医影在线

标题: CT9705:胸部病变,请分析 [打印本页]

作者: caihe    时间: 2007-9-12 02:15
标题: CT9705:胸部病变,请分析
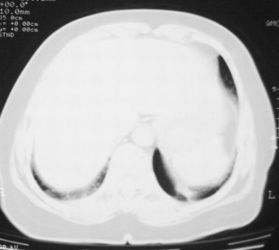
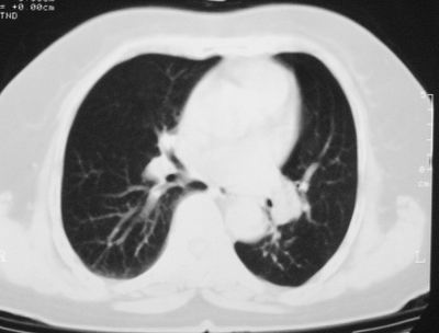
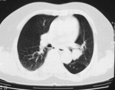
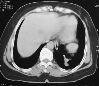
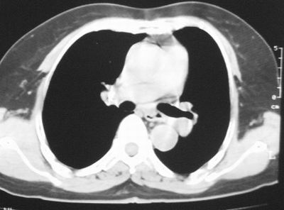
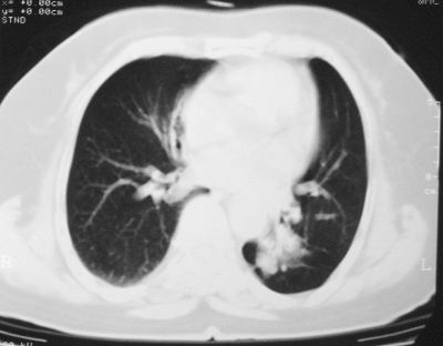
患者,女,64岁,4年前左腮腺"多形性"腺瘤手术治疗史.现复查胸部ct见左下肺块状影,该影与原左腮腺手术是否有联系?

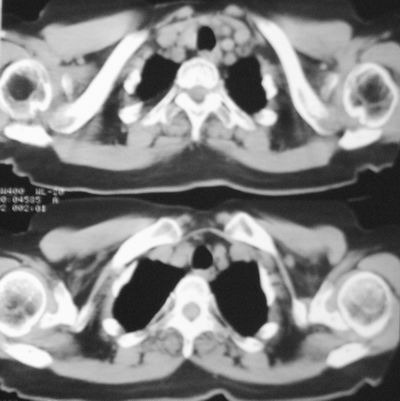
术前(4年前)ct报告书
表现:左腮腺增大,于颞下见一约2.6x1.6x2.0cm混杂密度块影,边界较模糊,增强前后ct值约5-32hu、7-67hu,邻近骨质及软组织未见明确破坏征象,咽旁间隙尚存,周围未见肿大淋巴结。
诊断:左侧腮腺增大,抗炎治疗后复查,请结合临床分析。

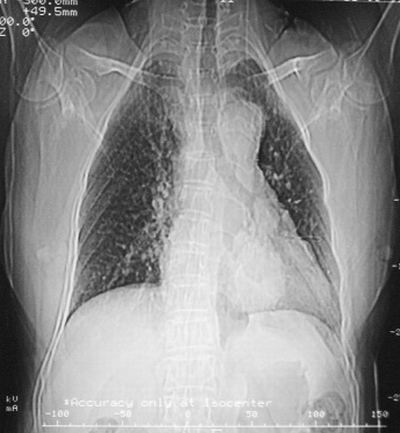
术前(4年前)胸部dr报告书
表现:胸廓左右对称,气管居中,两肺野纹理增多,左下肺见一高密度影,周围见纤维条索影,心影及肺门无增大,双肋膈角锐利,横膈未见异常。
诊断:建议ct检查、随访。

