








































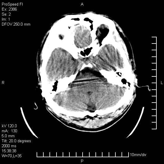
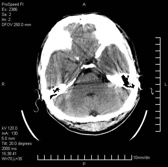
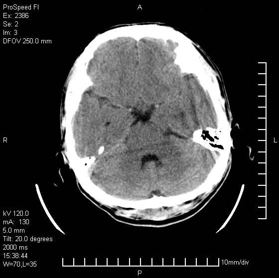
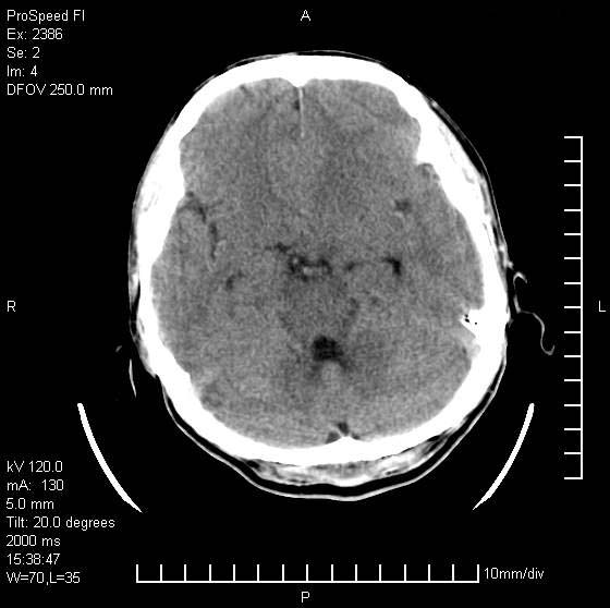
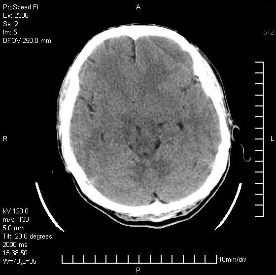
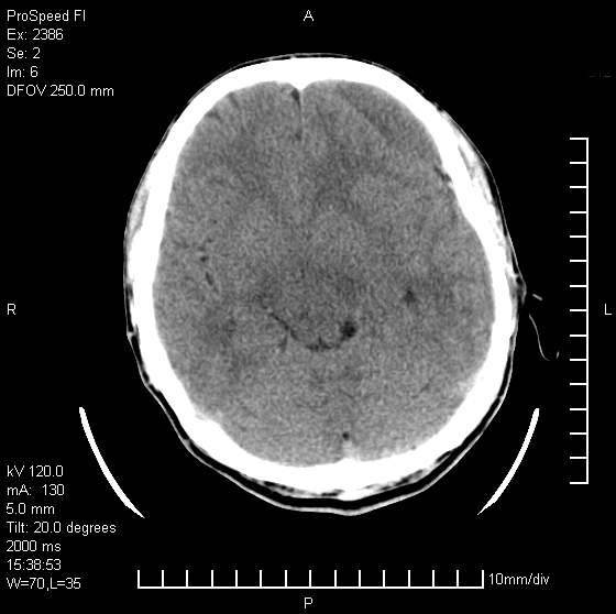
