医影在线

标题: CT9751:耳部平扫(2例) [打印本页]

作者: 52yingxiang    时间: 2007-9-16 17:02
标题: CT9751:耳部平扫(2例)
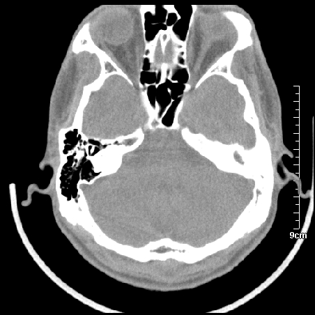
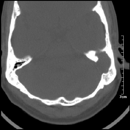
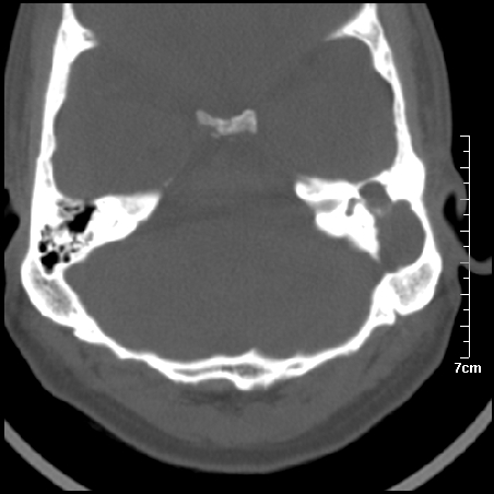
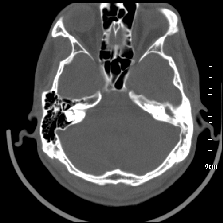
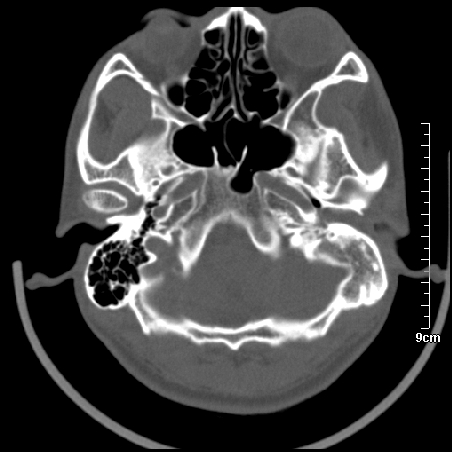
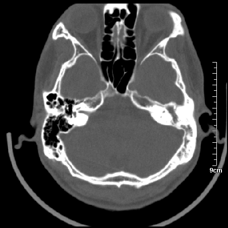
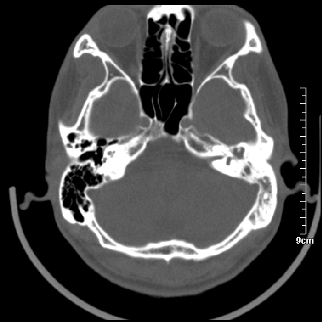
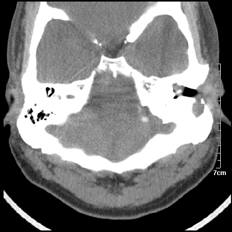
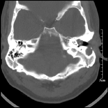
病例1
m/46y 头晕.耳鸣半月余 有乳突炎病史