手术病理结果
送检标本:左腮腺肿块
冰冻切片报告:“左腮腺”多形性腺瘤。

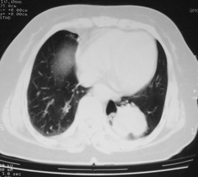
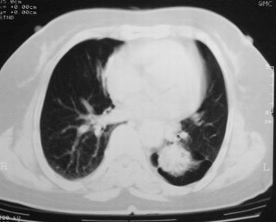
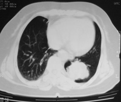
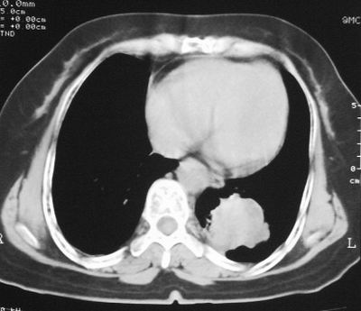
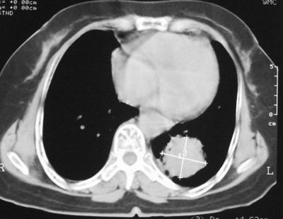
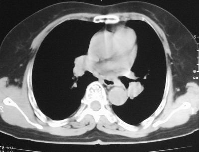
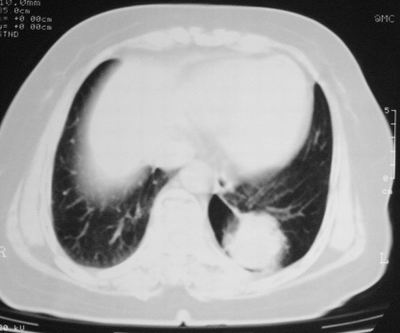
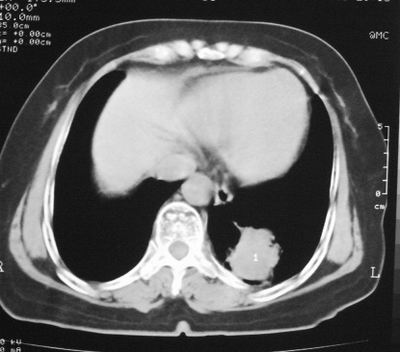
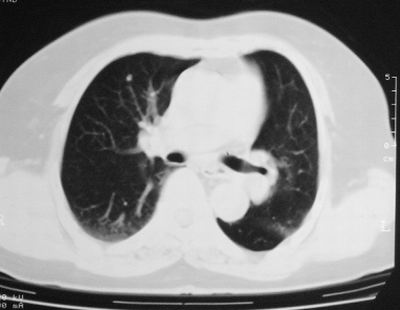
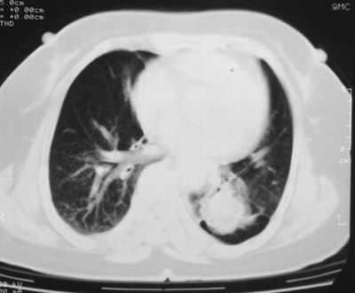
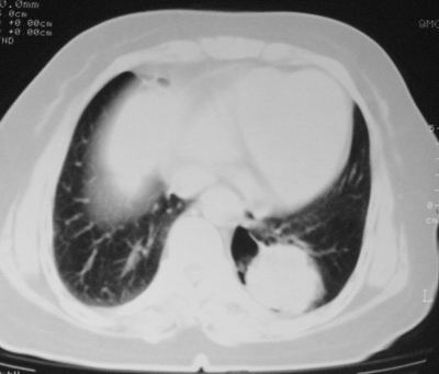
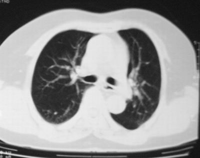
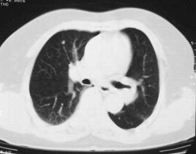
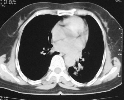
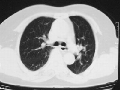
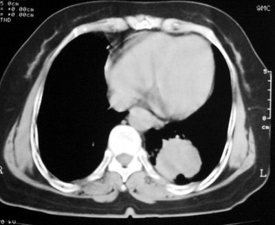
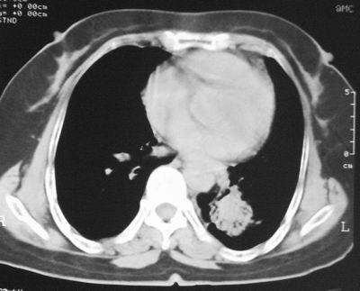
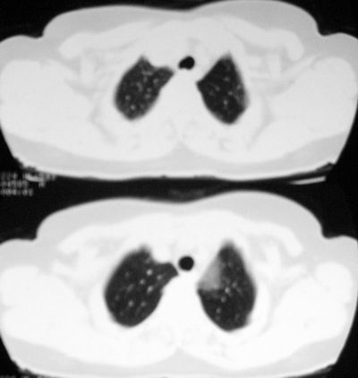
