













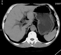
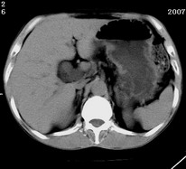
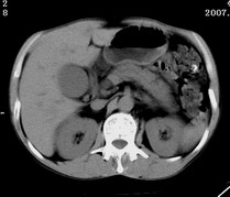
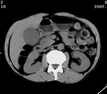
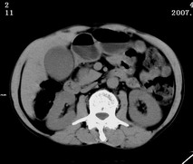
以下是引用zjzjr在2007-9-15 22:24:00的发言:[br]胰头钩突略饱满,肝内外胆管略扩张,胆囊积水.建议增强扫描.
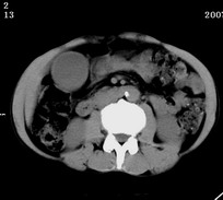
以下是引用代课学生在2007-9-16 10:20:00的发言:[br]胆总管中段以上胆管均示扩张,考虑胆总管下段/胰头部病变,建议增强或micp检查。
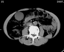
以下是引用zjzjr在2007-9-15 22:24:00的发言:[br]胰头钩突略饱满,肝内外胆管略扩张,胆囊积水.建议增强扫描.
以下是引用zjzjr在2007-9-15 22:24:00的发言:[br]胰头钩突略饱满,肝内外胆管略扩张,胆囊积水.建议增强扫描.




| 欢迎光临 医影在线 (http://bbs.radida.com/bbs/) | Powered by Discuz! X3.2 |