














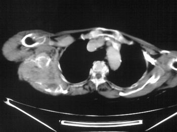
以下是引用dyqct在2007-9-11 16:52:00的发言:[br]支持右肩胛骨恶性肿瘤,性质不好定。
以下是引用dyqct在2007-9-11 16:52:00的发言:[br]支持右肩胛骨恶性肿瘤,性质不好定。
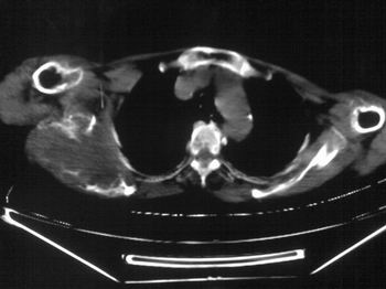
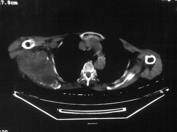
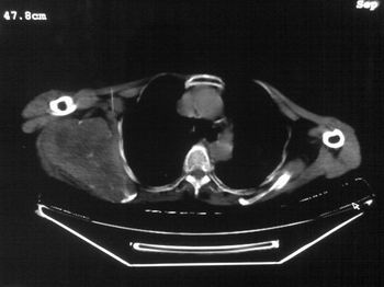
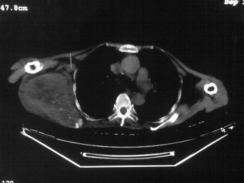
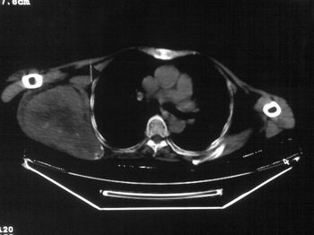
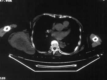
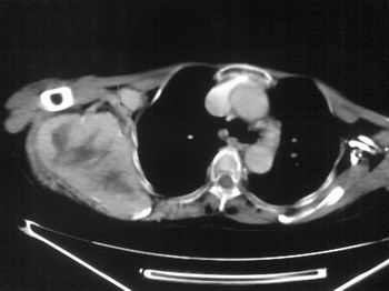
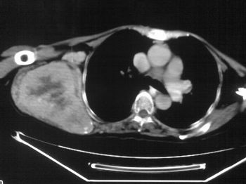
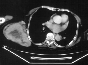
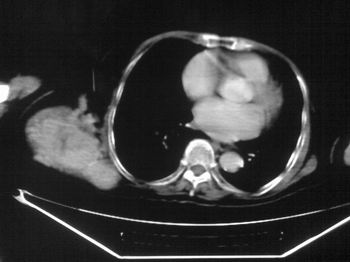
以下是引用zhangxu5888在2007-9-11 16:25:00的发言:[br]有侧肩胛骨溶骨性破坏且见软组织成分,增强软组织强化明显,中央见低密度坏死区!根据病史10年,考虑良性肿瘤恶性变!性质待定!
以下是引用老爱克斯新网客在2007-9-11 18:22:00的发言:[br]应该是良性肿瘤恶变,但因晚期破坏严重不能见到原来肿瘤征象无法判断,
| 欢迎光临 医影在线 (http://bbs.radida.com/bbs/) | Powered by Discuz! X3.2 |