
































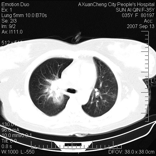
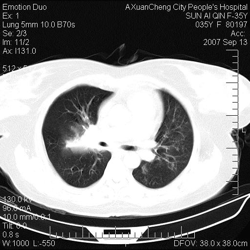
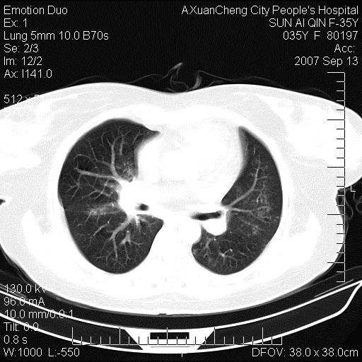
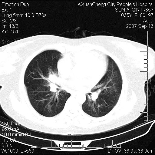
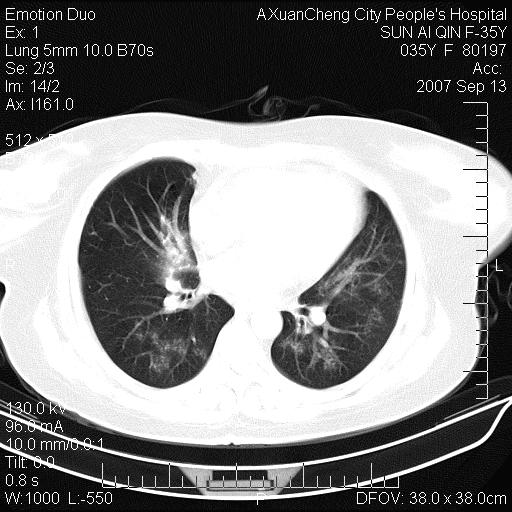
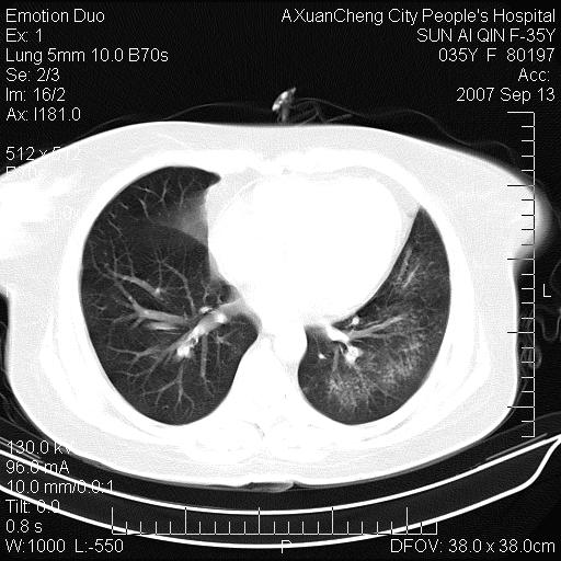
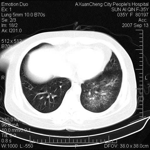
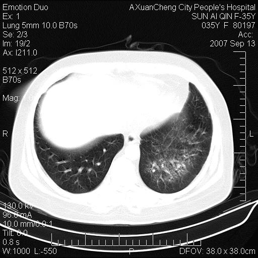
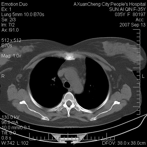
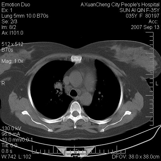
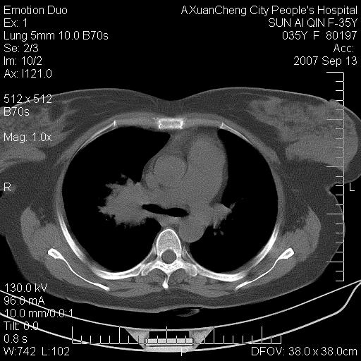
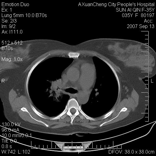
