医影在线
标题: CT9694:男性,37岁。肥胖病人 [打印本页]
作者: fanshl 时间: 2007-9-11 12:53
标题: CT9694:男性,37岁。肥胖病人
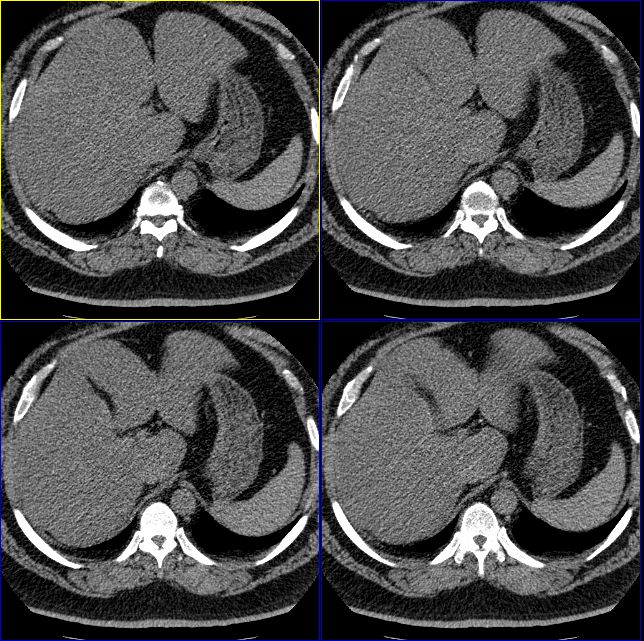
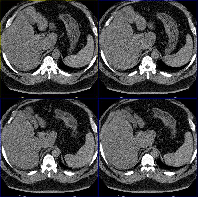
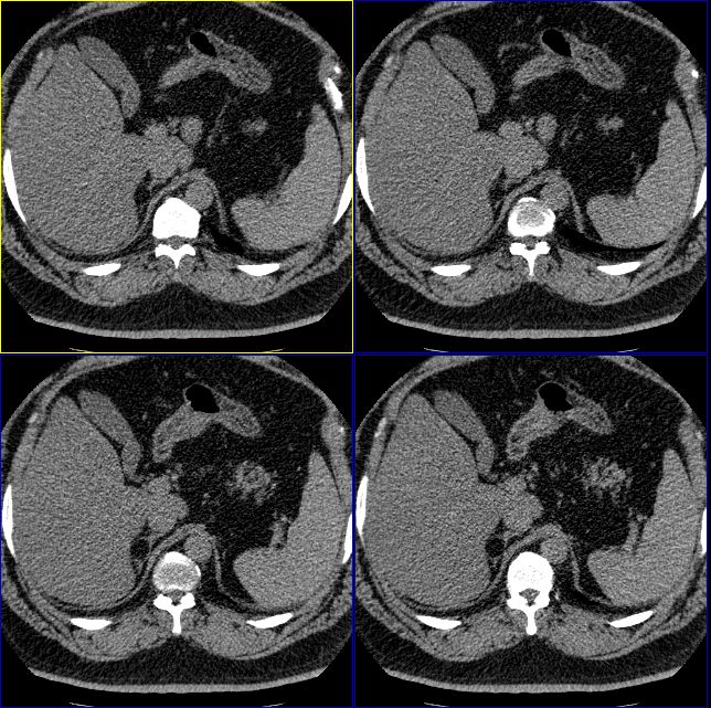
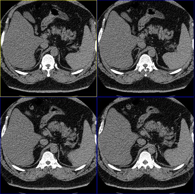
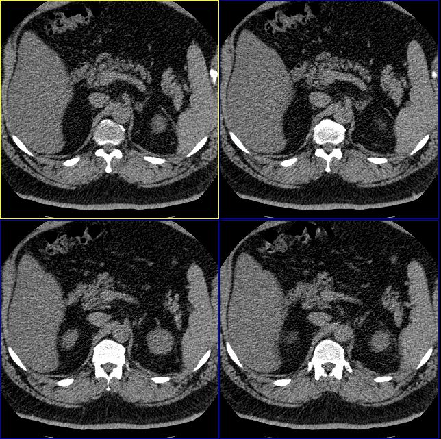
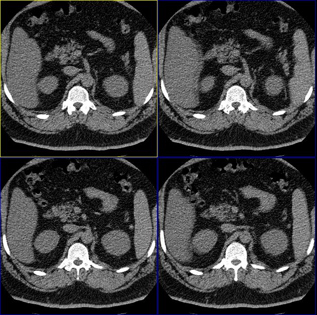
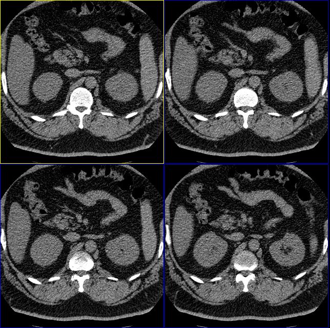
男性,37岁。体型极度肥胖,达300余斤。








[本贴已被 jiajie 于 2007-9-11 6:30:39 修改过]
作者: power3 时间: 2007-9-11 13:24
未见著变
作者: huanying2000abc 时间: 2007-9-11 13:59
脂肪肝
作者: psh 时间: 2007-9-11 15:45
平扫未见异常。
作者: zhangxu5888 时间: 2007-9-11 16:32
脂肪肝,不排除早期肝硬化???