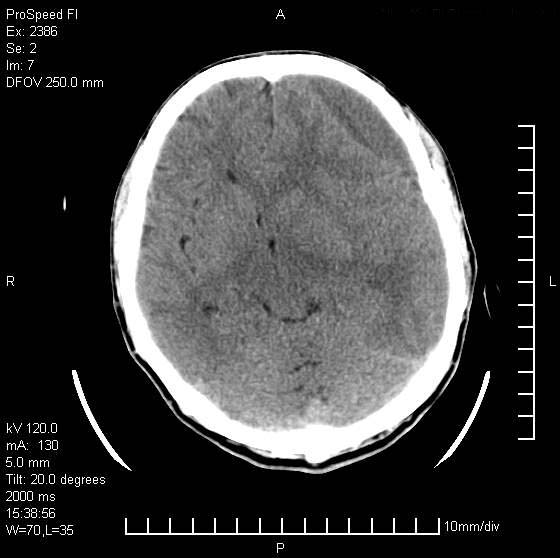
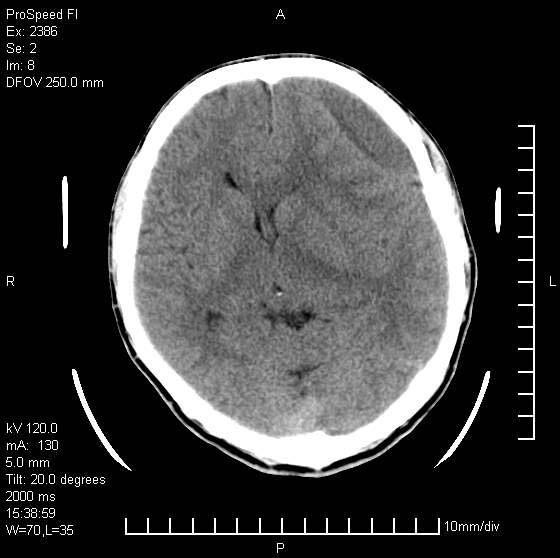
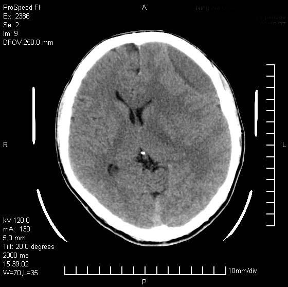
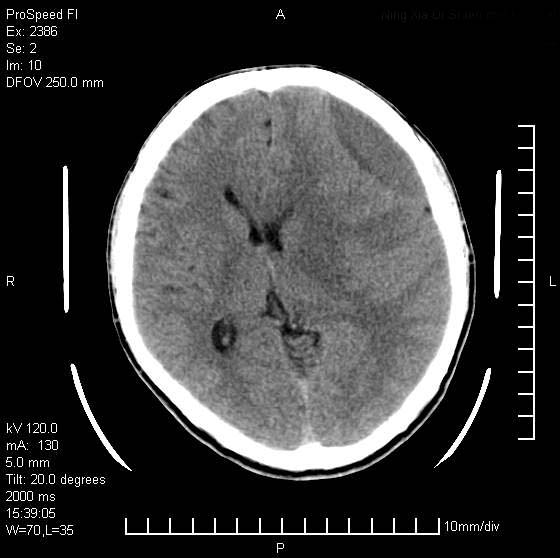
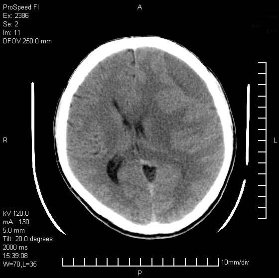
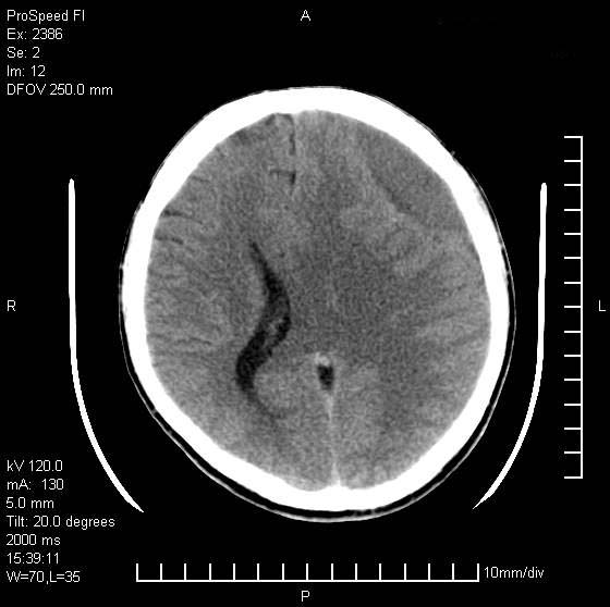
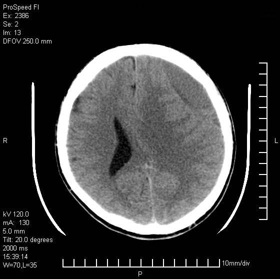
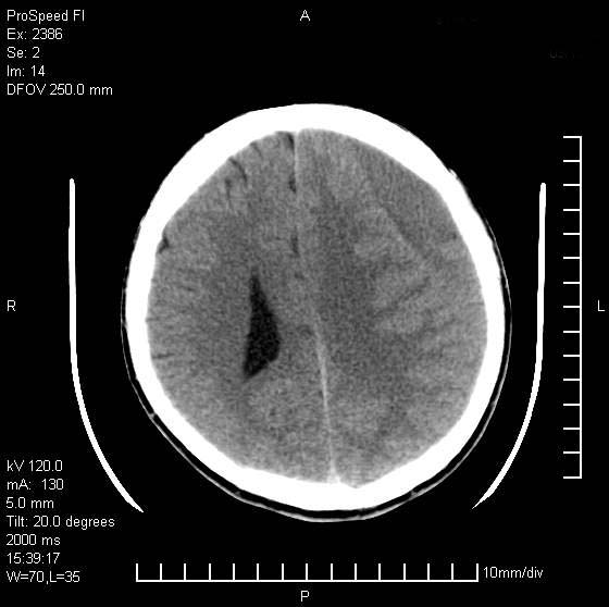
