医影在线

标题: PED0359:男,3月,咳嗽一月。听诊两肺呼吸音粗。帮忙看一 [打印本页]

作者: czxyey    时间: 2007-9-12 03:08
标题: PED0359:男,3月,咳嗽一月。听诊两肺呼吸音粗。帮忙看一



[本贴已被 jiajie 于 2007-9-12 12:52:37 修改过]

作者: 471792    时间: 2007-9-12 03:21
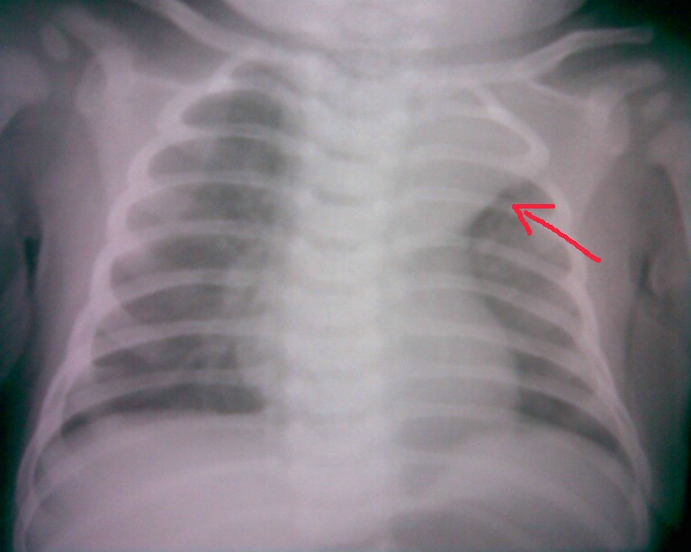
左上肺不张
作者: zhangxu5888    时间: 2007-9-12 04:46
别人位置不正,不好诊断!!!!或许是增大的胸腺,还是做个ct吧!!
作者: mzh123    时间: 2007-9-12 06:03
标题: 回复:男,3月,咳嗽一月。听诊两肺呼吸音粗。帮忙看一
以下是引用zhangxu5888在2007-9-11 20:46:00的发言:[br]别人位置不正,不好诊断!!!!或许是增大的胸腺,还是做个ct吧!!

作者: 天南地北    时间: 2007-9-12 06:06
我觉得是胸腺
作者: wxy7406    时间: 2007-9-12 06:37
船帆样得冬冬,只有3个月,考虑是胸腺。
作者: hxming2010    时间: 2007-9-12 07:59
考虑为胸腺,没有肺不张萎缩的征象..
作者: 还珠格格    时间: 2007-9-12 14:51
考虑 正常胸腺。
作者: 黑白光影    时间: 2007-9-12 18:06
胸腺肥大.体位有点右旋,显得增大胸腺有点象左上肺不张.
作者: ZHANGZHONGSHOU    时间: 2007-9-12 21:17
建议加照侧位片,如果是上叶肺不张就麻烦了,有支气管异物的可能,还是照了再说吧
作者: nanjing    时间: 2007-9-13 00:32
或许是增大的胸腺,还是做个ct吧!!
作者: 清清楚楚    时间: 2007-9-13 03:21
建议ct检查
作者: 王仕学    时间: 2007-9-13 04:09
我觉得是未萎缩的胸腺。
作者: liaizhi    时间: 2007-9-13 04:55
结合胸透看一下,是胸腺肥大还是纵隔肿瘤。
作者: zjzjr    时间: 2007-9-13 06:31
我觉得是胸腺
作者: geyurong    时间: 2007-9-13 21:37
才三个月应当为胸腺肥大。有必要做个ct看一下。
作者: duguo    时间: 2007-9-13 22:49
考虑胸腺,乱检查对孩子不利,建议观察.
作者: 借我一双    时间: 2007-9-15 22:37
正常小儿胸腺
作者: 飞虎    时间: 2007-9-16 00:12
首先考虑胸腺
作者: js63461800    时间: 2007-9-17 04:43
考虑胸腺
不张征象不明显
作者: wangdch2008    时间: 2007-9-18 05:24
左上肺不张,左下肺含气不良,原因待查。
作者: 22222222    时间: 2007-9-18 06:14
考虑为胸腺
作者: hexue    时间: 2007-11-26 00:48
标题: 回复:ped0359:男,3月,咳嗽一月。听诊两肺呼吸音粗。帮忙
以下是引用还珠格格在2007-9-12 6:51:00的发言:[br]考虑 正常胸腺。

作者: wy232326    时间: 2007-11-28 01:27
建议ct检查
作者: jinguoji    时间: 2007-11-28 21:43
或许是增大的胸腺,还是做个ct放心!!




欢迎光临 医影在线 (http://bbs.radida.com/bbs/) Powered by Discuz! X3.2