医影在线
标题: PED0370:患儿 六月 咳嗽,反复发热二周,加重伴气喘3天 [打印本页]
作者: 老段226 时间: 2007-9-19 17:28
标题: PED0370:患儿 六月 咳嗽,反复发热二周,加重伴气喘3天
(结果公布:http://www.radida.com/bbs/forum.php?mod=viewthread&tid=31927)
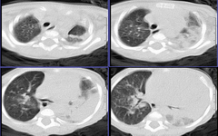
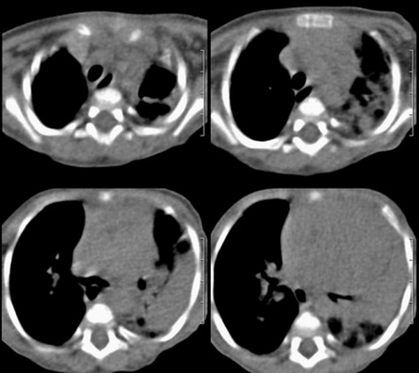
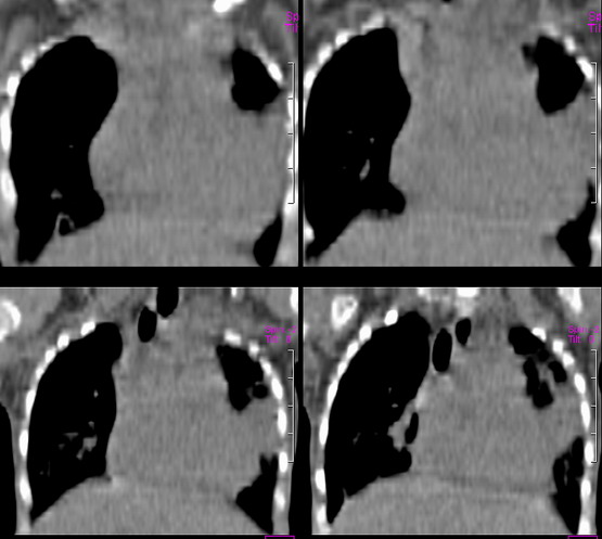
患儿 六月 咳嗽,反复发热二周,加重伴气喘3天






[本贴已被 jiajie 于 2007-11-28 20:56:59 修改过]
作者: zsl6918 时间: 2007-9-19 17:35
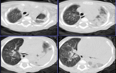
左肺呈大片状实变影,密度欠均匀,边界模糊,残存正常的肺组织呈气肿表现,右肺内可见磨玻璃样改变,如此年幼的婴儿首先考虑左肺发育不良并继发感染可能性大
作者: qiushi 时间: 2007-9-19 17:46
左肺呈大片状实变影,密度欠均匀,边界模糊,残存正常的肺组织呈气肿表现,右肺内可见磨玻璃样改变,考虑左肺发育不良并继发感染可能性大.图象太小
作者: mzh123 时间: 2007-9-19 19:00
左肺支气管肺炎,请抗炎治疗后复查。
作者: 王仕学 时间: 2007-9-19 19:03
感染可能性大
作者: 小初学者 时间: 2007-9-20 00:22
标题: 回复:ped0370:患儿 六月 咳嗽,反复发热二周,加重伴气
以下是引用zsl6918在2007-9-19 9:35:00的发言:[br]左肺呈大片状实变影,密度欠均匀,边界模糊,残存正常的肺组织呈气肿表现,右肺内可见磨玻璃样改变,如此年幼的婴儿首先考虑左肺发育不良并继发感染可能性大
作者: 同 时间: 2007-9-20 01:08
标题: 回复:ped0370:患儿 六月 咳嗽,反复发热二周,加重伴气
以下是引用zsl6918在2007-9-19 9:35:00的发言:[br]左肺呈大片状实变影,密度欠均匀,边界模糊,残存正常的肺组织呈气肿表现,右肺内可见磨玻璃样改变,如此年幼的婴儿首先考虑左肺发育不良并继发感染可能性大
作者: 老段226 时间: 2007-9-20 01:49
此患儿于前日死亡,病检结果:
左肺发育不良伴感染.