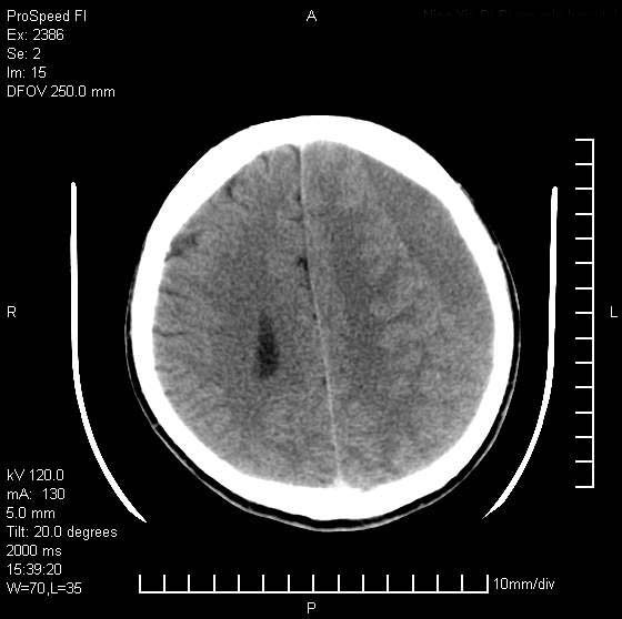
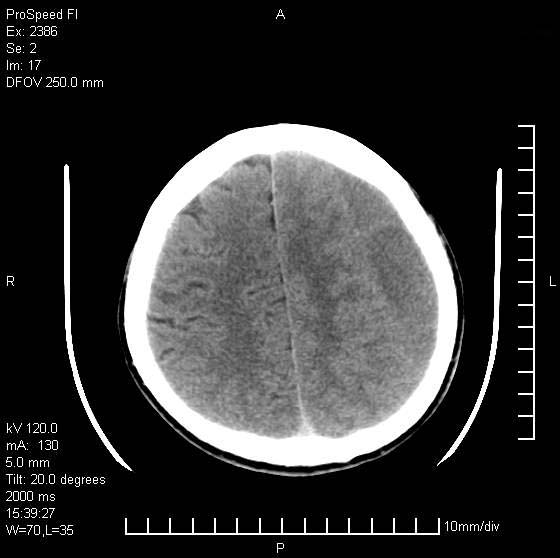
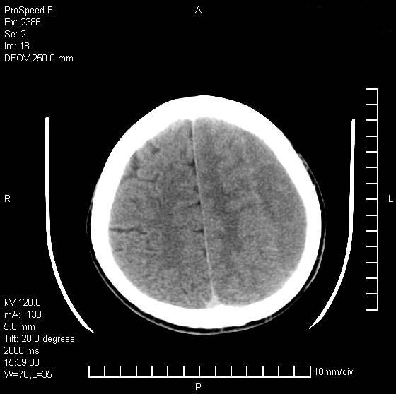
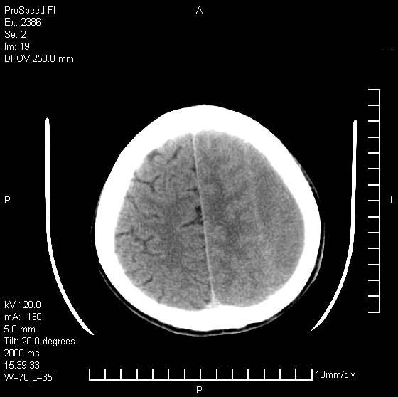
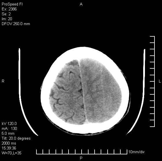
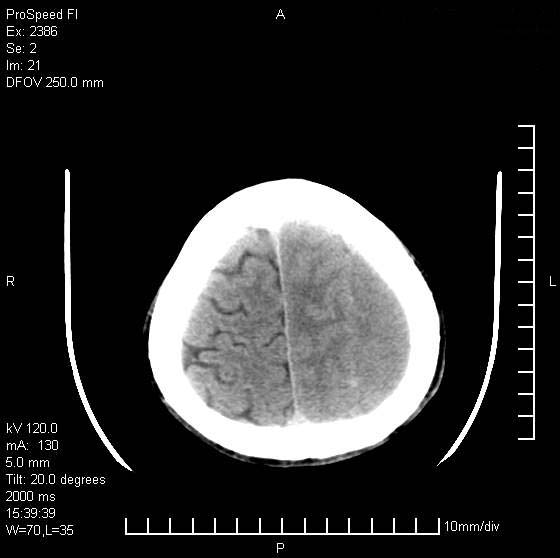
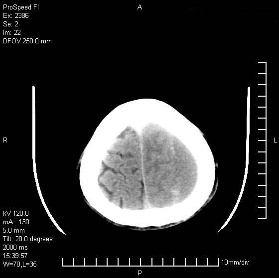
