医影在线

标题: CT9726:M73Y,患者因吞咽困难及腹痛半月入院!全身浅表淋巴结 [打印本页]

作者: wangzhengyuan    时间: 2007-9-14 04:52
标题: CT9726:M73Y,患者因吞咽困难及腹痛半月入院!全身浅表淋巴结


























[本贴已被 jiajie 于 2007-9-13 22:59:28 修改过]

作者: xulianj    时间: 2007-9-14 05:05
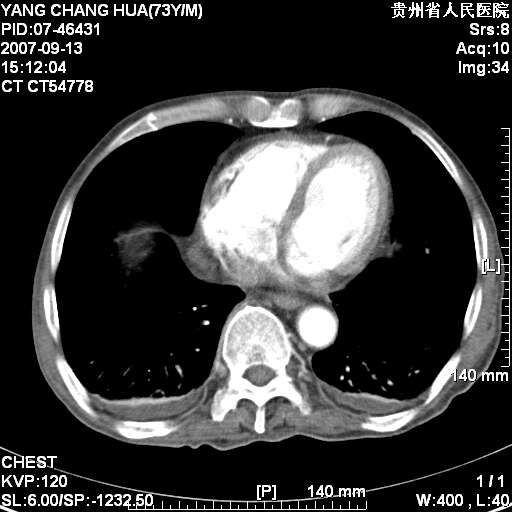
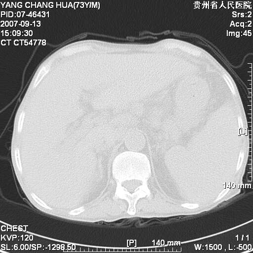
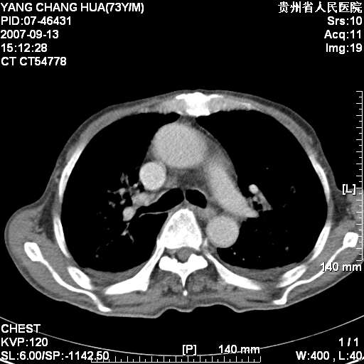
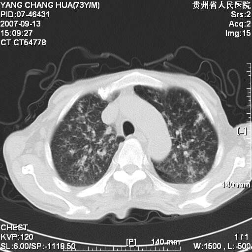
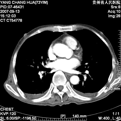
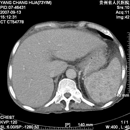
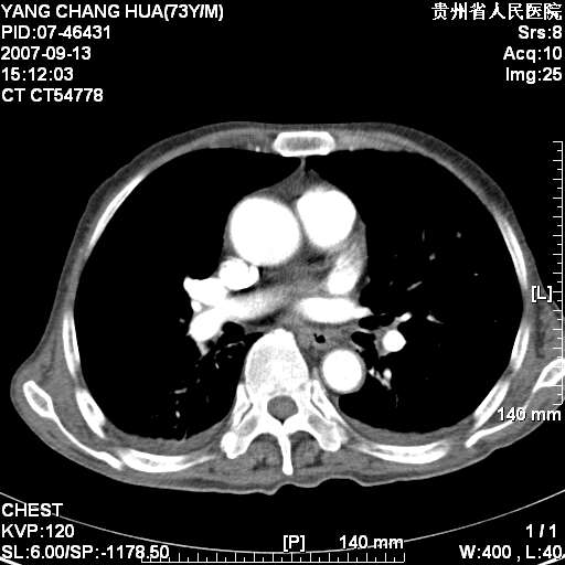
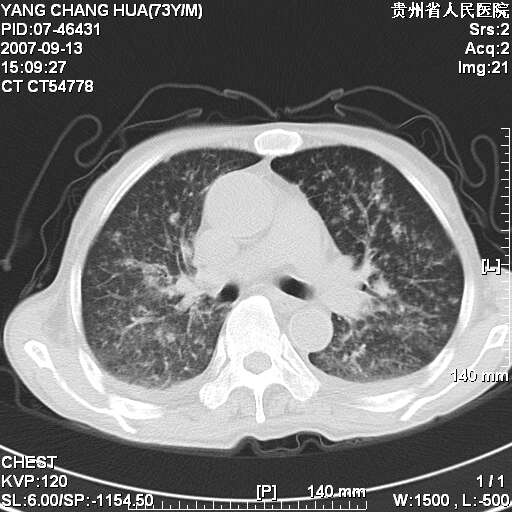
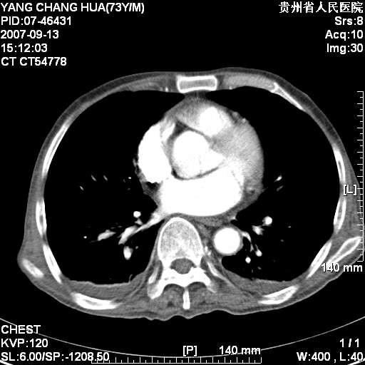
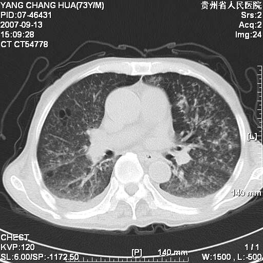
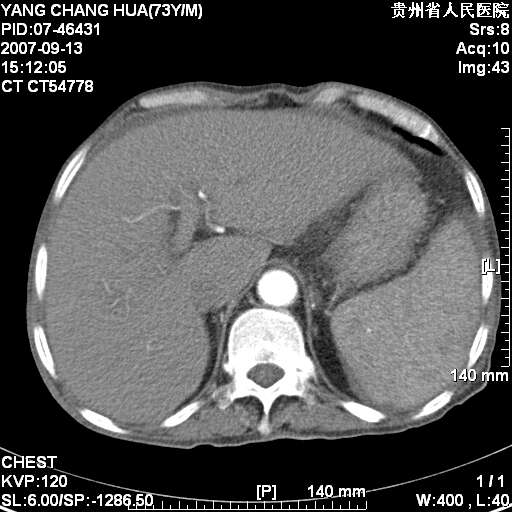
图像没有传全。肺部为感染性病灶;肺囊肿;双侧胸腔积液;肝脾肿大;腹水。
作者: wangzhengyuan    时间: 2007-9-14 05:26
临床诊断 恶性淋巴瘤! !
作者: 王燕    时间: 2007-9-14 05:31
双肺部为感染性病灶.双侧胸腔积液;肝脾肿大;腹水.
作者: gaoshengjiang    时间: 2007-9-14 06:31
