医影在线

标题: CT9750:M/21Y,好年轻呀就..... [打印本页]

作者: 52yingxiang    时间: 2007-9-16 16:48
标题: CT9750:M/21Y,好年轻呀就.....

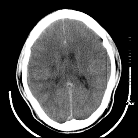
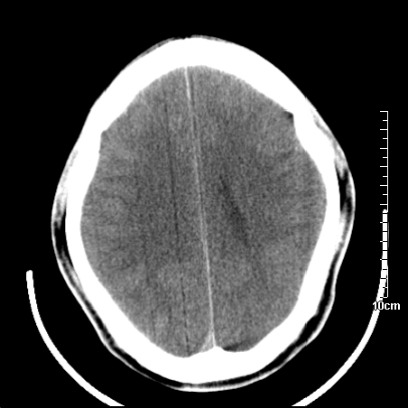
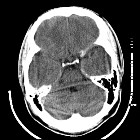
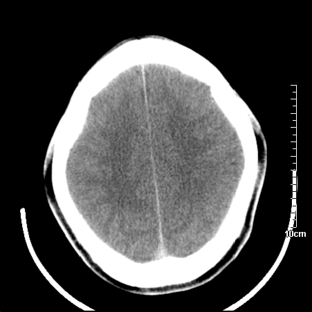
头晕.头痛间断意识恍惚1周 m/21y








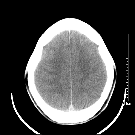
4天上述症状加重伴左侧肢体发软,复查ct,








病人家庭条件不好,拒绝检查



[本贴已被 jiajie 于 2007-9-16 9:00:42 修改过]

作者: mzh123    时间: 2007-9-16 17:03
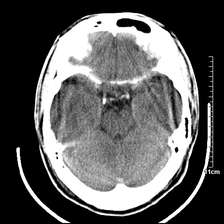
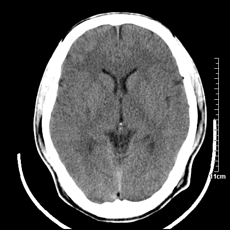
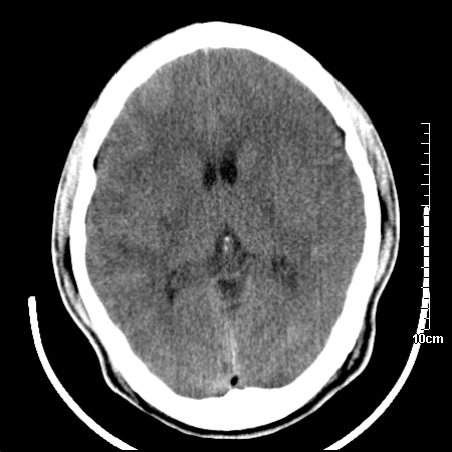
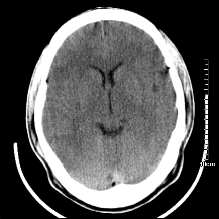
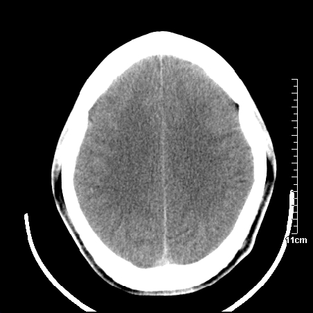
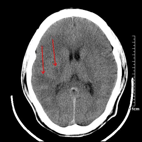
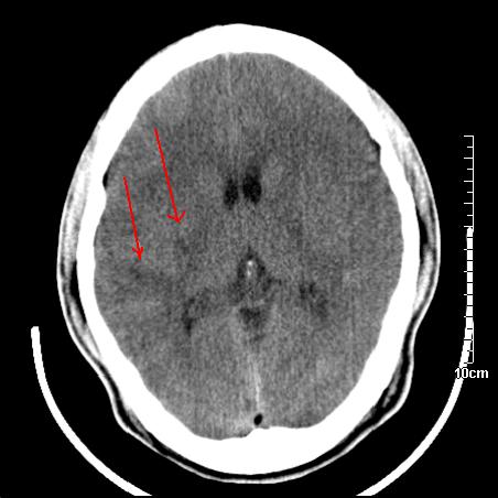
右侧放射冠可见点状低密度,可疑腔隙性梗塞
作者: 王仕学    时间: 2007-9-16 17:12
标题: 回复:ct9750:m/21y,好年轻呀就.....