作者: 宝天曼 时间: 2007-9-20 05:49
标题: 回复:ped0370:患儿 六月 咳嗽,反复发热二周,加重伴气
以下是引用qiushi在2007-9-19 9:46:00的发言:[br]左肺呈大片状实变影,密度欠均匀,边界模糊,残存正常的肺组织呈气肿表现,右肺内可见磨玻璃样改变,考虑左肺发育不良并继发感染可能性大.图象太小
作者: zjzjr 时间: 2007-9-20 06:09
考虑左肺发育不良并继发感染可能性大
作者: dyqct 时间: 2007-9-20 23:53
标题: 回复:ped0370:患儿 六月 咳嗽,反复发热二周,加重伴气
以下是引用小初学者在2007-9-19 16:22:00的发言:[br][quote]以下是引用zsl6918在2007-9-19 9:35:00的发言:[br]左肺呈大片状实变影,密度欠均匀,边界模糊,残存正常的肺组织呈气肿表现,右肺内可见磨玻璃样改变,如此年幼的婴儿首先考虑左肺发育不良并继发感染可能性大
[br][/quote]
支持!!
作者: ring002 时间: 2007-9-22 07:02
长见识了
作者: ssmmxx 时间: 2007-9-23 04:22
左肺呈大片状实变影,密度欠均匀,边界模糊,残存正常的肺组织呈气肿表现,右肺内可见磨玻璃样改变,如此年幼的婴儿首先考虑左肺发育不良并继发感染可能性大[/quote]
作者: mzh123 时间: 2007-9-23 17:44
学习了,好病例!
作者: lihongwei 时间: 2007-9-24 03:58
以下是引用小初学者在2007-9-19 16:22:00的发言:
以下是引用zsl6918在2007-9-19 9:35:00的发言:
左肺呈大片状实变影,密度欠均匀,边界模糊,残存正常的肺组织呈气肿表现,右肺内可见磨玻璃样改变,如此年幼的婴儿首先考虑左肺发育不良并继发感染可能性大
作者: hexue 时间: 2007-11-26 00:44
标题: 回复:ped0370:患儿 六月 咳嗽,反复发热二周,加重伴气
以下是引用小初学者在2007-9-19 16:22:00的发言:[br][quote]以下是引用zsl6918在2007-9-19 9:35:00的发言:[br]左肺呈大片状实变影,密度欠均匀,边界模糊,残存正常的肺组织呈气肿表现,右肺内可见磨玻璃样改变,如此年幼的婴儿首先考虑左肺发育不良并继发感染可能性大
[br][/quote]
作者: wy232326 时间: 2007-11-28 01:38
左肺发育不良伴感染
学习了 谢谢
作者: jinguoji 时间: 2007-11-28 22:05
标题: 回复:ped0370:患儿 六月 咳嗽,反复发热二周,加重伴气
以下是引用老段226在2007-9-19 17:49:00的发言:[br][br] 此患儿于前日死亡,病检结果:[br] [br] 左肺发育不良伴感染.
学习了,谢谢!
作者: 信天游 时间: 2007-11-29 01:51
学习拉
作者: 拾荒者 时间: 2007-11-29 02:46
标题: 回复:ped0370:患儿 六月 咳嗽,反复发热二周,加重伴气
以下是引用zsl6918在2007-9-19 9:35:00的发言:[br]左肺呈大片状实变影,密度欠均匀,边界模糊,残存正常的肺组织呈气肿表现,右肺内可见磨玻璃样改变,如此年幼的婴儿首先考虑左肺发育不良并继发感染可能性大
分析的真好。
作者: ZHONGXINMR 时间: 2009-5-22 06:10
学习了
| 欢迎光临 医影在线 (http://bbs.radida.com/bbs/) |
Powered by Discuz! X3.2 |