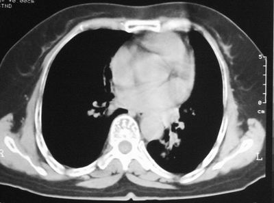
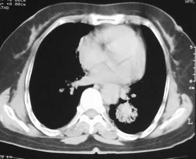
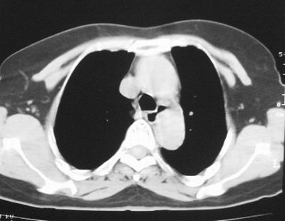
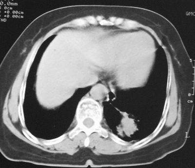
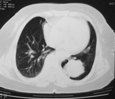
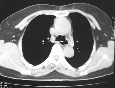
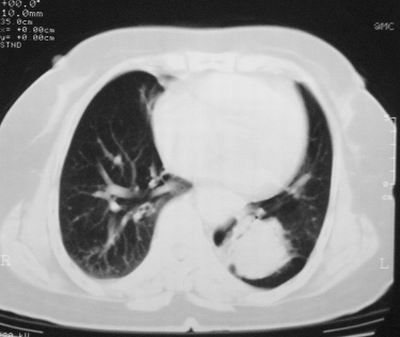
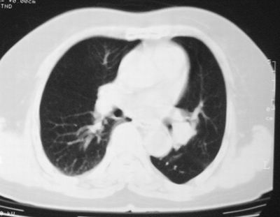
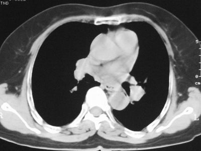
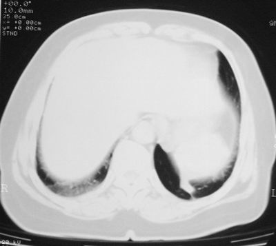
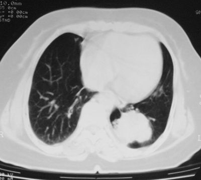
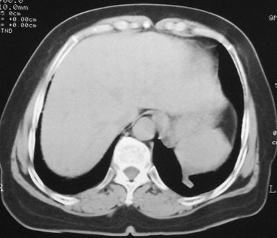
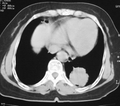
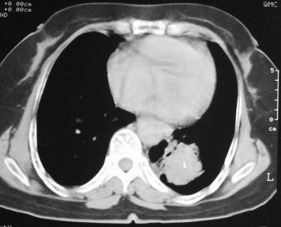
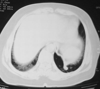
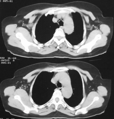
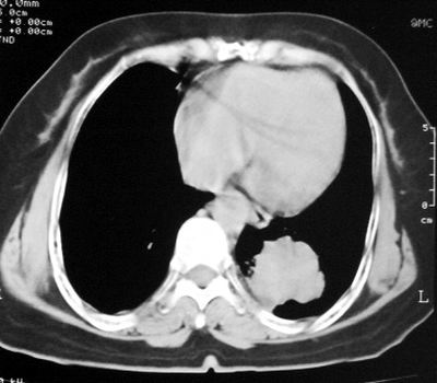
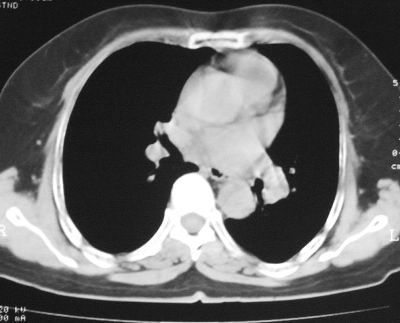
本次复查胸部ct




























