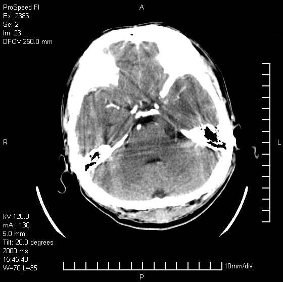
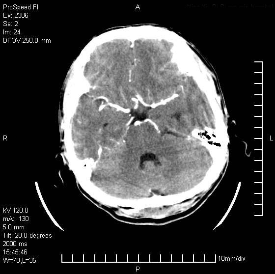
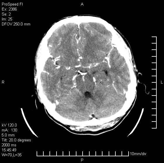
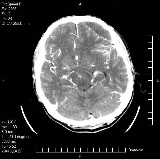
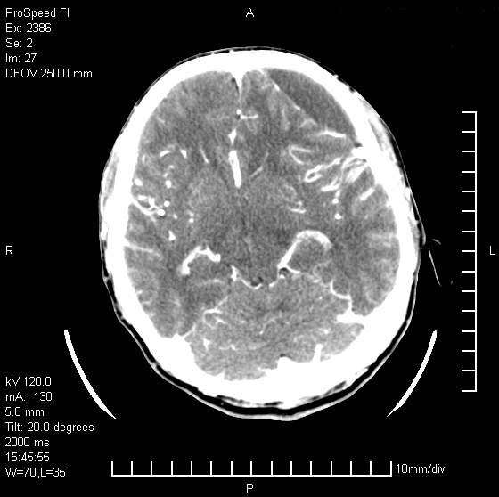
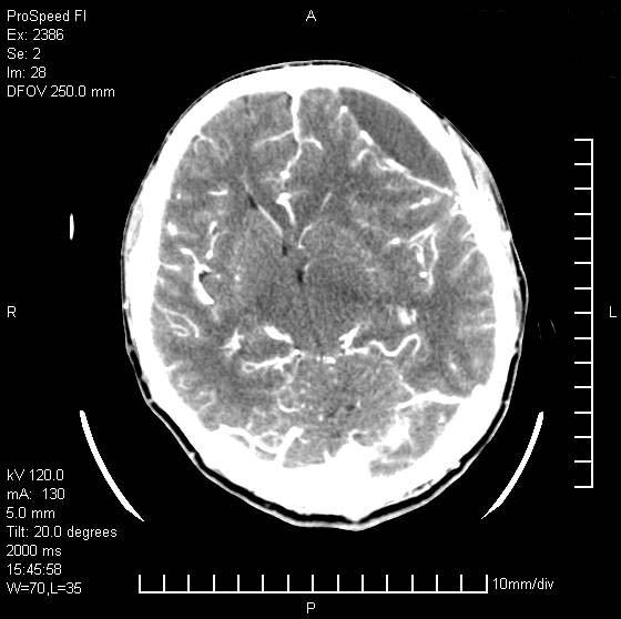
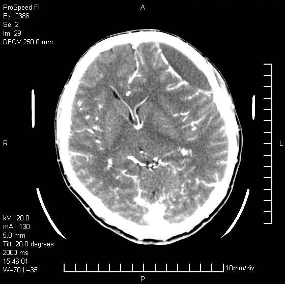
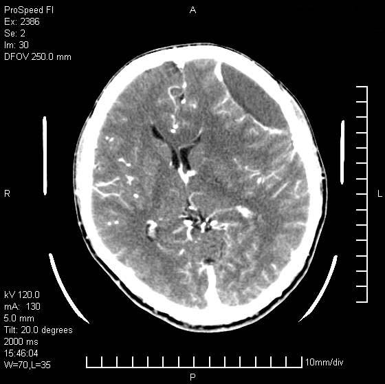
