






以下是引用sbf852081在2007-9-11 19:05:00的发言:[br]对不起,没发现病变。
以下是引用wangzhengyuan在2007-9-11 18:43:00的发言:[br]......怎么都是这样质量的图片呀! 要拿出来就搞好点呀[br]

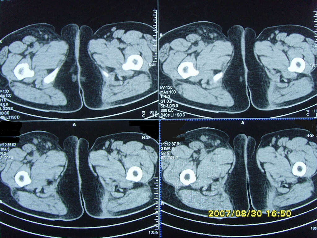
以下是引用zjzjr在2007-9-11 22:21:00的发言:[br]右侧股骨上段前部皮下可见不椭圆形软组织密度影,增强呈环形强化,周围皮下脂肪混浊,考虑感染性病变,不知临床症状如何.
| 欢迎光临 医影在线 (http://bbs.radida.com/bbs/) | Powered by Discuz! X3.2 |