








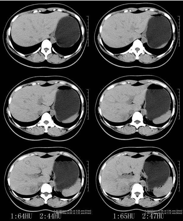
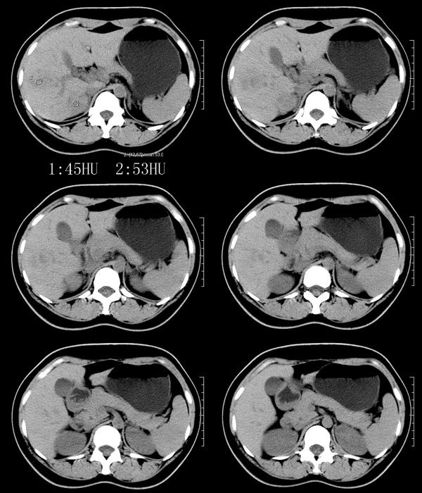
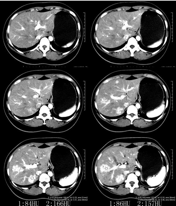
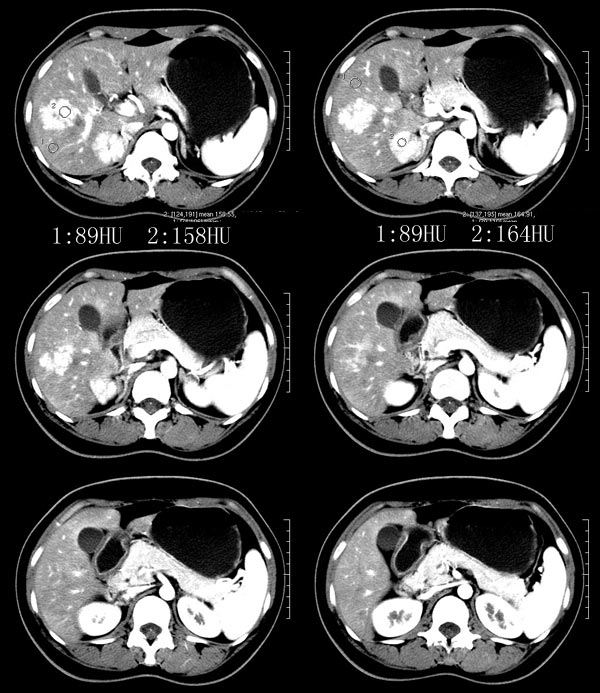
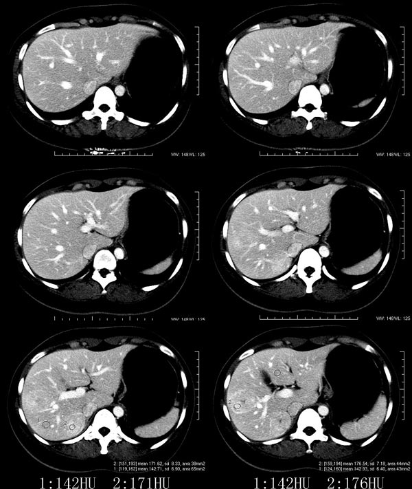
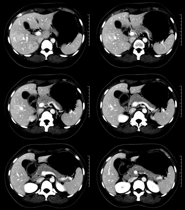
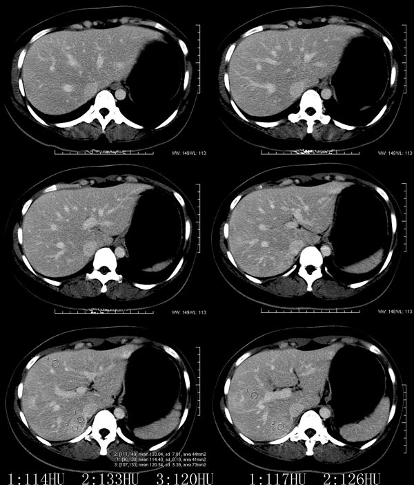
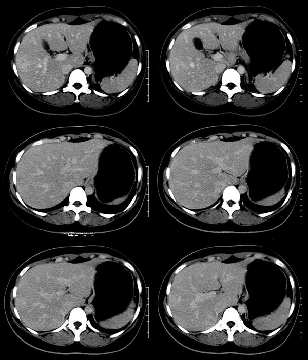
以下是引用卜一在2007-9-15 19:28:00的发言:[br]特点: 平扫低密度,增强动脉期明显强化,中心点 条状低密度影(考虑纤维瘢痕),静脉期及延时期明显退减并与肝呈等密度,但中心仍可见低密度灶。多考虑:肝局灶性结节增生!
以下是引用卜一在2007-9-15 19:28:00的发言:[br]特点: 平扫低密度,增强动脉期明显强化,中心点 条状低密度影(考虑纤维瘢痕),静脉期及延时期明显退减并与肝呈等密度,但中心仍可见低密度灶。多考虑:肝局灶性结节增生!
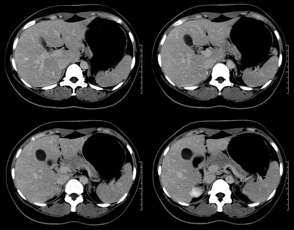
以下是引用52yingxiang在2007-9-16 10:16:00的发言:[br]肝脏局灶性结节增生影象表现(fnh)[br][br]肝脏局灶性结节增生是一种少见的肝脏良性肿瘤,可表现为边界清楚并无包膜的实质性肿块。病变大小不一,多系单发,亦可多发。组织学上是由结构紊乱的肝细胞、库普弗细胞、胆管、血管和粗厚的纤维性间隔所组成。[br]局灶性结节增生的ct表现可归纳为6点:[br]1、密度变化是其特征性改变,平扫多为低密度,少数为等密度,无论增强的早期或晚期均可能呈等密度,增强扫描有助于发现平扫为等密度的病灶;[br]2、中心疤痕,部分病灶在动态ct扫描时早期可看到中心疤痕增生性结节性病灶,ct血管造影也可看到普通ct不能显示的车轮状血管和车轴样改变;[br]3、纤维性分隔影,平扫为低密度,增强后为高密度;[br]4、包膜征象,增强后可以出现包膜强化,晚期较明显;[br]5、邻近血管的改变,主要是肝静脉受压,是发现等密度病变的重要依据;[br]6、瘤内胆管显影,这需要在胆管造影增强的情况下方能显示,出现率不高。[br][br]本例特点: 平扫低密度,增强动脉期明显强化,中心点条状低密度影(考虑纤维瘢痕),静脉期及延时期明显退减并与肝呈等密度,但中心仍可见低密度灶。[br]考虑肝脏局灶性结节增生(fnh)
| 欢迎光临 医影在线 (http://bbs.radida.com/bbs/) | Powered by Discuz! X3.2 |