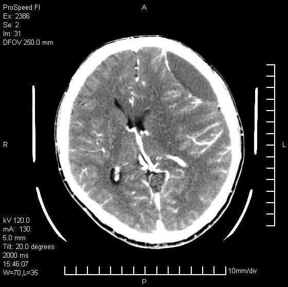
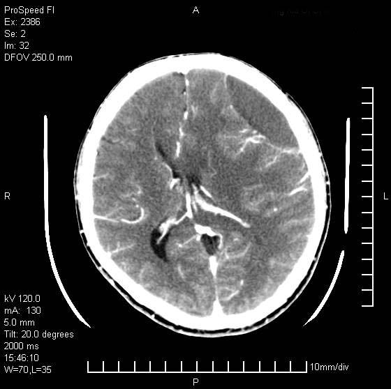
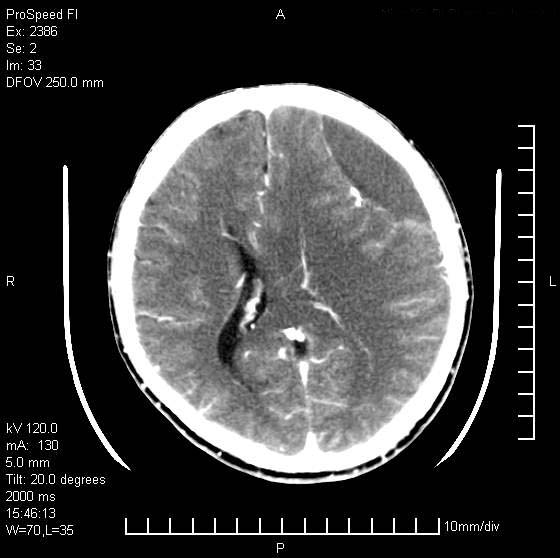
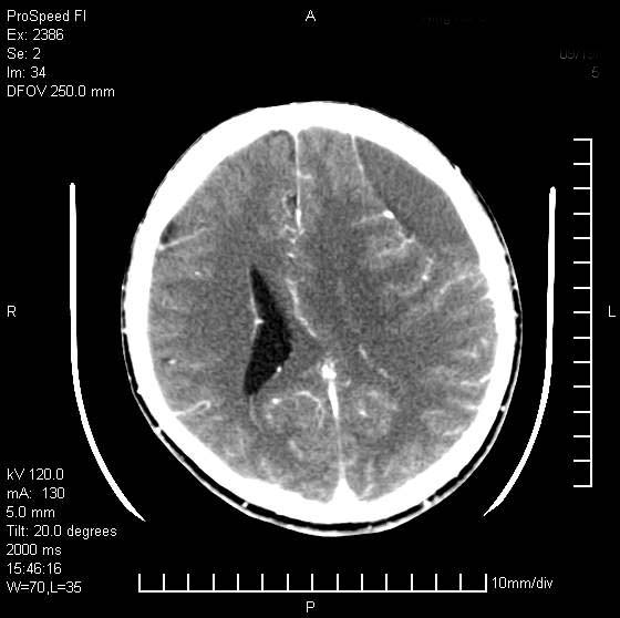
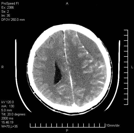
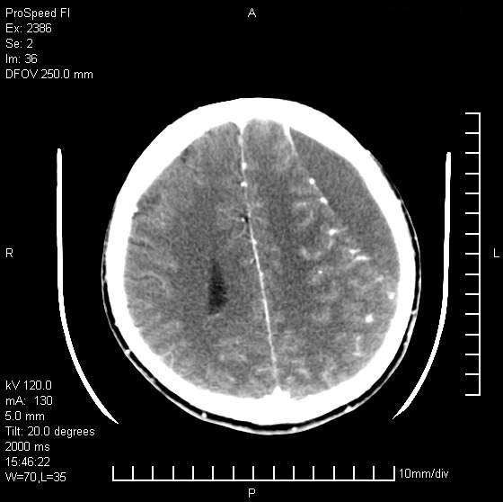
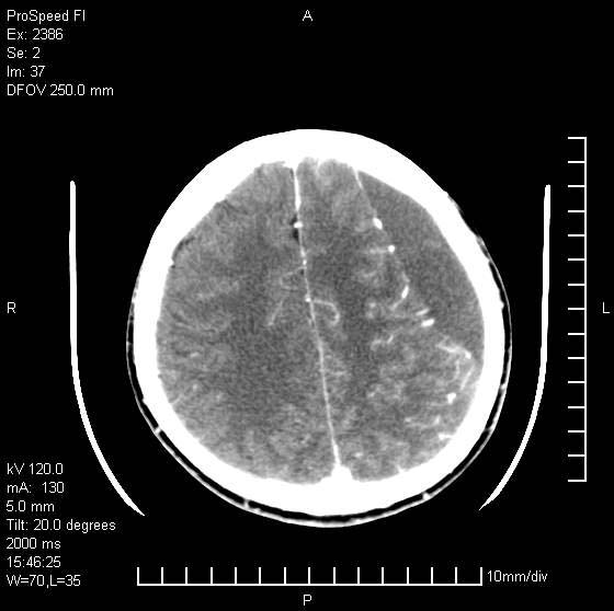