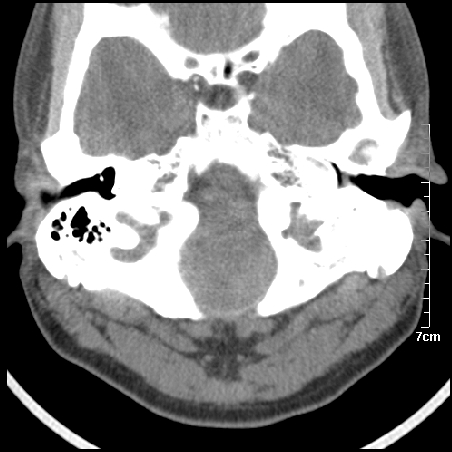
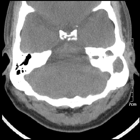
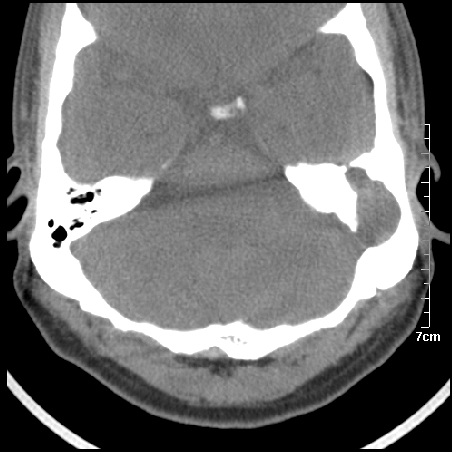
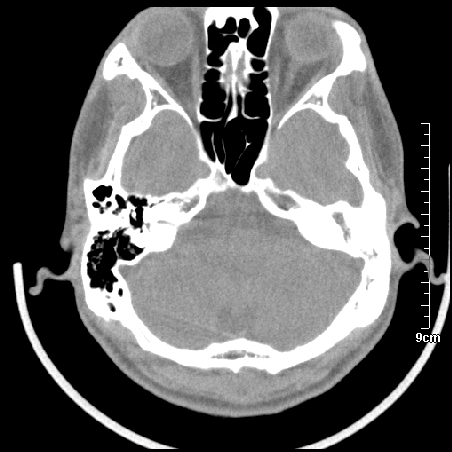
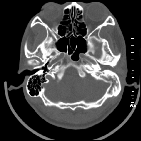
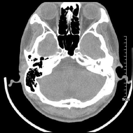
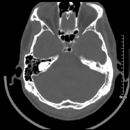
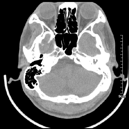
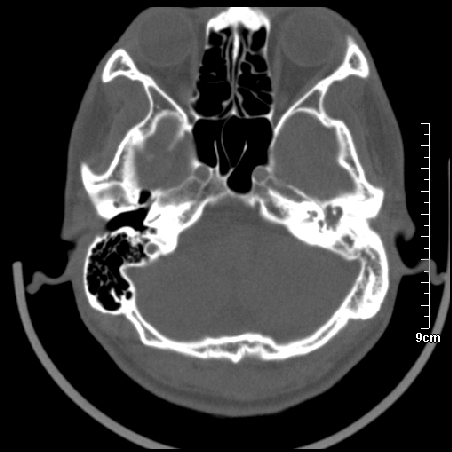
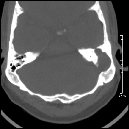
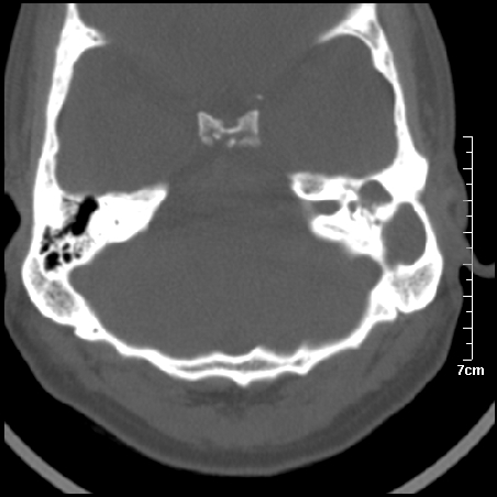
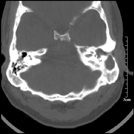
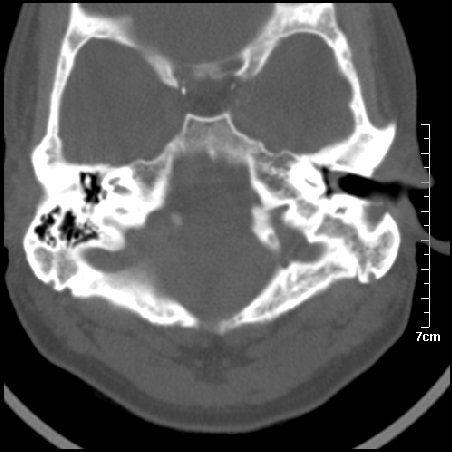
病例2
m/27











     胆脂瘤是是以鳞状上皮内衬充满角质化碎片的囊,随着角化屑片的不断堆积,肿块逐渐增大,胆脂瘤可为先天性(2%)或后天性(98%)。胆脂瘤有感染史。中耳内的鳞状上皮通常有外耳道的上皮通过一鼓膜的缺损移行至中耳,其他的原因包括鳞状上皮化生。由于欧氏管的功能不全所引起的中耳负压可产生上鼓室鼓膜松弛部的牵引性开袋。继而发展成胆脂瘤。成年人胆脂瘤时乳突常发育差,而儿童常有广泛性乳突气化,这种气化可导致胆脂瘤的更广泛的乳突扩散。后天性胆脂瘤患者大多数存在骨质破坏。
   松弛部胆脂瘤有中央性穿孔或后上部牵引口袋所致。紧张部胆脂瘤经常侵蚀听小骨并引起传导性耳聋。
   中耳胆脂瘤有两个重要并发症:一是面神经管的水平段受暴露,二是外侧半规管受侵蚀产生瘘管。面神经在ct上难以显示或不可能显示,除非其周围有空气包绕或有良好轮廓的骨性覆盖。胆脂瘤还可合并感染,产生于急性中耳炎.乳突炎所描述的那些合并症。



[本贴已被 jiajie 于 2007-9-16 9:12:31 修改过]