这么年青,不会是梗塞吧,可能是感染性病变
作者: xulianj    时间: 2007-9-16 18:19
还是要增强,不然mri,否则不好下诊断;有发热吗?wbc多少?
作者: zjzjr    时间: 2007-9-16 19:48
还是先做mri.
作者: luochengyi    时间: 2007-9-16 20:09
增强
作者: 52yingxiang    时间: 2007-9-16 22:05
病人在家输液时出现发热.头痛.恶心等不适
作者: 李世军    时间: 2007-9-16 22:35
应当没大问题
观察几天再说
作者: 朱亮    时间: 2007-9-16 23:33
建议核磁共振
作者: tao772    时间: 2007-9-16 23:48
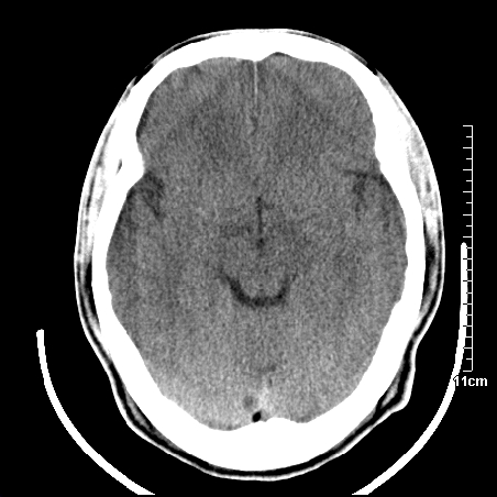
右側放射冠区改变,建议ct增强或mri检查.
作者: 同    时间: 2007-9-17 00:00
建议mri检查
作者: xclzq_910    时间: 2007-9-17 00:00
其实现在反过来看,第一次就有点问题,只是什么问题现在还不敢下,一定要做mri ,要不只能观察了
作者: 52yingxiang    时间: 2007-9-17 00:11
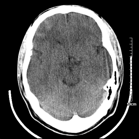
我当时诊断的是1.右侧底节区脑血栓形成
2.考虑少量蛛网膜下腔出血
3.右侧颞叶低密度区考虑脑血管畸形
因病人拒绝进一步检查,反复做工作后,病人做了腰穿,脑脊液化验显示有红细胞,呈现轻度红色
增强暂未进行
作者: 夏季    时间: 2007-9-17 01:58
还是增强吧
作者: 清清楚楚    时间: 2007-9-17 02:23
支持2楼意见
作者: zhangxu5888    时间: 2007-9-17 03:36
应当没大问题
观察几天再说
作者: zylcq608    时间: 2007-9-17 04:36
右側额叶、放射冠区灰白质改变,建议ct增强或mri检查
作者: zxczxc    时间: 2007-9-17 05:00
右侧基底节区低密度灶,建议磁共振检查。
作者: 拾荒者    时间: 2007-9-17 05:39
右侧放射冠区混杂密度灶,边缘不清,病人较年轻,结合有发热病史,支持感染性病变,建议密切结合临床可抗感染治疗后复查。
作者: zsl6918    时间: 2007-9-17 05:45
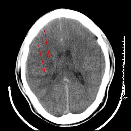
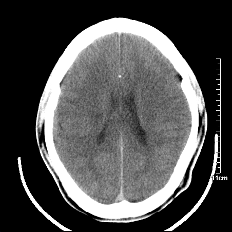
右侧颞叶病变定性困难,既然发病急,又有发热,脑脓肿不能除外。
作者: nanjing    时间: 2007-9-17 06:15
应当没大问题,观察几天再说,必要时mri检查
作者: 尹定尧    时间: 2007-9-17 07:26
右侧颞叶混杂密度灶,强烈建议:增强ct检查
作者: zyx168    时间: 2007-9-17 14:57
建议ct增强或mri检查.




欢迎光临 医影在线 (http://bbs.radida.com/bbs/) Powered by Discuz! X3.2