























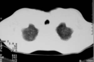
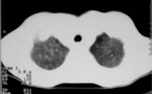
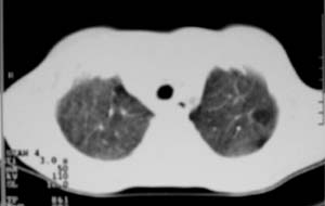
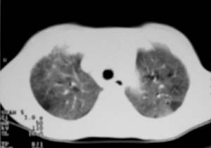
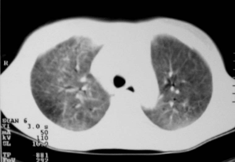
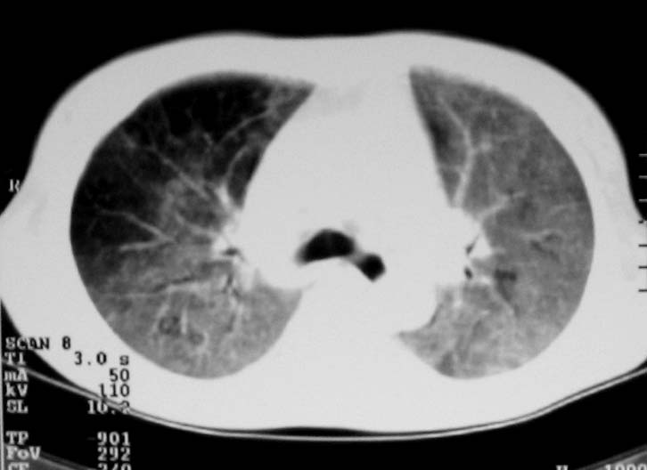
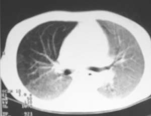
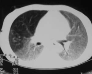
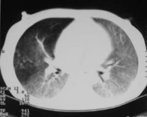
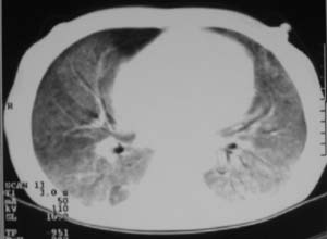
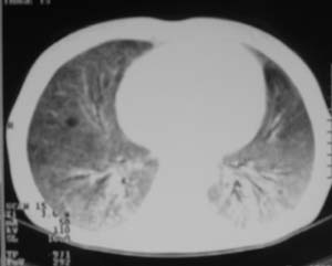
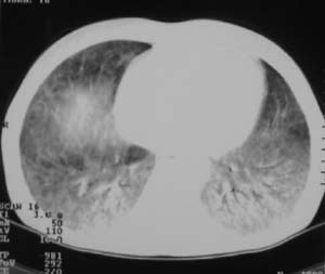
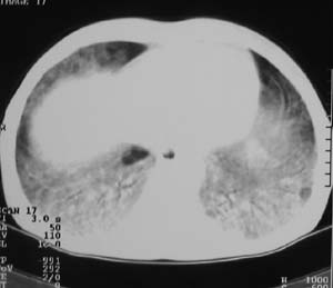
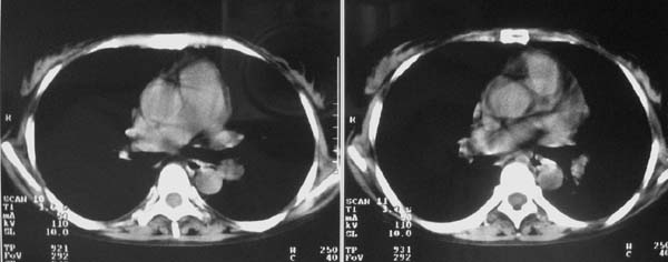
以下是引用zjzjr在2007-9-20 12:29:00的发言:[br]双肺磨玻璃改变,考虑肺水肿.
以下是引用yangzongshan在2007-9-20 18:29:00的发言:[br]两肺毛玻璃样改变,其内可见肺纹理影,无胸腔积液,故考虑肺泡蛋白沉积症
以下是引用276894491在2007-9-20 13:40:00的发言:[br]考虑肺水肿;外源性过敏性肺炎不排除。
以下是引用逸风在2007-9-20 20:45:00的发言:[br]两肺磨玻璃样改变,临床病史短,发热,考虑病毒感染合并右肺代偿性肺气肿.待排肺水肿,病史短,不支持肺泡蛋白沉着症.
| 欢迎光临 医影在线 (http://bbs.radida.com/bbs/) | Powered by Discuz! X3.2 |