作者: 王仕学    时间: 2007-9-16 17:22
典型,很好!
作者: mzh123    时间: 2007-9-16 17:24
胆脂瘤
作者: huqihu    时间: 2007-9-16 17:34
很典型的病例,谢谢!学习了.
作者: 两片云    时间: 2007-9-16 18:42
很典型的病例,谢谢!学习了.
作者: zjzjr    时间: 2007-9-16 19:42
支持慢性中耳乳突炎伴胆质瘤形成.
作者: luochengyi    时间: 2007-9-16 20:11
慢性中耳乳突炎伴胆质瘤形成
作者: 天南地北    时间: 2007-9-16 20:27
支持慢性中耳乳突炎伴胆脂瘤形成
作者: ydx_74    时间: 2007-9-16 21:40
支持慢性中耳乳突炎伴胆质瘤形成.
作者: 南沙    时间: 2007-9-16 21:53
很典型的病例,谢谢!学习了
作者: 李世军    时间: 2007-9-16 22:45
病例1
m/46y 头晕.耳鸣半月余 有乳突炎病史
























病例2
m/27






















     胆脂瘤是是以鳞状上皮内衬充满角质化碎片的囊,随着角化屑片的不断堆积,肿块逐渐增大,胆脂瘤可为先天性(2%)或后天性(98%)。胆脂瘤有感染史。中耳内的鳞状上皮通常有外耳道的上皮通过一鼓膜的缺损移行至中耳,其他的原因包括鳞状上皮化生。由于欧氏管的功能不全所引起的中耳负压可产生上鼓室鼓膜松弛部的牵引性开袋。继而发展成胆脂瘤。成年人胆脂瘤时乳突常发育差,而儿童常有广泛性乳突气化,这种气化可导致胆脂瘤的更广泛的乳突扩散。后天性胆脂瘤患者大多数存在骨质破坏。
   松弛部胆脂瘤有中央性穿孔或后上部牵引口袋所致。紧张部胆脂瘤经常侵蚀听小骨并引起传导性耳聋。
   中耳胆脂瘤有两个重要并发症:一是面神经管的水平段受暴露,二是外侧半规管受侵蚀产生瘘管。面神经在ct上难以显示或不可能显示,除非其周围有空气包绕或有良好轮廓的骨性覆盖。胆脂瘤还可合并感染,产生于急性中耳炎.乳突炎所描述的那些合并症。
作者: 朱亮    时间: 2007-9-16 23:29
非常支持
作者: qiuleiyu    时间: 2007-9-16 23:38
典型学习了!
作者: 同    时间: 2007-9-17 00:03
支持慢性中耳乳突炎伴胆脂瘤形成.
作者: 夏季    时间: 2007-9-17 02:04
谢谢 学习了
作者: 清清楚楚    时间: 2007-9-17 02:32
支持慢性中耳乳突炎伴胆脂瘤形成
作者: 余辉    时间: 2007-9-17 03:27
支持
作者: js63461800    时间: 2007-9-17 03:36
好贴
顶一个
作者: zhangxu5888    时间: 2007-9-17 03:53
慢性中耳乳突炎伴胆质瘤形成
作者: xulianj    时间: 2007-9-17 04:08
慢性中耳乳突炎伴胆质瘤形成.
作者: zylcq608    时间: 2007-9-17 04:29
支持慢性中耳乳突炎伴胆质瘤形成.
作者: jsgdoctor    时间: 2007-9-17 04:56
支持慢性中耳乳突炎伴胆质瘤形成.
作者: zxczxc    时间: 2007-9-17 04:58
左侧板障型乳突。
左侧慢性中耳炎伴胆脂瘤形成。
作者: 拾荒者    时间: 2007-9-17 05:45
支持慢性中耳乳突炎病胆脂瘤形成。应该发在典型病例栏。
作者: nanjing    时间: 2007-9-17 06:10
慢性中耳乳突炎伴胆质瘤形成
作者: liuzili    时间: 2007-9-17 06:19
左中耳乳突炎合并胆脂瘤形成
作者: liuyue    时间: 2007-9-17 06:20
支持慢性中耳乳突炎伴胆质瘤形成.
作者: 尹定尧    时间: 2007-9-17 07:13
支持慢性中耳乳突炎伴胆质瘤形成.经典,收藏了。如果用颞骨模式扫描,效果可能会更好
作者: 老爱克斯    时间: 2007-9-17 14:32
典型病例,
作者: zyx168    时间: 2007-9-17 14:54
慢性中耳乳突炎伴胆质瘤形成.
作者: 宝天曼    时间: 2007-9-17 15:02
标题: 回复:ct9751:耳部平扫(2例)
以下是引用ydx_74在2007-9-16 13:40:00的发言:[br]支持慢性中耳乳突炎伴胆质瘤形成.





欢迎光临 医影在线 (http://bbs.radida.com/bbs/) Powered by Discuz! X3.2