医影在线
标题: CT9687: M 56岁,盆腔病变!!! [打印本页]
作者: ailuanfei 时间: 2007-9-11 02:28
标题: CT9687: M 56岁,盆腔病变!!!
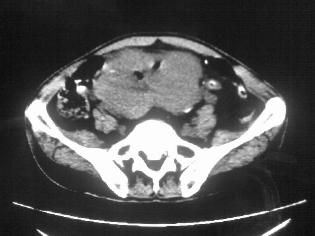
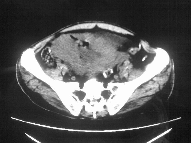
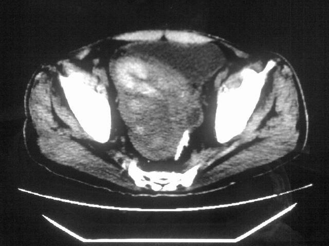
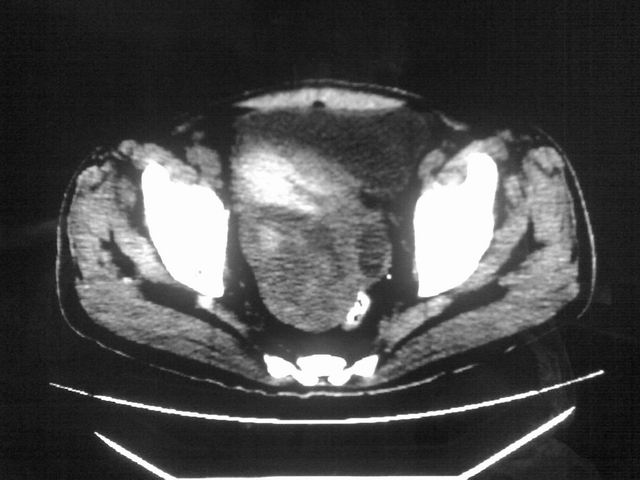
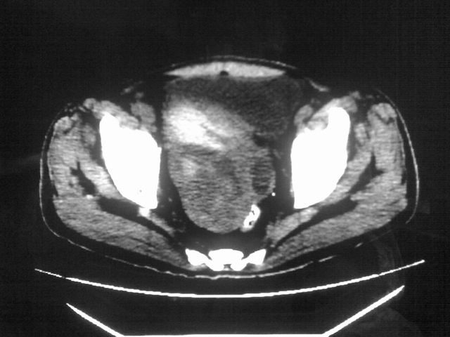
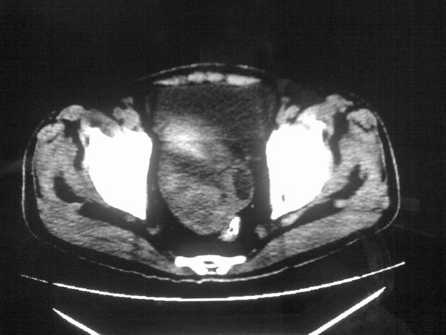
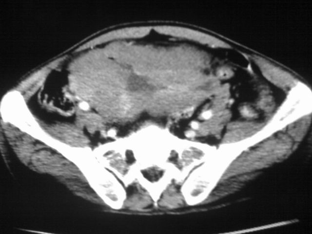
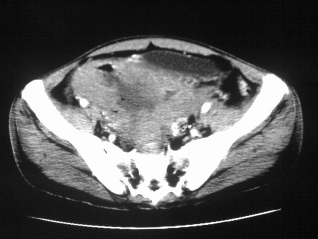
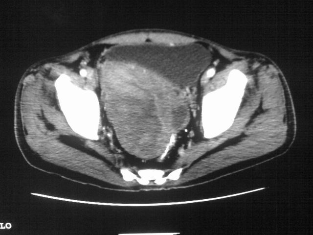
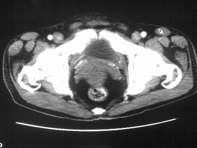
患者m 56岁,盆腔及下腹部胀痛半年,加重1月余,消瘦\中重度贫血.(附:平扫时直肠的高信号为,残留的钡剂).补一下病史:胃镜及纤维结肠镜均无明显异常.
