作者: shiqingfa 时间: 2007-9-11 16:40
支持脂肪肝,从图象看脾的密度要高于肝的
作者: qiuleiyu 时间: 2007-9-11 16:42
内外皆是油啊!
作者: 王仕学 时间: 2007-9-11 16:44
肝脏密度普遍减低,从图象看低于脾脏,支持脂肪肝。
作者: pijinsong 时间: 2007-9-11 16:55
脾v扩张、迂曲 脂肪肝,早期肝硬化
作者: zjzjr 时间: 2007-9-11 17:01
脂肪肝
作者: fanshl 时间: 2007-9-11 17:06
标题: 双侧肾上腺没有问题么?
怎么回事啊,难道肾上腺没有问题么?右侧肾上腺有明显的脂肪性类圆形肿物,左侧也觉得有增生性改变。我们诊断为右肾上腺髓样脂肪瘤,左侧肾上腺增生。大家再仔细看看。
[本贴已被 fanshl 于 2007-9-11 9:08:10 修改过]
作者: 狙击手 时间: 2007-9-11 17:19
考虑脂肪肝
作者: 天南地北 时间: 2007-9-11 17:41
支持脂肪肝
作者: qiushi 时间: 2007-9-11 17:59
肝脏密度普遍减低,从图象看低于脾脏,支持脂肪肝。必要时增强扫描
作者: sjh753 时间: 2007-9-11 19:20
脂肪肝是有的,楼主说的右侧肾上腺囊性灶是不是衬出的假象,密度如何,建议测测
作者: mzh123 时间: 2007-9-11 19:30
标题: 回复:ct9694:男性,37岁。肥胖病人
以下是引用shiqingfa在2007-9-11 8:40:00的发言:[br]支持脂肪肝,从图象看脾的密度要高于肝的
作者: luochengyi 时间: 2007-9-11 19:37
脂肪肝
作者: lsmzqf 时间: 2007-9-11 20:03
标题: 回复:ct9694:男性,37岁。肥胖病人
以下是引用zjzjr在2007-9-11 9:01:00的发言:[br]脂肪肝
作者: wuailiang 时间: 2007-9-11 20:41
脂肪肝
作者: 悬壶济世 时间: 2007-9-11 21:15
肾上腺很可能有问题,建议矢状位重建,另外结合肾上腺内分泌测定。左侧增生不能除外。
作者: zyx168 时间: 2007-9-11 21:55
脂肪肝
作者: 52yingxiang 时间: 2007-9-11 22:36
右侧肾上腺好像有一个类圆形的囊性包块,内部密度象是脂肪
1.肾上腺区囊性占位
2.脂肪肝
作者: 同 时间: 2007-9-11 23:40
脂肪肝支持.
作者: dyqct 时间: 2007-9-12 00:28
轻度弥漫性脂肪肝。
作者: 拾荒者 时间: 2007-9-12 06:16
只能考虑有脂肪肝,至于右侧肾上腺“病变”会不会就是内外支间的脂肪组织?
作者: 宝天曼 时间: 2007-9-12 14:37
支持脂肪肝,从图象看脾的密度要高于肝的
| 欢迎光临 医影在线 (http://bbs.radida.com/bbs/) |
Powered by Discuz! X3.2 |