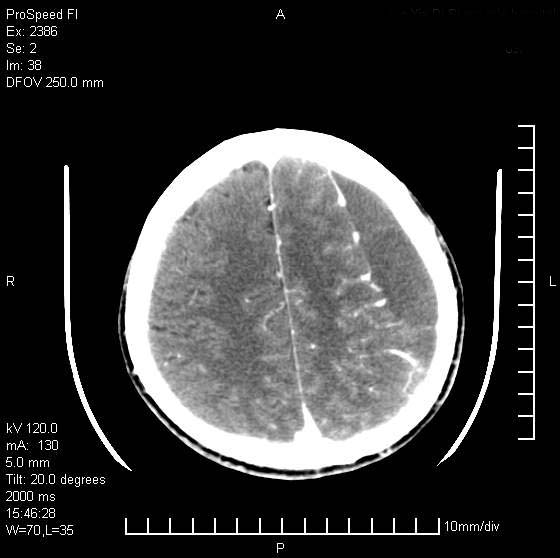
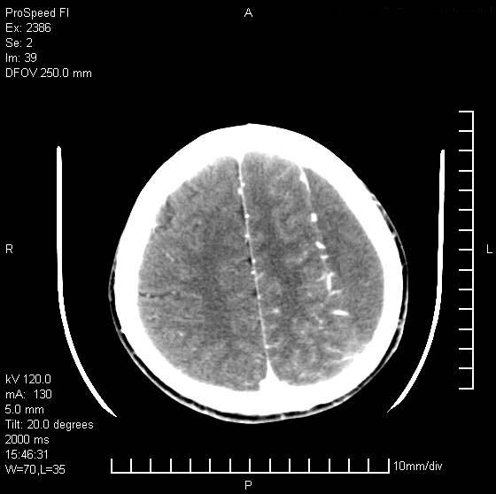
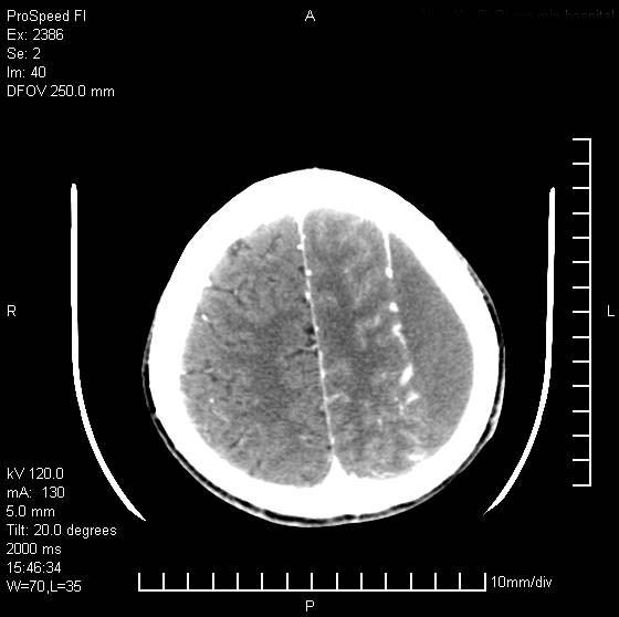
以下是引用天南地北在2007-9-19 18:43:00的发言:[br]典型慢性硬膜外血肿[br][br][本贴已被 天南地北 于 2007-9-19 18:44:11 修改过]
以下是引用曼一拍在2007-9-20 11:06:00的发言:[br]支持慢性硬膜下血肿.[br]慢性硬膜下积液:血肿有包膜,ct值稍高于脑脊液,增强可有染色。不典型者血肿可多呈梭形.是硬脑膜与蛛网膜之间的潜在腔隙内的血肿。[br]鉴别:[br]1\\硬膜外血肿:是颅脑外伤后脑膜或板障内血管破裂,血液在颅骨与硬膜之间积聚所致.通常是脑膜动脉破裂,也可因静脉窦破裂或颅骨的板障静脉出血,发生于外伤的着力部,常与颅骨骨折并存。脑膜动脉出血则急,若是板障静脉出血在则可有慢性。[br]2\\硬膜下积液:(硬膜下水瘤)[br]是由于蛛网膜破裂,脑脊液经蛛网膜破口进入硬膜下腔不能回流。或水肿阻塞而形成。[br]ct表现:颅骨内板下方新月形低密度区近似脑脊液密度;占位效应清,周围无脑水肿。[br]
| 欢迎光临 医影在线 (http://bbs.radida.com/bbs/) | Powered by Discuz! X3.2 |