




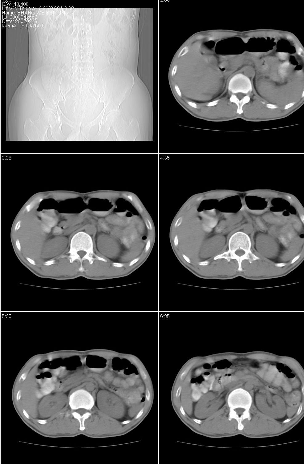
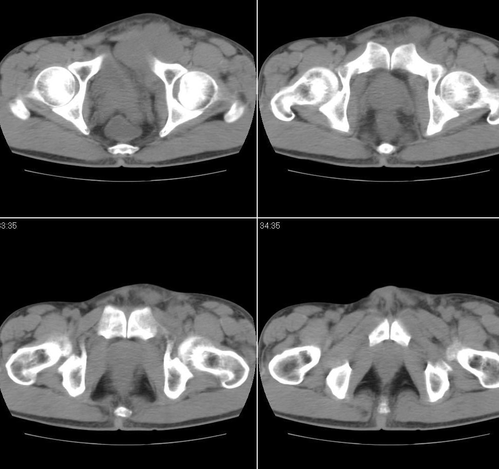
以下是引用jiangjing在2007-9-18 17:20:00的发言:[br]考虑生殖细胞肿瘤伴腹腔及腹膜后与腹股沟区淋巴转移,腹膜后大血管受压受侵
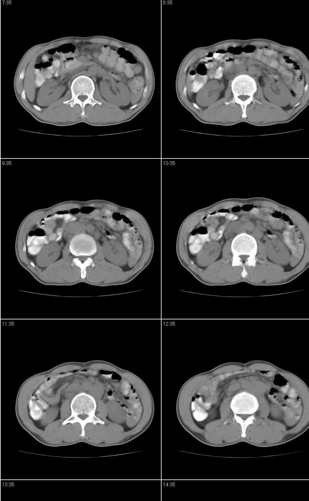
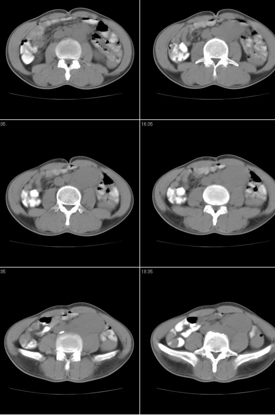
以下是引用老爱克斯新网客在2007-9-18 18:27:00的发言:[br]主动脉旁左侧腹股沟可见多发结节状病灶,1淋巴瘤,2转移瘤待除外,
以下是引用老爱克斯新网客在2007-9-18 18:27:00的发言:[br]主动脉旁左侧腹股沟可见多发结节状病灶,1淋巴瘤,2转移瘤待除外,
| 欢迎光临 医影在线 (http://bbs.radida.com/bbs/) | Powered by Discuz! X3.2 |