





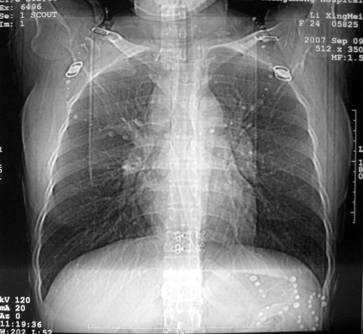
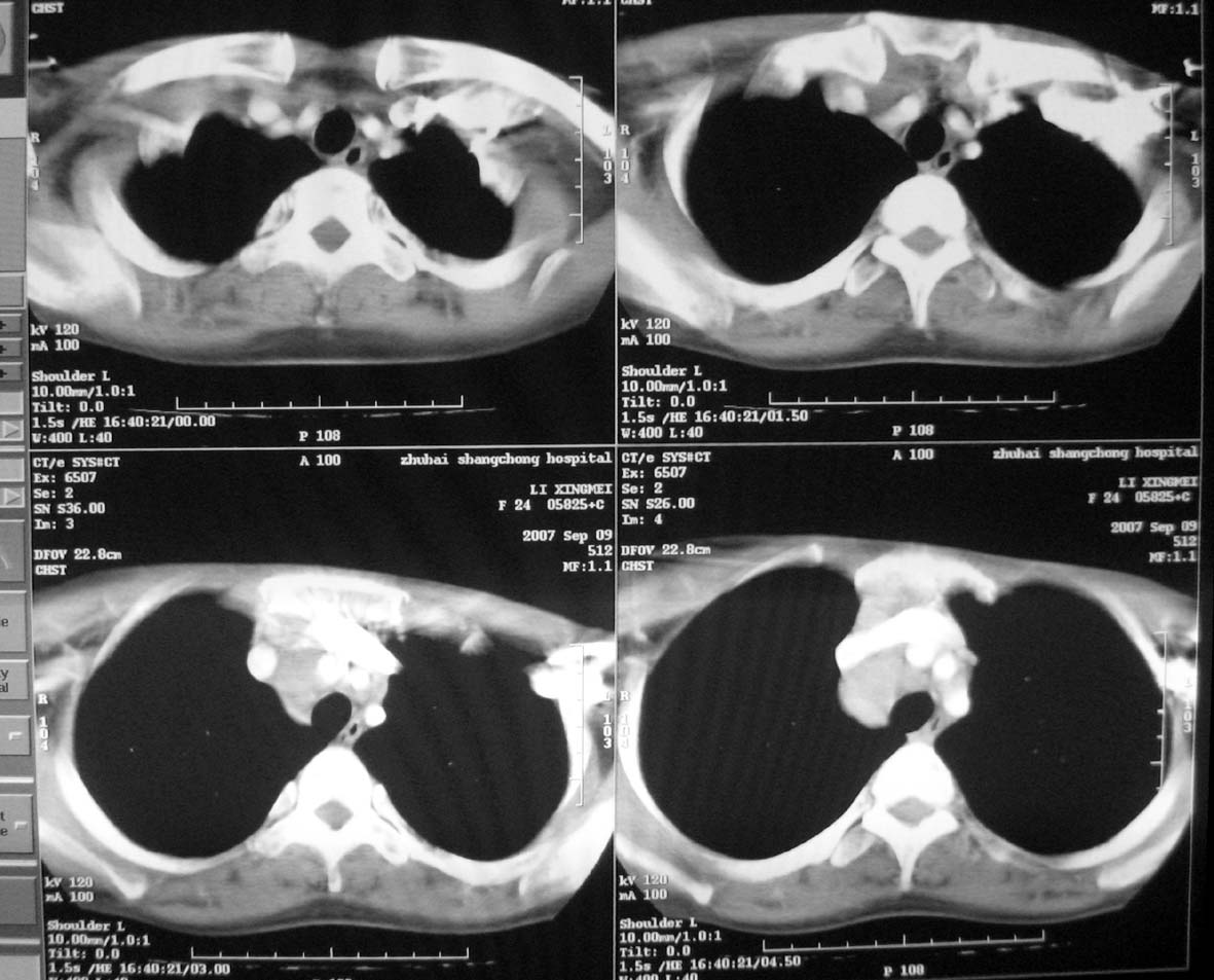
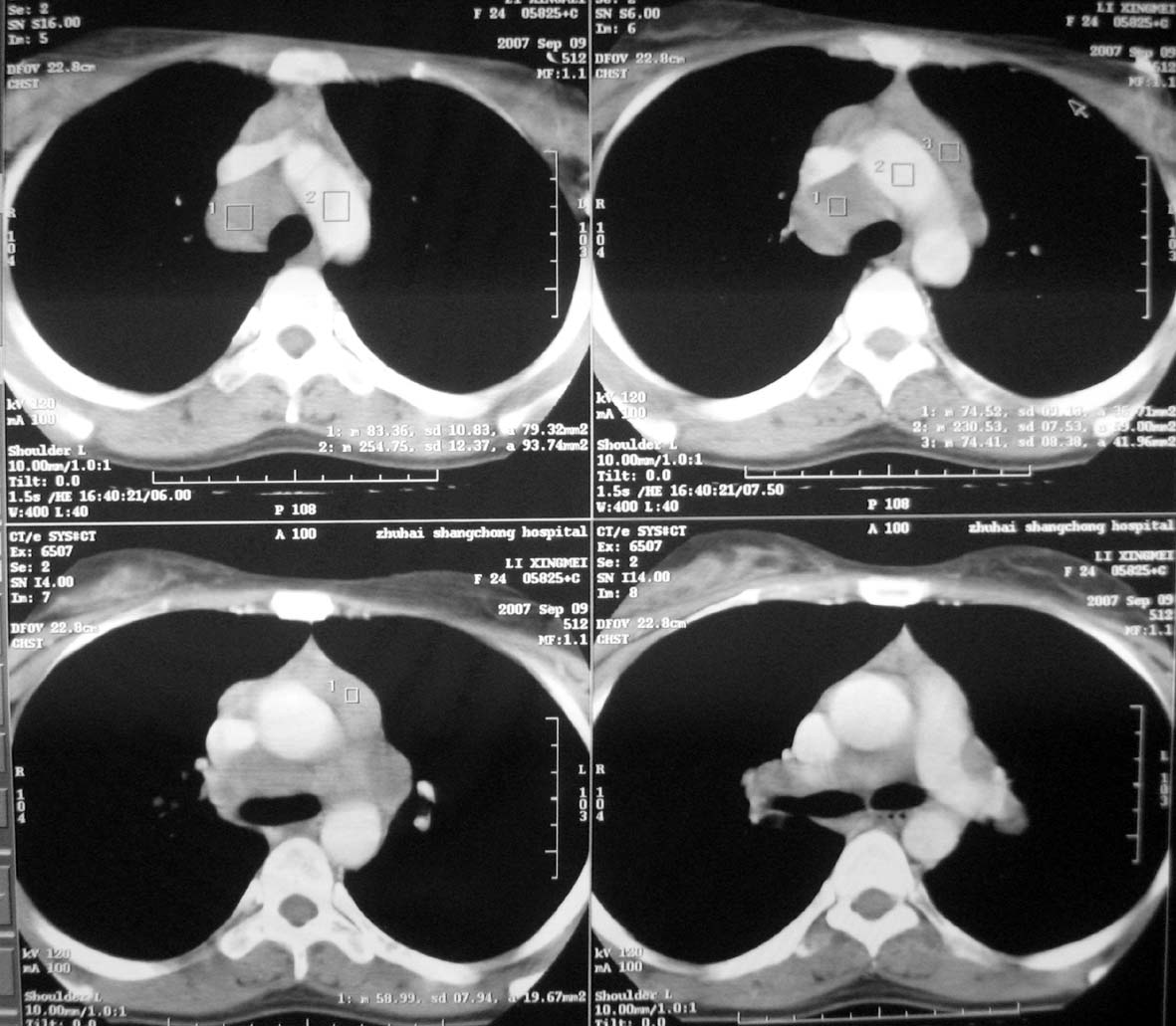
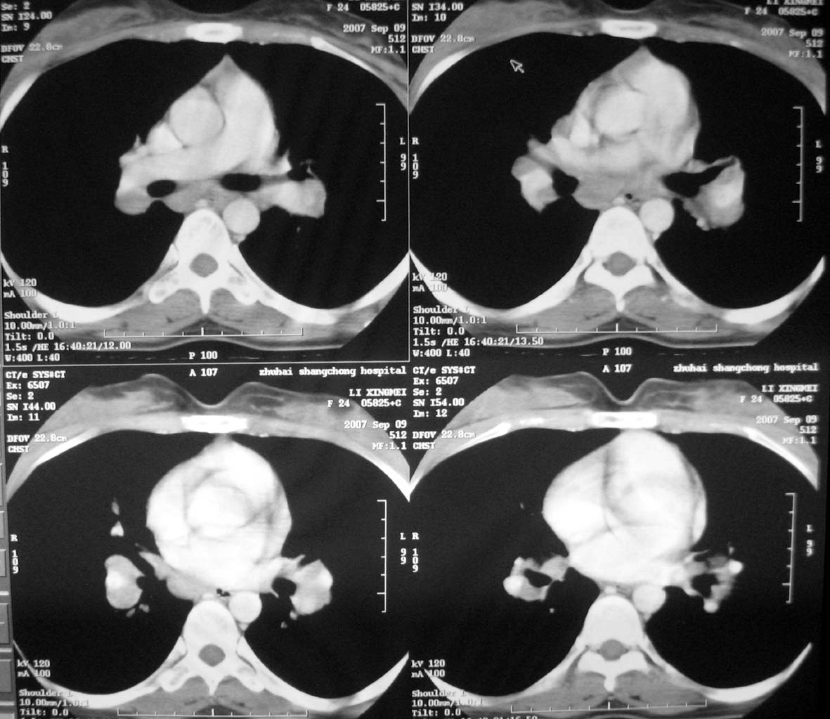
