医影在线
标题: CT9678:胸部强化扫描,请讨论!(有结果) [打印本页]
作者: guzhongliangddd 时间: 2007-9-10 03:44
标题: CT9678:胸部强化扫描,请讨论!(有结果)
(结果公布:http://www.radida.com/bbs/forum.php?mod=viewthread&tid=30750)
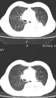
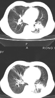
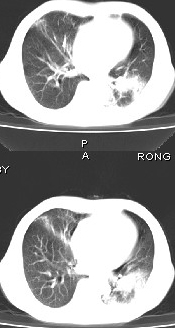
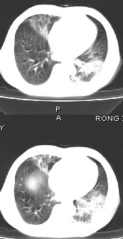
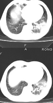
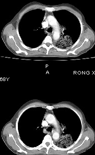
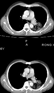
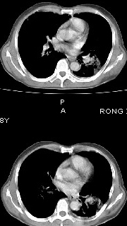
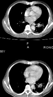
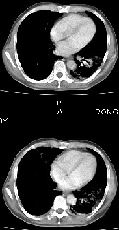
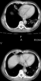
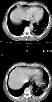
男68岁,反复发热、咳嗽,咯痰1月,曾有咯血史,双肺闻及呼吸音增粗。


























对不起忘了把图象大小修改!
[本贴已被 jiajie 于 2007-10-28 22:41:16 修改过]
作者: 朱亮 时间: 2007-9-10 03:49
炎症
作者: zhangkai 时间: 2007-9-10 04:09
先考虑肺部感染性病变,不排除阻塞所致。
作者: luoyanmin 时间: 2007-9-10 04:14
阻塞性肺炎
作者: zhangxu5888 时间: 2007-9-10 04:18
应该考虑为炎性病变.建议治疗后复查.
作者: 黑白光影 时间: 2007-9-10 04:24
炎性感染病变.
作者: 同 时间: 2007-9-10 04:37
考虑炎症,抗炎后复查.
作者: liaizhi 时间: 2007-9-10 04:42
1考虑结核可能性大。(病灶多性形改变。内有点状钙化灶,左侧胸膜增厚粘连钙化。)2肺泡癌不除。
作者: ydx_74 时间: 2007-9-10 05:05
考虑炎症,
作者: jsgdoctor 时间: 2007-9-10 05:16
建议抗炎后再说,肿瘤不能排除.
作者: liuzili 时间: 2007-9-10 05:42
感染性病变,建议抗炎后复查.
作者: wangq 时间: 2007-9-10 05:43
先考虑肺部感染性病变,不排除阻塞所致。
作者: zjzjr 时间: 2007-9-10 05:53
支持双肺结核(左侧干酪性肺炎).
作者: 宝天曼 时间: 2007-9-10 06:02
考虑炎症,抗炎后复查.
作者: qiushi 时间: 2007-9-10 06:06
考虑炎症,局部胸膜有增厚,建议抗炎后复查或支气管镜检查
作者: luochengyi 时间: 2007-9-10 06:12
考虑炎症,抗炎后复查.
作者: 拾荒者 时间: 2007-9-10 06:13
左肺上叶尖后段及下叶多发实变阴影,内见支气管充气征,段以上支气管尚通畅,肺门区未见软组织肿块影,结合病人有反复发热病史,首先考虑感染性病变(干酪性肺炎不能排除),建议抗炎治疗后复查或结合纤支镜检查。
作者: zsl6918 时间: 2007-9-10 06:21
双肺炎性病变,结核可能性大。未见明显肿瘤征象。不除外特殊菌群的感染。
作者: 愚人佳好 时间: 2007-9-10 06:37
左肺上叶尖段及下叶干酪性肺炎可能性大,建议结合临床相关检查.右肺中叶炎症.建议治疗后复查.
作者: 悟空 时间: 2007-9-10 06:47
先天性支扩伴肺发育不良;肺间质纤维化。
作者: 狙击手 时间: 2007-9-10 06:49
考虑结核可能性大。(病灶多性形改变。内有点状钙化灶,左侧胸膜增厚粘连钙化。)支持
作者: nanjing 时间: 2007-9-10 06:59
应该考虑为炎性病变.建议治疗后复查.
作者: guzhongliangddd 时间: 2007-9-10 10:45
该患者在25天前外圆平片见右肺中上肺野大片状影,(治疗不祥,在反复问病史后患者告诉;近一月住在新房内,搞装修),我认为首先考虑是感染,而且过敏性肺炎可能性大。
作者: 卜一 时间: 2007-9-10 12:48
考虑炎症,局部胸膜有增厚,建议抗炎后复查或支气管镜检查,支持!
作者: psh 时间: 2007-9-10 16:50
肺炎(慢性)。
作者: jinning 时间: 2007-9-10 17:17
考虑为炎性病变.建议治疗后复查.
作者: 徐洪俊 时间: 2007-9-10 18:00
右下中央型肺癌伴阻塞性肺炎!
作者: LIAOQIANG 时间: 2007-9-10 18:37
考虑感染性病变(干酪性肺炎不能排除)。
作者: 南沙 时间: 2007-9-10 19:41
双肺炎性病变,结核可能性大。
作者: 悬壶济世 时间: 2007-9-10 21:59
炎性病变
作者: jiangjing 时间: 2007-9-10 22:22
肺部感染,结核待排
作者: zxczxc 时间: 2007-9-10 22:46
左上肺炎症,
左上肺继发型肺结核未除。
作者: dyqct 时间: 2007-9-10 23:27
图像太小了。建议严格抗炎治疗后复查除外肿瘤。
作者: 子期 时间: 2007-9-10 23:32
考虑肺癌伴阻塞性炎症.
作者: jing 时间: 2007-9-11 01:36
考虑肺结核可能性大,不排除阻塞性肺炎
作者: sq7600 时间: 2007-9-11 03:18
考虑肺结核可能性大
作者: 一棵树 时间: 2007-9-11 03:34
右肺中叶左肺下叶感染。
作者: zhanglixian1985 时间: 2007-11-23 23:24
建议严格抗炎治疗后复查除外肿瘤,楼主不要来个马后炮啊,病史该提供清楚!谢谢,楼主!
作者: zhaozilong 时间: 2007-11-23 23:40
应该考虑为炎性病变.建议治疗后复查
作者: jinguoji 时间: 2007-11-28 19:27
结果是过敏性肺炎,谢谢,楼主!
作者: jeanny 时间: 2007-12-14 00:03
建议抗炎后再说,肿瘤不能排除
| 欢迎光临 医影在线 (http://bbs.radida.com/bbs/) |
Powered by Discuz! X3.2 |