医影在线
标题: CT9717:F、30Y、颈部左侧包块半年,压痛.患者拒绝作增强。 [打印本页]
作者: 王仕学 时间: 2007-9-13 16:24
标题: CT9717:F、30Y、颈部左侧包块半年,压痛.患者拒绝作增强。
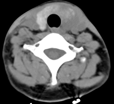
请各位老师帮忙看看左侧甲状腺病灶!











[本贴已被 jiajie 于 2007-9-13 12:51:19 修改过]
作者: shuhuang2007 时间: 2007-9-13 16:45
左侧甲状腺见一低密度灶,考虑甲状腺占位。(腺瘤?)
作者: zsl6918 时间: 2007-9-13 16:53
病人不做强化就不太好说了,但结合病人年轻女性,有压痛,还是考虑良性病变,以桥本氏病可能性大。可结合化验结果综合考虑。
作者: zyyzzy 时间: 2007-9-13 17:02
不做增强不好说!!
作者: 朱亮 时间: 2007-9-13 17:25
建议强化
作者: 快乐男生 时间: 2007-9-13 17:31
左侧甲状腺增大,密度降低,性质不好定,还是作个增强,或作核素扫描.
作者: 天南地北 时间: 2007-9-13 18:50
标题: 回复:f、30y、颈部左侧包块半年,压痛.患者拒绝作增强。
甲状腺弥漫增大,以左叶明显,内见不均匀低密度影,边缘模糊欠清,周围脂肪间隙模糊。
结合病史:考虑亚急性甲状腺炎可能性大。(不知道病人有没有检测tsh t3 t4)
建议穿刺活检,ect进一步检查。
[本贴已被 天南地北 于 2007-9-13 11:00:52 修改过]
作者: zjzjr 时间: 2007-9-13 19:40
左侧甲状腺及甲状腺狭部弥漫性增大,边缘模糊,未见明确界线.考虑甲状腺炎可能性大.
作者: zhangxu5888 时间: 2007-9-13 20:40
考虑甲状腺癌可能性大!!!
作者: geyurong 时间: 2007-9-13 20:58
多为亚急性甲状腺炎症。最好结合检验结果进一步检查。
作者: luochengyi 时间: 2007-9-13 21:13
标题: 回复:ct9717:f、30y、颈部左侧包块半年,压痛.患者拒绝作增
以下是引用zjzjr在2007-9-13 11:40:00的发言:[br]左侧甲状腺及甲状腺狭部弥漫性增大,边缘模糊,未见明确界线.考虑甲状腺炎可能性大.
作者: liaizhi 时间: 2007-9-13 22:04
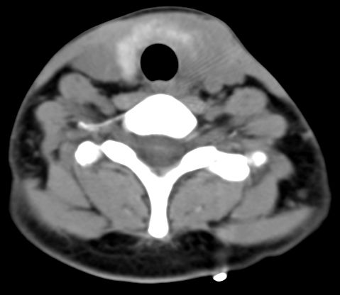
左侧甲状腺弥满性增大,其内密度均匀减低,气管无受压。周围结构清晰。考虑甲状腺炎可能性大。
作者: 同 时间: 2007-9-13 23:18
考虑甲状腺炎可能性大
作者: cq 时间: 2007-9-13 23:31
考虑甲状腺炎,建议进一步检查
作者: ydx_74 时间: 2007-9-14 00:06
考虑桥本氏甲状腺炎,
作者: xulianj 时间: 2007-9-14 04:11
甲状腺弥漫增大,以左叶明显,左侧内见不均匀低密度影,边缘模糊欠清,周围脂肪间隙模糊。
结合病史:考虑亚急性甲状腺炎可能性大。(不知道病人有没有检测tsh t3 t4)
建议穿刺活检,ect进一步检查。
作者: 拾荒者 时间: 2007-9-14 04:18
甲状腺弥漫增大,以左叶明显,内见不均匀低密度影,边缘模糊欠清,周围脂肪间隙模糊。
结合病史:考虑亚急性甲状腺炎可能性大。(不知道病人有没有检测tsh t3 t4)
建议穿刺活检,ect进一步检查。
作者: 宝天曼 时间: 2007-9-14 04:21
左侧甲状腺增大,密度降低,性质不好定,还是作个增强,或作核素扫描.
作者: qiuleiyu 时间: 2007-9-14 06:11
支持;甲状腺炎症性病变.----亚急性甲状腺炎可能大.
1,病灶弥漫无明确边界.2,密度较均质.3,临床压痛明显.
甲状腺弥漫性增大病变有以下几种.
1,结节性甲肿;起病慢,无压痛.t3\\t4升高或正常,一般双侧肿大,密度较高.部分可囊变钙化,增强后结节状轮廓显示清楚.轻度强化.
2,亚急性甲状腺炎.临床多见,发病年龄较轻,由上呼吸道感染或病毒性腮腺炎后发病.临床触痛明显.然局部皮肤无红热.t3t4早期升高,后期降低.病灶可单侧或双侧.易炎性渗出,使脂肪密度增高.
3,桥本甲炎(慢性淋巴细胞性甲炎);自身免疫有关.t3t4降低.中老年女性多见.甲状腺弥漫增大,基本对称.,峡部最明显.边界较清.
4,甲状腺癌;一般单侧,进展快.局限性肿块,边界不清,坏死囊变,可伴颈部淋巴转移.包膜侵犯.增强明显不均质强化.
作者: 风中漫步 时间: 2007-9-14 23:13
桥本氏
| 欢迎光临 医影在线 (http://bbs.radida.com/bbs/) |
Powered by Discuz! X3.2 |