[本贴已被 翁志蓬 于 2007-9-12 12:30:28 修改过]

作者: 天南地北    时间: 2007-9-12 02:18
我觉得是肺内原发的
左肺下叶周围型肺癌 诊断应该没有什么疑问吧
作者: wangzhengyuan    时间: 2007-9-12 02:46
左肺下叶周围型肺癌
作者: sdhct    时间: 2007-9-12 02:58
恶性病变可能性大,考虑原发
作者: 王仕学    时间: 2007-9-12 03:01
软组织块影,边缘不规则,浅分叶,考虑左肺下叶周围型肺癌,还是活检吧!
作者: lh_0016    时间: 2007-9-12 03:18
标题: 回复:胸部病变,请分析
以下是引用wangzhengyuan在2007-9-11 18:46:00的发言:[br]左肺下叶周围型肺癌

作者: zoujunhui1977    时间: 2007-9-12 03:19
左下肺癌伴左肺门淋巴结转移
作者: zycjw    时间: 2007-9-12 03:33
左下肺周围性肺癌.
作者: jrsy13856438399    时间: 2007-9-12 03:40
左下肺周围型肺癌
作者: sbf852081    时间: 2007-9-12 03:51
左下肺软组织块影,有分叶、毛刺、空泡及胸膜牵拉征,左下肺周围性肺癌。
作者: xclzq_910    时间: 2007-9-12 03:54
支持考虑左下肺原发性肺癌,并左肺门淋巴结肿大
作者: 夏季    时间: 2007-9-12 04:15
左下肺周围性肺癌应该没什么疑问吧
作者: 难听    时间: 2007-9-12 04:19
我考虑炎性假瘤:1,边界模糊.2,邻近胸膜增厚,胸膜外脂肪也增厚.3,周围有肺气肿征.4,无胸水,无淋巴结肿大.
作者: gaoshengjiang    时间: 2007-9-12 04:30
左肺下叶周围型肺癌, 建议穿刺活检。
作者: zhangxu5888    时间: 2007-9-12 04:40
具有原发性周围型肺癌的所有特征!!!!
作者: 雪山飞狐    时间: 2007-9-12 05:07
左下肺原发周围型肺癌
作者: wangjj555    时间: 2007-9-12 05:11
左下肺周围性肺癌
作者: liuqiang    时间: 2007-9-12 05:13
左下肺原发周围型肺癌.
作者: mzh123    时间: 2007-9-12 05:41
标题: 回复:胸部病变,请分析
以下是引用liuqiang在2007-9-11 21:13:00的发言:[br]左下肺原发周围型肺癌.

作者: elity69    时间: 2007-9-12 05:42
左下肺软组织块影,有分叶、毛刺、空泡及胸膜牵拉征,左下肺周围性肺癌。
作者: 老爱克斯    时间: 2007-9-12 05:42
周围型肺癌可能大建议穿刺活检证实,
作者: 李世军    时间: 2007-9-12 05:47
周围型肺癌可能大建议穿刺活检证实,
作者: jdpengj    时间: 2007-9-12 05:58
应该是肺癌吧,不然以后肺癌没法诊断了
作者: zjzjr    时间: 2007-9-12 06:14
左下周围型肺癌伴左肺门淋巴结及右肺转移可能性大.
作者: 卜一    时间: 2007-9-12 14:11
左肺下叶周围型肺癌,支持!(软组织肿块+分叶+毛刺+空泡+胸膜凹陷征)
作者: 宝天曼    时间: 2007-9-12 14:18
软组织块影,边缘不规则,浅分叶,考虑左肺下叶周围型肺癌
作者: jsgdoctor    时间: 2007-9-12 16:03
考虑周围型肺癌
作者: psh    时间: 2007-9-12 17:57
肿块周围提示慢性改变,邻近胸膜外脂肪有沉积,考虑为良性,炎性假瘤可能。
作者: 狙击手    时间: 2007-9-12 18:13
软组织块影,边缘不规则,浅分叶,考虑左肺下叶周围型肺癌,还是活检吧!
作者: qiuleiyu    时间: 2007-9-12 18:53
左下周围型肺癌可能大,建议穿刺活检除外曲菌球形成.
作者: xulianj    时间: 2007-9-12 19:44
考虑左肺下叶周围型肺癌,还是活检吧!
作者: liuzili    时间: 2007-9-12 21:31
左下肺周围型肺癌.
作者: 王燕    时间: 2007-9-12 23:26
考虑炎性假瘤可能大,建议活检
作者: 国王    时间: 2007-9-12 23:39
左下肺周围型肺癌
作者: nanjing    时间: 2007-9-13 00:14
软组织块影,边缘不规则,浅分叶,考虑左肺下叶周围型肺癌,还是活检吧!
作者: 清清楚楚    时间: 2007-9-13 01:58
支持考虑左肺下叶周围型肺癌.
作者: 标准小菜鸟    时间: 2007-9-13 02:01
左下肺软组织密度影,可见分叶,边缘可见毛刺征,胸膜增厚,强烈要求左下肺周围型肺癌
作者: 拾荒者    时间: 2007-9-13 05:17
左下肺后基底段实性肿块,周围有毛刺,病变周围有肺气肿,与降主动脉间有条带状影相连,病灶4年前查体发现,纵隔内未见肿大淋巴结。考虑.肺隔离症,建议增强扫描与周围型肺癌鉴别。




欢迎光临 医影在线 (http://bbs.radida.com/bbs/) Powered by Discuz! X3.2