



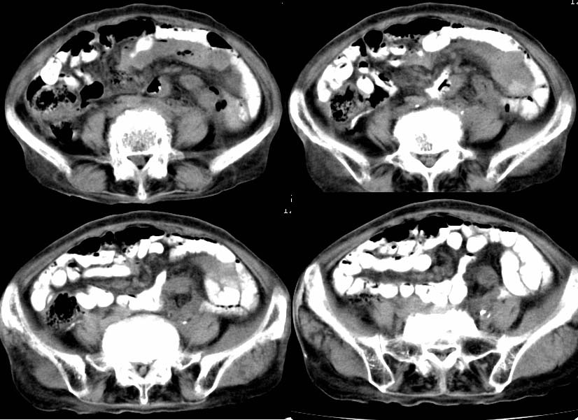
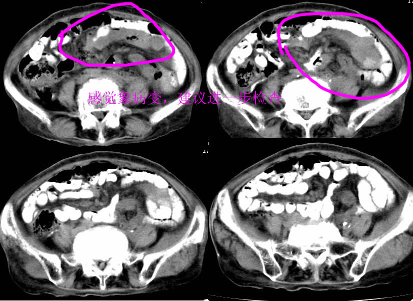
以下是引用zjzjr在2007-9-11 15:27:00的发言:[br]左侧小肠袢软组织影,其内有气体,新生物?建议胃肠造影。

以下是引用nanjing在2007-9-11 16:11:00的发言:[br]以下是引用zjzjr在2007-9-11 15:27:00的发言:[br]左侧小肠袢软组织影,其内有气体,新生物?建议胃肠造影。
以下是引用天南地北在2007-9-11 18:13:00的发言:[br][br]
| 欢迎光临 医影在线 (http://bbs.radida.com/bbs/) | Powered by Discuz! X3.2 |