






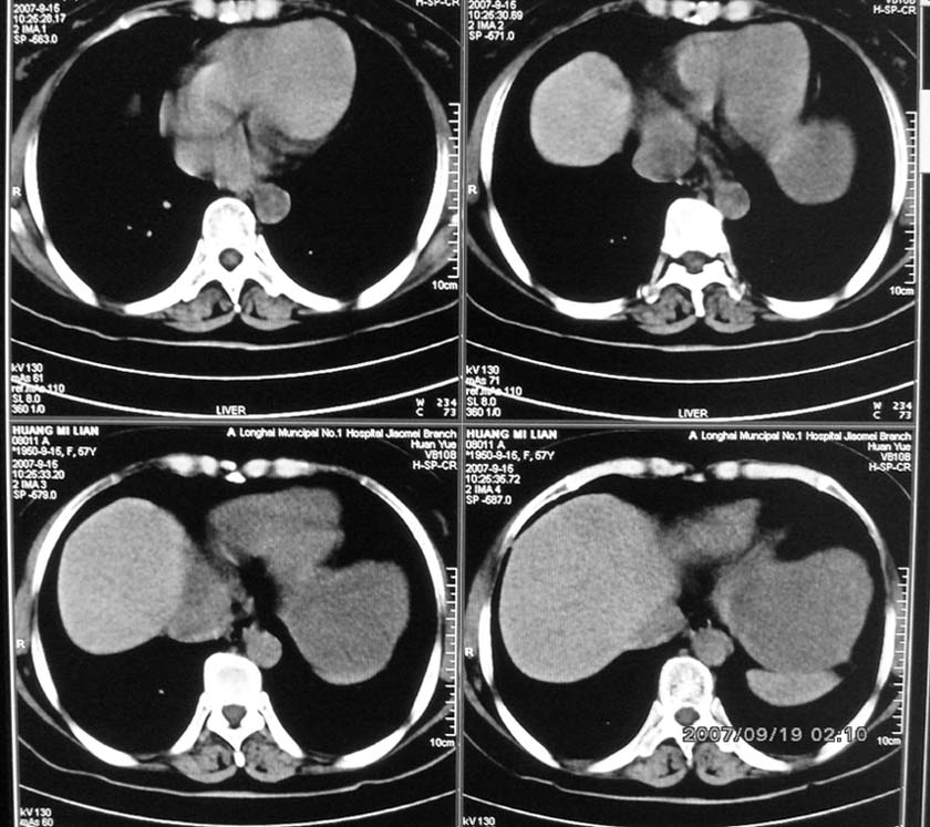
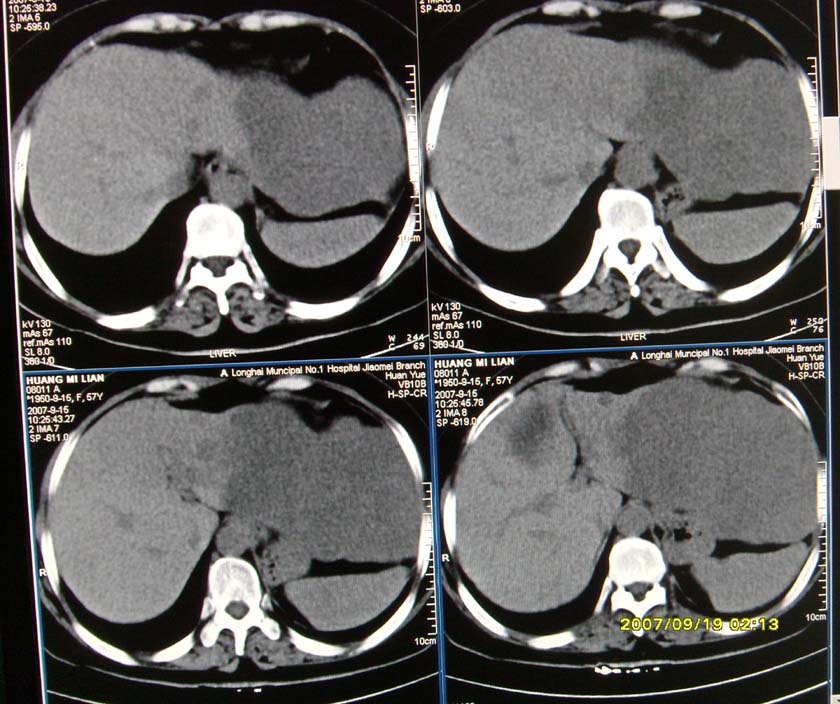
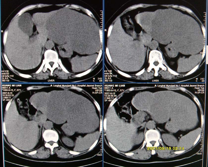
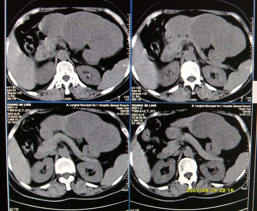
以下是引用逸风在2007-9-19 20:11:00的发言:[br]定位在肝左叶应该没有问题![br]ct显示肝左叶巨大低密度病灶,ct值30hu,密度欠均匀,里面似可见更低密度区;肝门及腹膜后未见明确肿大淋巴结.其与胃之间脂肪间隙存在;彩超提示病灶多发.[br]我个人觉得首先应该增强扫描,从平扫所见结合超声,首先应该考虑血管瘤.
以下是引用davisxuyong在2007-9-19 16:29:00的发言:[br]肝左叶大片状低密度灶,肝癌待排,建议增强。
以下是引用求知若渴在2007-9-19 18:23:00的发言:[br][br]
| 欢迎光临 医影在线 (http://bbs.radida.com/bbs/) | Powered by Discuz! X3.2 |