







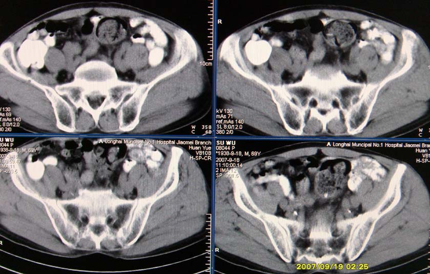
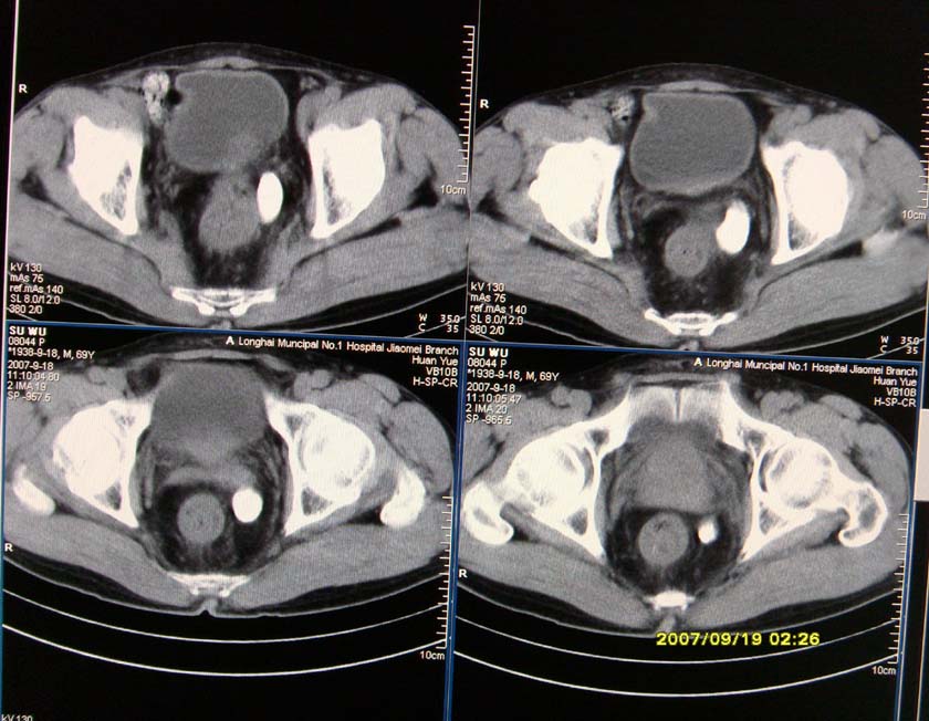
以下是引用xclzq_910在2007-9-19 16:58:00的发言:[br]直肠壁增厚,管腔偏移,直肠癌可能性大
以下是引用qiushi在2007-9-19 16:50:00的发言:[br]灌肠很重要,常规的盆腔扫描要上喝下灌,保留小便.
以下是引用宝天曼在2007-9-19 21:11:00的发言:[br]根据直肠壁不规则增厚,考虑直肠肿瘤,不过最后的确诊还是需要肠镜.
| 欢迎光临 医影在线 (http://bbs.radida.com/bbs/) | Powered by Discuz! X3.2 |