







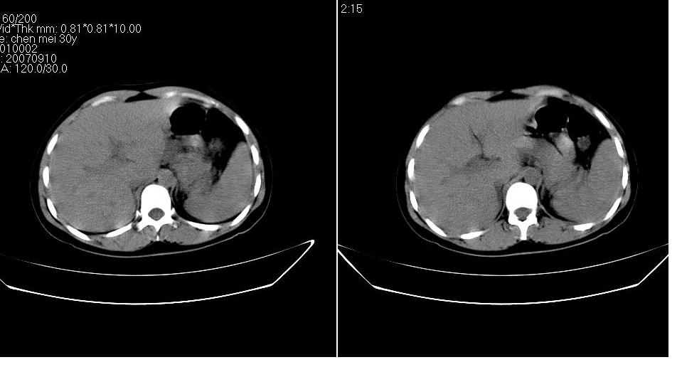
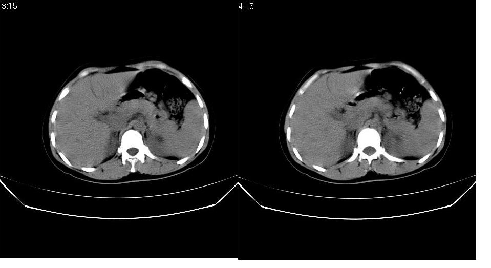
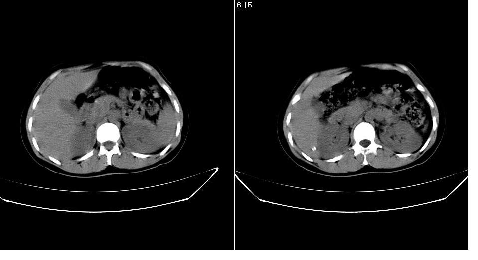
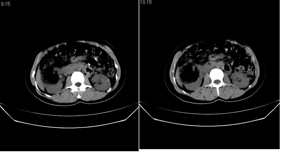
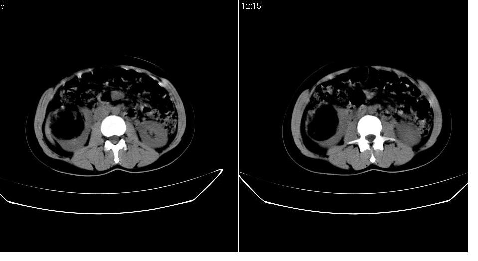
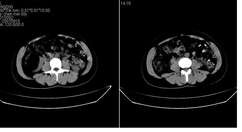
以下是引用求知若渴在2007-9-10 20:08:00的发言:[br]病变以脂肪成分为主,应该是错构瘤。另肝内胆管结石
以下是引用xulianj在2007-9-10 20:51:00的发言:[br]错构瘤,支持。含脂肪成分较多,证明较为成熟。
以下是引用齐原在2007-9-10 20:10:00的发言:[br]病变以脂肪成分为主,应该是错构瘤。另肝内胆管结石
以下是引用王仕学在2007-9-10 21:34:00的发言:[br]有脂肪密度,哪怕是一点点,首先考虑错构瘤。还是增强吧,好说些!
以下是引用求知若渴在2007-9-10 20:08:00的发言:[br]病变以脂肪成分为主,应该是错构瘤。另肝内胆管结石
| 欢迎光临 医影在线 (http://bbs.radida.com/bbs/) | Powered by Discuz! X3.2 |