医影在线

标题: CT9722:卵巢巨大占位,约10*18*21CM大小 [打印本页]

作者: lijifeng5432    时间: 2007-9-13 21:32
标题: CT9722:卵巢巨大占位,约10*18*21CM大小
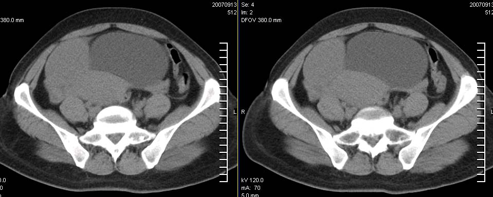
卵巢巨大占位,约10*18*21cm大小

















[本贴已被 jiajie 于 2007-9-13 13:40:09 修改过]

作者: lijifeng5432    时间: 2007-9-13 21:34
卵巢囊腺瘤可能性大.可见低密度
作者: 还珠格格    时间: 2007-9-13 21:42
考虑:右侧卵巢囊性瘤可能性大 建议增强扫描。
作者: 天南地北    时间: 2007-9-13 21:44
建议增强扫描
右侧附件占位:囊腺瘤?纤维瘤伴部分囊变?还是增强看看吧
作者: zhangxu5888    时间: 2007-9-13 21:51
肿瘤的密度有点高.和子宫差不多?且和子宫相连呢?我考虑来源于子宫,子宫巨大子宫肌瘤可能性大!(局部有坏死?)
作者: LIAOQIANG    时间: 2007-9-13 22:04
考虑囊腺瘤可能性大。增强扫描。
作者: zsl6918    时间: 2007-9-13 22:27
考虑来源于卵巢的巨大占位,良性可能性大,内可见坏死区,建议强化检查。
作者: psh    时间: 2007-9-13 22:55
囊腺瘤。
作者: zjzjr    时间: 2007-9-13 23:02
考虑:右侧卵巢囊性瘤可能性大 建议增强扫描。
作者: 同    时间: 2007-9-13 23:10
考虑右侧附件囊腺瘤可能性大.
作者: 快乐男生    时间: 2007-9-13 23:32
考虑右侧附件囊腺瘤可能性大.
作者: ydx_74    时间: 2007-9-13 23:46
右侧卵巢囊性瘤可能性大 ,5楼,密度不一样,是窗调得太宽
作者: mzh123    时间: 2007-9-14 00:00
标题: 回复:ct9722:卵巢巨大占位,约10*18*21cm大小
以下是引用zjzjr在2007-9-13 15:02:00的发言:[br]考虑:右侧卵巢囊性瘤可能性大 建议增强扫描。

作者: zhangxu5888    时间: 2007-9-14 00:09
囊腺瘤不管是浆液性,还是黏液性的,液体成分应该占的比例很大吧!!这个病灶其实是个实性肿块,更看不到囊腺瘤所能见到的分隔??请笔者提供ct值?望大家再仔细分析??
作者: 红樱枪    时间: 2007-9-14 00:24
考虑右侧附件囊腺瘤可能性大.
作者: mlxq3086    时间: 2007-9-14 01:12
为什么就说它来源于卵巢呢?肠系膜同样可以啊?
作者: 枫岩    时间: 2007-9-14 01:17
建议增强扫描
右侧附件占位:囊腺瘤?
作者: xuesheng007    时间: 2007-9-14 01:28
考虑右侧卵巢囊腺瘤,建议增强扫描。
作者: 王燕    时间: 2007-9-14 02:15
考虑囊腺瘤可能性大。增强扫描
作者: 清清楚楚    时间: 2007-9-14 02:29
建议增强扫描
作者: 王仕学    时间: 2007-9-14 03:46
右侧卵巢囊性瘤可能性大 建议增强扫描。
作者: 宝天曼    时间: 2007-9-14 04:17
考虑囊腺瘤可能性大。增强扫描。
作者: xulianj    时间: 2007-9-14 04:32
右侧卵巢的巨大占位,病灶大部分呈实性,以恶性可能大。
作者: gaoshengjiang    时间: 2007-9-14 04:39
右侧卵巢囊腺瘤,建议增强扫描。
作者: luochengyi    时间: 2007-9-14 05:23
考虑囊腺瘤可能性大。
作者: qiuleiyu    时间: 2007-9-14 05:37
考虑右侧附件来源肿瘤--囊腺瘤可能性大,子宫增大,建议增强扫描.
作者: wxy7406    时间: 2007-9-14 06:08
子宫肌瘤不除外哦。
作者: 拾荒者    时间: 2007-9-15 04:14
右侧附件区巨大囊性肿块,边缘光滑,密度较高,左侧缘由多个低密度区,首先考虑囊腺瘤可能。
作者: sq7600    时间: 2007-9-15 05:12
考虑:右侧卵巢囊性瘤可能性大 建议增强扫描
作者: qc80012345    时间: 2007-9-15 21:36
卵巢巨大占位性病变。
作者: 青莲居士    时间: 2007-9-16 03:52
肿瘤的密度有点高.和子宫差不多?且和子宫相连呢?我考虑来源于子宫,




欢迎光临 医影在线 (http://bbs.radida.com/bbs/) Powered by Discuz! X3.2