2007-9-10 04:37
神经源性肿瘤可能性大;1椎间孔较对侧明显大,2相应层面似见椎间盘边缘.建议作mri.
作者: 同 时间: 2007-9-10 04:43
支持椎间盘突出.
作者: liaizhi 时间: 2007-9-10 04:53
标题: 回复:ct9676:女,34岁,腰5骶1右侧神经根增粗?请各位老师会诊!
以下是引用zjzjr在2007-9-9 20:02:00的发言:[br]支持椎间盘突出(椎间孔型)
作者: 天南地北 时间: 2007-9-10 05:01
标题: 回复:ct9676:女,34岁,腰5骶1右侧神经根增粗?请各位老师会诊!
以下是引用zjzjr在2007-9-9 20:02:00的发言:[br]支持椎间盘突出(椎间孔型)
作者: ydx_74 时间: 2007-9-10 05:09
支持椎间盘突出
作者: jsgdoctor 时间: 2007-9-10 05:10
支持椎间盘突出(椎间孔型)
作者: 拾荒者 时间: 2007-9-10 05:38
支持椎间盘突出(椎间孔型) 。
作者: liuzili 时间: 2007-9-10 05:45
椎间盘突出.
作者: qiushi 时间: 2007-9-10 05:58
神经源性肿瘤?突出?椎间盘扫描的层厚太厚了。建议mri或薄层扫描
作者: 宝天曼 时间: 2007-9-10 05:59
支持椎间盘突出(椎间孔型)
作者: 愚人佳好 时间: 2007-9-10 06:01
标题: 回复:ct9676:女,34岁,腰5骶1右侧神经根增粗?请各位老师会诊!

对比观察

[emb10]为什么说是椎间盘病变呢?还有椎间盘脱出有脱向头端方向的吗?
[本贴已被 愚人佳好 于 2007-9-9 22:05:07 修改过]
[本贴已被 愚人佳好 于 2007-9-9 22:06:13 修改过]
[本贴已被 愚人佳好 于 2007-9-9 22:10:50 修改过]
作者: luochengyi 时间: 2007-9-10 06:07
神经源性肿瘤?
作者: tanjiuzhe313 时间: 2007-9-10 07:02
腰间盘突出是有的,右侧椎间孔增大,还是做个mri吧。
作者: 狙击手 时间: 2007-9-10 07:04
支持椎间盘突出(椎间孔型)
作者: qjg1040 时间: 2007-9-10 07:06
右侧椎间孔显宽,考虑为体位不对称所致.扫描层厚偏厚了,考虑孔间型间盘突出.
作者: 卜一 时间: 2007-9-10 12:51
支持椎间盘突出(椎间孔型)!
作者: cxj00 时间: 2007-9-10 16:49
支持椎间盘突出,实在不放心就mri。
作者: jinning 时间: 2007-9-10 17:20
支持椎间盘突出,并椎管狭窄
作者: 快乐男生 时间: 2007-9-10 18:39
作mri
作者: 南沙 时间: 2007-9-10 19:36
椎间盘突出
作者: zxczxc 时间: 2007-9-10 22:29
不好说,请高手指点。
作者: dyqct 时间: 2007-9-10 23:35
支持椎间盘突出(椎间孔型)。
作者: qiuleiyu 时间: 2007-9-11 00:58
椎间盘突出可能大,建议mri除外神经源性肿瘤.
作者: 尹定尧 时间: 2007-9-13 03:36
椎间盘突出可能大,建议mri除外神经源性肿瘤
| 欢迎光临 医影在线 (http://bbs.radida.com/bbs/) |
Powered by Discuz! X3.2 |