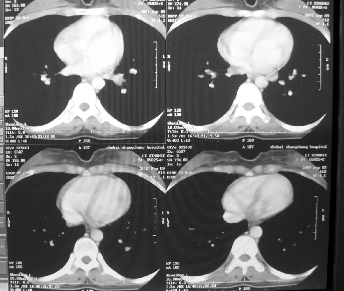
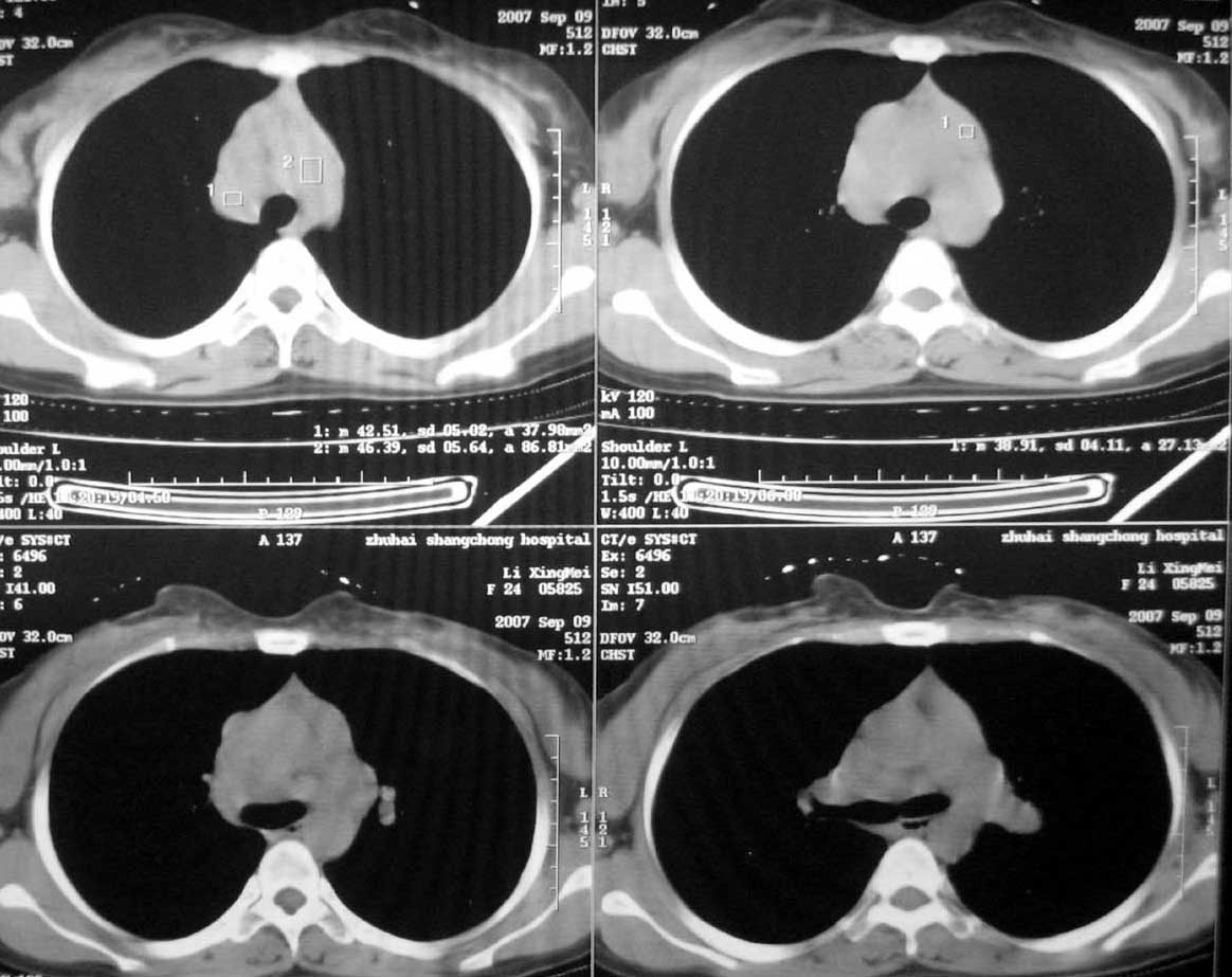
以下是引用qiuleiyu在2007-9-14 19:12:00的发言:[br]纵隔(气管旁组\\隆突下\\主动脉旁组\\血管前组)及肺门淋巴肿大,边界欠清.密度均匀,内无明确钙化.[br]结合临床症状考虑;结节病可能大.[br]鉴别;1,淋巴瘤,可有全身浅表淋巴肿大,肝脾大,发热等.肿大淋巴主要为气管旁组及血管前组及主动脉旁组,肺门肿大不明显.典型者为冰冻纵隔.[br] 2,转移瘤;多见于肺癌,按淋巴链分布肿大,单侧肿大多见,常可见坏死.[br] 3,castlemans;增强后明显血管样强化.内部可有分支状钙化,蜘蛛状瘢痕.周边可有粗大血管.[br] 4,结核;67%有肺部结核灶,肿大淋巴结节,内部可有钙化,增强环状或分格样强化.
| 欢迎光临 医影在线 (http://bbs.radida.com/bbs/) | Powered by Discuz! X3.2 |