双肺部为感染性病灶.双侧胸腔积液;肝脾肿大;脾脏密度不均,不除外脾侵润?腹水.
作者: ssmmxx    时间: 2007-9-14 07:22
恶性淋巴瘤,双肺部也是.
作者: 宝天曼    时间: 2007-9-14 15:17
双肺部为感染性病灶.双侧胸腔积液;肝脾肿大;腹水
考虑.恶性淋巴瘤
作者: zhangxu5888    时间: 2007-9-14 16:30
图片不全.就这几张图片.无法诊断淋巴瘤的,我考虑:双肺部为炎性病灶.双侧胸腔积液;肝脾肿大;腹水
作者: 朱亮    时间: 2007-9-14 17:22
期待结果
作者: zjzjr    时间: 2007-9-14 18:01
恶性淋巴瘤,双肺部也是.
作者: 快乐男生    时间: 2007-9-14 18:41
图像太好但是有些少.信息不全.不好搞.
双肺点片状影,以双上肺改变明显.双侧胸腔积液.为感染性病灶,但不除外结核.
肝脾都大..
作者: wangzhengyuan    时间: 2007-9-14 20:43
我们主任诊断结核 !
作者: zxczxc    时间: 2007-9-15 02:32
双上肺继发型肺结核。
双侧胸腔积液。
肺大泡。
食管癌未除。
肝脾肿大。
少量腹水。
作者: 拾荒者    时间: 2007-9-15 05:58
双肺散在斑片状及多发小结节状阴影,边缘模糊,双上肺野明显,双侧胸膜腔少量积液,纵隔及肺门区未见明显肿大淋巴结,肝脾肿大,脾内见多发低密度区,结合临床考虑恶性淋巴瘤(肺内表现为肺炎肺泡型),单看影像表现,肺结核不能排除。建议结合实验室检查或表浅淋巴结活检。
作者: qc80012345    时间: 2007-9-15 21:48
肺部为;恶性淋巴瘤;双侧胸腔积液;肝脾肿大;腹水。




欢迎光临 医影在线 (http://bbs.radida.com/bbs/) Powered by Discuz! X3.2