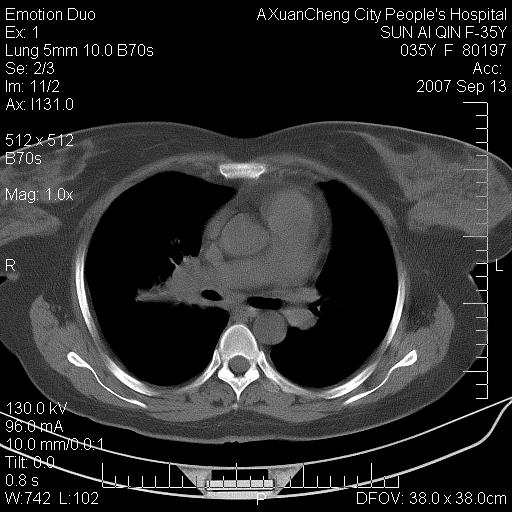
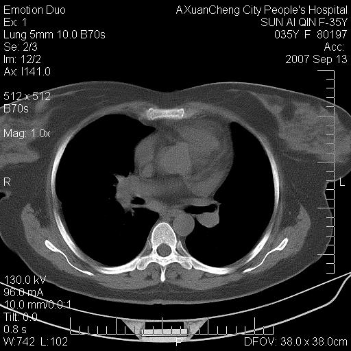
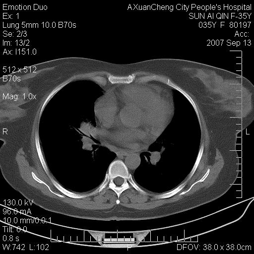
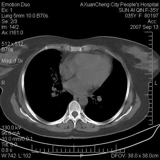
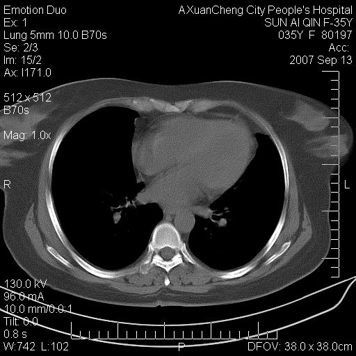
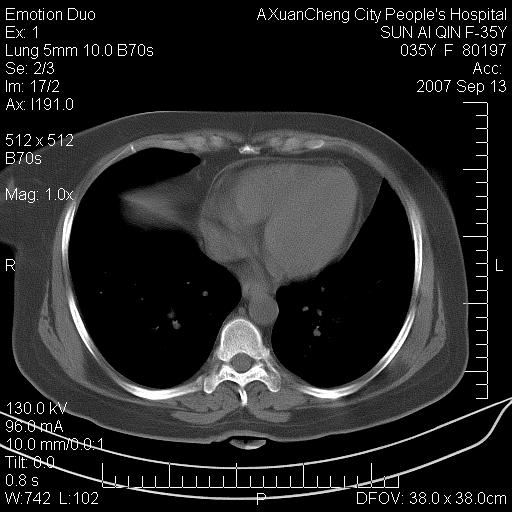
以下是引用天南地北在2007-9-13 13:43:00的发言:[br]考虑双肺、肺门侵润
以下是引用天南地北在2007-9-13 13:43:00的发言:[br]考虑双肺、肺门侵润
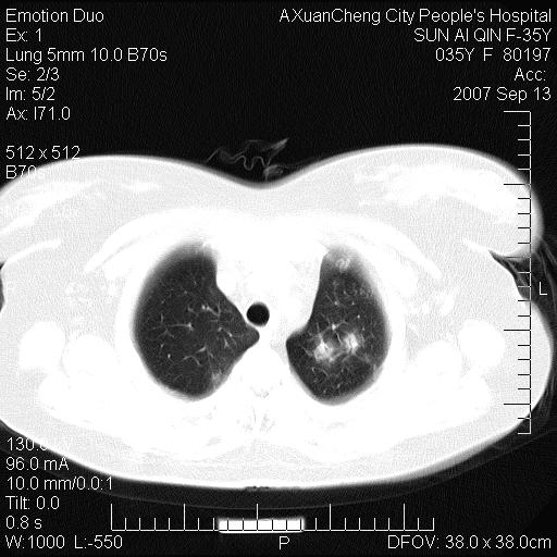
以下是引用ydx_74在2007-9-13 15:42:00的发言:[br]仅看片,考虑右上肺癌并双肺转移,结合病史,考虑肺门、肺内淋巴侵润
以下是引用同在2007-9-13 15:08:00的发言:[br]支持肺门及双肺侵润.
| 欢迎光临 医影在线 (http://bbs.radida.com/bbs/) | Powered by Discuz! X3.2 |