[本贴已被 jiajie 于 2007-9-10 18:47:41 修改过]
[本贴已被 ailuanfei 于 2007-9-10 19:59:00 修改过]
[本贴已被 ailuanfei 于 2007-9-10 19:59:42 修改过]
作者: gaoshengjiang 时间: 2007-9-11 03:33
乙状结肠癌与周围组织粘连形成包块?建议结肠双对比造影检查。
作者: 一棵树 时间: 2007-9-11 03:38
结肠癌可能,建议肠镜检查。
作者: qiss 时间: 2007-9-11 04:03
前列腺癌或是精囊腺癌可能吗??
作者: jinning 时间: 2007-9-11 04:24
结肠癌可能
作者: zsl6918 时间: 2007-9-11 04:36
小肠淋巴瘤可能性大,不除外恶性间质瘤。
作者: 老爱克斯 时间: 2007-9-11 04:39
首先是病灶的定位,平扫看很象肠管肿瘤但既然纤维结肠镜正常就可以除外结肠病变,增强成不均匀强化,位于右下腹部应该首先考虑回肠末段占位性病变,1淋巴瘤,2间质瘤,3腹膜后神经原肿瘤待除外,
作者: 同 时间: 2007-9-11 04:50
考虑结肠癌可能性大
作者: 王仕学 时间: 2007-9-11 04:58
膀胱后方及直肠前方见巨大混杂密度影,与前列腺相连且向膀胱内突入,精囊腺显示不清;考虑前列腺癌侵犯精囊、膀胱。
作者: xulianj 时间: 2007-9-11 05:01
淋巴瘤或胃肠间质性肿瘤
作者: 拾荒者 时间: 2007-9-11 05:08
标题: 回复:ct9687: m 56岁,盆腔病变!!!
以下是引用老爱克斯新网客在2007-9-10 20:39:00的发言:[br]首先是病灶的定位,平扫看很象肠管肿瘤但既然纤维结肠镜正常就可以除外结肠病变,增强成不均匀强化,位于右下腹部应该首先考虑回肠末段占位性病变,1淋巴瘤,2间质瘤,3腹膜后神经原肿瘤待除外,
作者: jsgdoctor 时间: 2007-9-11 05:23
考虑来源于小肠的间质瘤
作者: zjzjr 时间: 2007-9-11 05:56
首先是病灶的定位,平扫看很象肠管肿瘤但既然纤维结肠镜正常就可以除外结肠病变,增强成不均匀强化,位于右下腹部应该首先考虑回肠末段占位性病变,以间质瘤或淋巴瘤可能性大.,
作者: liaizhi 时间: 2007-9-11 06:06
膀胱及直肠间有不规侧的软组织密度影,内密度不均匀。其内有坏死囊变,前列腺及精囊腺,膀胱后壁受浸。结合病史考虑腹膜后肉瘤可能性大。
作者: dyqct 时间: 2007-9-11 06:15
盆腔恶性肿瘤没问题,为什么结肠镜没发现什么?不解!!
作者: lww2005 时间: 2007-9-11 06:59
考虑来源于小肠的间质瘤
作者: zyyzzy 时间: 2007-9-11 07:00
这样的病如果在结肠的话结肠镜应该能发现。既然结肠镜排除了结肠占位,就考虑淋巴瘤或胃肠间质性肿瘤
作者: nanjing 时间: 2007-9-11 07:29
考虑结肠癌可能性大
作者: power3 时间: 2007-9-11 13:46
支持淋巴瘤或胃肠间质性肿瘤
作者: zhangxu5888 时间: 2007-9-11 16:15
这样的病如果在结肠的话结肠镜应该能发现。既然结肠镜排除了结肠占位,就考虑小肠淋巴瘤或小肠间质性肿瘤恶变?
作者: 宝天曼 时间: 2007-9-12 14:51
考虑结肠癌可能性大
| 欢迎光临 医影在线 (http://bbs.radida.com/bbs/) |
Powered by Discuz! X3.2 |